Skip to main content

Key Product Details

Species Reactivity

Validated:

Human, Mouse

Cited:

Human, Mouse, Rat, Avian - Chicken, Chicken, Drosophila, Transgenic Mouse

Applications

Validated:

Immunohistochemistry, Western Blot

Cited:

Immunohistochemistry, Immunohistochemistry-Paraffin, Immunohistochemistry-Frozen, Western Blot, Immunocytochemistry, Bioassay

Label

Unconjugated

Antibody Source

Polyclonal Goat IgG

Product Specifications

Immunogen

E. coli-derived recombinant mouse Sonic Hedgehog/Shh N‑Terminus
Cys25-Gly198 (Lys122Arg)
Accession # Q62226

Specificity

Detects human and mouse Sonic Hedgehog/Shh N‑Terminus in direct ELISAs and Western blots. In direct ELISAs, less than15% cross‑reactivity with recombinant mouse (rm) Dhh N‑Terminus and rmIhh N-Terminus is observed.

Clonality

Polyclonal

Host

Goat

Isotype

IgG

Scientific Data Images for Human/Mouse Sonic Hedgehog/Shh N‑Terminus Antibody

Detection of Human Sonic Hedgehog/Shh by Western Blot.

Western Blot shows lysates of HEK293 human embryonic kidney cell line either mock transfected or transfected with mouse Sonic Hedgehog/SHH. PVDF membrane was probed with 1 µg/ml of Goat Anti-Human/Mouse Sonic Hedgehog/Shh N-Terminus Antigen Affinity-purified Polyclonal Antibody (Catalog # AF464) followed by HRP-conjugated Anti-Goat IgG Secondary Antibody (Catalog # HAF017). A specific band was detected for Sonic Hedgehog/Shh at approximately 23 kDa (as indicated). This experiment was conducted under reducing conditions and using Western Blot Buffer Group 1.
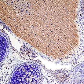
Sonic Hedgehog/Shh antibody in Mouse Embryo by Immunohistochemistry (IHC-Fr).

Sonic Hedgehog/Shh in Mouse Embryo.

Sonic Hedgehog/Shh was detected in immersion fixed frozen sections of mouse embryo (13 d.p.c.) using Goat Anti-Human/Mouse Sonic Hedgehog/Shh N-Terminus Antigen Affinity-purified Polyclonal Antibody (Catalog # AF464) at 15 µg/mL overnight at 4 °C. Tissue was stained using the Anti-Goat HRP-DAB Cell & Tissue Staining Kit (brown; Catalog # CTS008) and counterstained with hematoxylin (blue). Specific staining was localized to developing brain. View our protocol for Chromogenic IHC Staining of Frozen Tissue Sections.
Detection of Sonic Hedgehog/Shh N-Terminus by Western Blot

Detection of Sonic Hedgehog/Shh N-Terminus by Western Blot

Impaired Shh release from Disp−/− cells. (A) Alignment of targeted disp gene sequences from Disp−/− cells and from non-targeted (nt Ctrl) cells. (A′) Schematic representation of the Disp protein structure. An asterisk indicates the CRISPR/Cas9-generated stop codon introduced at position 323, deleting 11 of 12 TM domains that together represent ∼80% of the protein sequence. L1 and L2 indicate extracellular loops. TM2–TM6 (colored red) constitute the SSD. (B,C) Immunoblots of cellular (c) and released (into the medium, m) Shh (B) and unlipidated control C25SShhN (C) in nt Ctrl and Disp−/− cells in the presence of Scube2. Arrows indicate solubilized Shh and the arrowhead indicates accumulated cellular material in Disp−/− cells. (D) In the absence of Scube2, Shh processing into serum-free medium was abolished in nt Ctrl and Disp−/− cells. Instead, both cell types released similar amounts of unprocessed protein. In B,C,D, anti-beta -actin blots ( alpha beta-actin) and Ponceau S staining of residual serum albumin (PonS) serve as loading controls. (B′,C′,D′) Quantifications of relative Shh (B′,D′) and C25SShhN (C′) release from nt Ctrl and Disp−/− cells. Ratios of solubilized versus cellular Shh were determined and expressed relative to Shh release from nt Ctrl cells (black bars). Data are mean±s.d. n=21 in B′, n=8 in C′ and n=5 in D′. ****P<0.0001; ns, not significant (two-tailed unpaired t-test). Image collected and cropped by CiteAb from the following open publication (https://pubmed.ncbi.nlm.nih.gov/34308968), licensed under a CC-BY license. Not internally tested by R&D Systems.

Applications for Human/Mouse Sonic Hedgehog/Shh N‑Terminus Antibody

Application
Recommended Usage

Immunohistochemistry

5-15 µg/mL
Sample: Immersion fixed frozen sections of mouse embryo (13 d.p.c.)

Western Blot

1 µg/mL
Sample: HEK293 human embryonic kidney cell line either mock transfected or transfected with mouse Sonic Hedgehog/SHH

Reviewed Applications

Read 2 reviews rated 5 using AF464 in the following applications:

Formulation, Preparation, and Storage

Purification

Antigen Affinity-purified

Reconstitution

Reconstitute at 0.2 mg/mL in sterile PBS. For liquid material, refer to CoA for concentration.

Reconstitution Buffer Available:
Size / Price
Qty
Loading...

Formulation

Lyophilized from a 0.2 μm filtered solution in PBS with Trehalose. See Certificate of Analysis for details.
*Small pack size (-SP) is supplied either lyophilized or as a 0.2 µm filtered solution in PBS.

Shipping

Lyophilized product is shipped at ambient temperature. Liquid small pack size (-SP) is shipped with polar packs. Upon receipt, store immediately at the temperature recommended below.

Stability & Storage

Use a manual defrost freezer and avoid repeated freeze-thaw cycles.
  • 12 months from date of receipt, -20 to -70 °C as supplied.
  • 1 month, 2 to 8 °C under sterile conditions after reconstitution.
  • 6 months, -20 to -70 °C under sterile conditions after reconstitution.

Background: Sonic Hedgehog/Shh

The hedgehog (hh) gene encoding a secreted protein was originally identified in Drosophila as a segment polarity gene. The vertebrate homologues of Hh comprise several proteins including sonic hedgehog (Shh), Indian hedgehog (Ihh), and Desert hedgehog (Dhh). Hedgehog proteins are important signaling molecules during embryonic development. Shh genes are highly conserved and have been identified in a variety of species including human, mouse, frog, fish, and chicken. Mouse and human Shh are 92% identical at the amino acid sequence level. Shh is expressed in key embryonic tissues such as the Hensen’s node, the zone of polarizing activity in the posterior limb bud, the notochord, and the floor plate of the neural tube. Shh is involved in regulating the patterning of the developing central nervous system, somite, and limb. Shh plays an important role in the development of particular tissues such as whisker, hair, foregut, tooth and bone. Evidence also suggests that Shh is involved in regulating stem cell fates of neural and hematopoeitic lineages, and that aberrant Shh signaling is implicated in basal cell carcinomas and other diseases.

Mouse Shh cDNA encodes a 437 amino acid residue with a predicted 24 aa residue signal peptide that is cleaved to generate a 413 aa residue precursor protein. An autocatalytic reaction yields a 19 kDa amino-terminal domain Shh-N protein containing cholesterol and palmitate, and a 27 kDa carboxy-terminal domain Shh-C protein. The N-terminal domain retains all known signaling capabilities, while the C-terminal domain is responsible for the intramolecular processing, acting as a cholesterol transferase. Shh can act as both a short-range contact dependent factor and as a long-range, diffusible morphogen. At the cell surface, Shh activity is mediated by a multicomponent receptor complex involving the 12-pass transmembrane protein Patched (Ptc) which binds Shh with high affinity and Smoothened (Smo), a signaling seven transmembrane G-protein coupled receptor. In the absence of Shh, Ptc represses Smo activity. The binding of Shh to Ptc, releases the basal repression of Smo by Ptc (1‑5).

References

  1. Carpenter, D. et al. (1998) Proc. Natl. Acad. Sci. USA 95:13630.
  2. Perrimon, N. (1995) Cell 80:517.
  3. Weed, M. et al. (1997) Matrix Biol. 16:53.
  4. Mullor, J. et al. (2002) Trends Cell Biol. 12:562.
  5. Ingham, P. and A. McMahon (2001) Genes & Dev. 15:3059.

Alternate Names

HHG1, HLP3, HPE3, MCOPCB5, Shh, ShhNC, SMMCI, TPTPS

Entrez Gene IDs

6469 (Human); 20423 (Mouse)

Gene Symbol

SHH

UniProt

Additional Sonic Hedgehog/Shh Products

Product Documents for Human/Mouse Sonic Hedgehog/Shh N‑Terminus Antibody

Certificate of Analysis

To download a Certificate of Analysis, please enter a lot number in the search box below.

Note: Certificate of Analysis not available for kit components.

Product Specific Notices for Human/Mouse Sonic Hedgehog/Shh N‑Terminus Antibody

For research use only

Loading...
Loading...
Loading...
Loading...