Skip to main content

Key Product Details

Validated by

Knockout/Knockdown, Biological Validation

Species Reactivity

Validated:

Human, Mouse, Rat

Cited:

Human, Mouse, Rat, Hamster, Transgenic Mouse

Applications

Validated:

Immunohistochemistry, Western Blot, Blockade of Receptor-ligand Interaction

Cited:

Immunohistochemistry, Immunohistochemistry-Paraffin, Immunohistochemistry-Frozen, Western Blot, Neutralization, Flow Cytometry, Immunocytochemistry, Blocking, ELISA Development

Label

Unconjugated

Antibody Source

Polyclonal Goat IgG

Product Specifications

Immunogen

Mouse myeloma cell line NS0-derived recombinant human RAGE
Gln24-Ala344
Accession # Q15109

Specificity

Detects human RAGE in direct ELISAs and Western blots.

Clonality

Polyclonal

Host

Goat

Isotype

IgG

Endotoxin Level

<0.10 EU per 1 μg of the antibody by the LAL method.

Scientific Data Images for Human/Mouse/Rat RAGE/AGER Antibody

Detection of Human, Mouse, and Rat RAGE antibody by Western Blot.

Detection of Human, Mouse, and Rat RAGE by Western Blot.

Western blot shows lysates of human, mouse, and rat lung tissue. PVDF membrane was probed with 1 µg/mL of Goat Anti-Human/Mouse/Rat RAGE Antigen Affinity-purified Polyclonal Antibody (Catalog # AF1145) followed by HRP-conjugated Anti-Goat IgG Secondary Antibody (Catalog # HAF017). Specific bands were detected for RAGE at approximately 45-55 kDa (as indicated). This experiment was conducted under reducing conditions and using Immunoblot Buffer Group 1.
Detection of Human RAGE antibody by Western Blot.

Detection of Human RAGE by Western Blot.

Western blot shows lysates of human lung tissue and HEK001 human epidermal keratinocyte cell line. PVDF Membrane was probed with 1 µg/mL of Goat Anti-Human/Mouse/Rat RAGE Antigen Affinity-purified Polyclonal Antibody (Catalog # AF1145) followed by HRP-conjugated Anti-Goat IgG Secondary Antibody (Catalog # HAF017). Specific bands were detected for RAGE at approximately 43 kDa under non-reducing (NR) conditions and 50 kDa under reducing (R) conditions (as indicated). This experiment was conducted using Immunoblot Buffer Group 5.
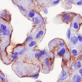
RAGE antibody in Human Alzheimer's Disease Brain by Immunohistochemistry (IHC-P).

RAGE in Human Alzheimer's Disease Brain.

RAGE was detected in immersion fixed paraffin-embedded sections of human Alzheimer's disease brain (cerebellum) using 15 µg/mL Goat Anti-Human/Mouse/Rat RAGE Antigen Affinity-purified Polyclonal Antibody (Catalog # AF1145) overnight at 4 °C. Tissue was stained with the Anti-Goat HRP-DAB Cell & Tissue Staining Kit (brown; Catalog # CTS008) and counterstained with hematoxylin (blue). View our protocol for Chromogenic IHC Staining of Paraffin-embedded Tissue Sections.

Applications for Human/Mouse/Rat RAGE/AGER Antibody

Application
Recommended Usage

Blockade of Receptor-ligand Interaction

In a functional ELISA, 8-40 µg/mL of this antibody will block 50% of the binding of 500 ng/mL of biotinylated AGE‑BSA to immobilized Recombinant Human RAGE Fc Chimera (Catalog # 1145-RG) coated at 5 µg/mL (100 µL/well). At 100 μg/mL, this antibody will block >90% of the binding.

Immunohistochemistry

0.5-15 µg/mL
Sample: Immersion fixed paraffin-embedded sections of human Alzheimer's disease brain (cerebellum) and immersion fixed paraffin-embedded sections of human lung

Western Blot

1 µg/mL
Sample: Human, mouse, and rat lung tissue and HEK001 human epidermal keratinocyte cell line

Reviewed Applications

Read 5 reviews rated 4.6 using AF1145 in the following applications:

Formulation, Preparation, and Storage

Purification

Antigen Affinity-purified

Reconstitution

Reconstitute at 0.2 mg/mL in sterile PBS. For liquid material, refer to CoA for concentration.

Reconstitution Buffer Available:
Size / Price
Qty
Loading...

Formulation

Lyophilized from a 0.2 μm filtered solution in PBS with Trehalose. *Small pack size (SP) is supplied either lyophilized or as a 0.2 µm filtered solution in PBS.

Shipping

Lyophilized product is shipped at ambient temperature. Liquid small pack size (-SP) is shipped with polar packs. Upon receipt, store immediately at the temperature recommended below.

Stability & Storage

Use a manual defrost freezer and avoid repeated freeze-thaw cycles.
  • 12 months from date of receipt, -20 to -70 °C as supplied.
  • 1 month, 2 to 8 °C under sterile conditions after reconstitution.
  • 6 months, -20 to -70 °C under sterile conditions after reconstitution.

Background: RAGE/AGER

Advanced glycation endproducts (AGE) are adducts formed by the non-enzymatic glycation or oxidation of macromolecules. AGE forms during aging and its formation is accelerated under pathophysiologic states such as diabetes, Alzheimer’s disease, renal failure and immune/inflammatory disorders. Receptor for Advanced Glycation Endoproducts (RAGE), named for its ability to bind AGE, is a multi-ligand receptor belonging the immunoglobulin (Ig) superfamily. Besides AGE, RAGE binds amyloid beta-peptide, S100/calgranulin family proteins, high mobility group B1 (HMGB1, also know as amphoterin) and leukocyte integrins.

The human RAGE gene encodes a 404 amino acid residues (aa) type I transmembrane glycoprotein with a 22 aa signal peptide, a 320 aa extracellular domain containing an Ig-like V-type domain and two Ig-like Ce-type domains, a 21 aa transmembrane domain and a 41 aa cytoplasmic domain. The V-type domain and the cytoplasmic domain are important for ligand binding and for intracellular signaling, respectively. Two alternative splice variants, lacking the V-type domain or the cytoplasmic tail, are known. RAGE is highly expressed in the embryonic central nervous system. In adult tissues, RAGE is expressed at low levels in multiple tissues including endothelial and smooth muscle cells, mononuclear phagocytes, pericytes, microglia, neurons, cardiac myocytes, and hepatocytes. The expression of RAGE is upregulated upon ligand interaction. Depending on the cellular context and interacting ligand, RAGE activation can trigger differential signaling pathways that affect divergent pathways of gene expression. RAGE activation modulates varied essential cellular responses (including inflammation, immunity, proliferation, cellular adhesion, and migration) that contribute to cellular dysfunction associated with chronic diseases such as diabetes, cancer, amyloidoses, and immune or inflammatory disorders.

Long Name

Receptor for Advanced Glycation End Products

Alternate Names

AGER, SCARJ1

Entrez Gene IDs

177 (Human); 11596 (Mouse); 81722 (Rat); 403168 (Canine)

Gene Symbol

AGER

UniProt

Additional RAGE/AGER Products

Product Documents for Human/Mouse/Rat RAGE/AGER Antibody

Certificate of Analysis

To download a Certificate of Analysis, please enter a lot number in the search box below.

Note: Certificate of Analysis not available for kit components.

Product Specific Notices for Human/Mouse/Rat RAGE/AGER Antibody

For research use only

Loading...
Loading...
Loading...
Loading...