Skip to main content

Key Product Details

Species Reactivity

Human, Mouse, Rat

Applications

Immunohistochemistry, Western Blot

Label

Unconjugated

Antibody Source

Polyclonal Sheep IgG

Product Specifications

Immunogen

E. coli-derived recombinant human PSMA1
Gln16-His263
Accession # P25786

Specificity

Detects human, mouse, and rat PSMA1 in Western blots.

Clonality

Polyclonal

Host

Sheep

Isotype

IgG

Scientific Data Images for Human/Mouse/Rat PSMA1 Antibody

Detection of Human, Mouse, and Rat PSMA1 antibody by Western Blot.

Detection of Human, Mouse, and Rat PSMA1 by Western Blot.

Western blot shows lysates of HeLa human cervical epithelial carcinoma cell line, Jurkat human acute T cell leukemia cell line, HepG2 human hepatocellular carcinoma cell line, RAW 264.7 mouse monocyte/macrophage cell line, and Rat-2 rat embryonic fibroblast cell line. PVDF membrane was probed with 0.5 µg/mL of Sheep Anti-Human/Mouse/Rat PSMA1 Antigen Affinity-purified Polyclonal Antibody (Catalog # AF7565) followed by HRP-conjugated Anti-Sheep IgG Secondary Antibody (Catalog # HAF016). A specific band was detected for PSMA1 at approximately 30 kDa (as indicated). This experiment was conducted under reducing conditions and using Immunoblot Buffer Group 1.
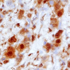
PSMA1 antibody in Human Breast Cancer Tissue by Immunohistochemistry (IHC-P).

PSMA1 in Human Breast Cancer Tissue.

PSMA1 was detected in immersion fixed paraffin-embedded sections of human breast cancer tissue using Sheep Anti-Human/Mouse/Rat PSMA1 Antigen Affinity-purified Polyclonal Antibody (Catalog # AF7565) at 1.7 µg/mL overnight at 4 °C. Tissue was stained using the Anti-Sheep HRP-DAB Cell & Tissue Staining Kit (brown; Catalog # CTS019) and counterstained with hematoxylin (blue). Specific staining was localized to cytoplasm and nuclei. View our protocol for Chromogenic IHC Staining of Paraffin-embedded Tissue Sections.

Applications for Human/Mouse/Rat PSMA1 Antibody

Application
Recommended Usage

Immunohistochemistry

5-15 µg/mL
Sample: Immersion fixed paraffin-embedded sections of human breast cancer tissue

Western Blot

0.5 µg/mL
Sample: HeLa human cervical epithelial carcinoma cell line, Jurkat human acute T cell leukemia cell line, HepG2 human hepatocellular carcinoma cell line, RAW 264.7 mouse monocyte/macrophage cell line, and Rat‑2 rat embryonic fibroblast cell line

Formulation, Preparation, and Storage

Purification

Antigen Affinity-purified

Reconstitution

Sterile PBS to a final concentration of 0.2 mg/mL. For liquid material, refer to CoA for concentration.

Reconstitution Buffer Available:
Size / Price
Qty
Loading...

Formulation

Lyophilized from a 0.2 μm filtered solution in PBS with Trehalose. *Small pack size (SP) is supplied either lyophilized or as a 0.2 µm filtered solution in PBS.

Shipping

Lyophilized product is shipped at ambient temperature. Liquid small pack size (-SP) is shipped with polar packs. Upon receipt, store immediately at the temperature recommended below.

Stability & Storage

Use a manual defrost freezer and avoid repeated freeze-thaw cycles.
  • 12 months from date of receipt, -20 to -70 °C as supplied.
  • 1 month, 2 to 8 °C under sterile conditions after reconstitution.
  • 6 months, -20 to -70 °C under sterile conditions after reconstitution.

Background: PSMA1

PSMA-1 (Proteosome subunit alpha type-1; also 30 kDa prosomal protein/PROS30, HC2, proteasome component C2/PSC2, PSMA-1/ alpha6, and NU) is a 30 kDa member of the peptidase T1A family of enzymes. It is widely expressed, and found in both cytoplasm and nucleus. Short-lived intracellular molecules (typically proteins) are enzymatically degraded by the 26S proteosome. This is a multisubunit 3D complex that is over 2000 kDa in size, and recognizes previously ubiquitinated proteins. The middle of this 26S complex is shaped like a barrel with four staves that run circumferentially rather than longitudinally. Each stave contains seven subunits, with beta-type subunits generating the two center staves, and alpha-type subunits comprising the outer, or flanking staves. The function of the barrel, also known as the 20S protease core "particle", is to enzymatically cleave substrates that enter its chamber. For proteins, this is done by beta-type subunits. The 26S complex also cleaves mRNA, and this is mediated by alpha-type subunits. PSMA-1/ alpha6 does not cleave mRNA, but it does positively regulate PSMA5/ alpha5 catalytic activity. Notably, PSMA-1 has also been reported to bind to LPS. Human PSMA-1 is 263 amino acids (aa) in length. It contains an acetylated Met at position #1, plus three utilized phosphorylation sites at Tyr6, Thr11, and Ser16. There are at least four potential isoform variants. Three utilize alternative start sites. One shows a start site at Met140, while a second and third initiates translation at sites 6 and 43 aa upstream of the standard site, respectively. A fourth isoform possess a 16 aa substitution for aa 115-263. Over aa 16-263, human PSMA-1 shares 98% aa sequence identity with mouse PSMA-1.

Long Name

Proteasome (Prosome, Macropain) Subunit, alpha Type, 1

Alternate Names

Macropain Subunit C2, P30-33K, PROS30, Proteasome Component C2, Proteasome nu Chain, PSC2

Entrez Gene IDs

5682 (Human); 26440 (Mouse); 29668 (Rat)

Gene Symbol

PSMA1

UniProt

Additional PSMA1 Products

Product Documents for Human/Mouse/Rat PSMA1 Antibody

Certificate of Analysis

To download a Certificate of Analysis, please enter a lot number in the search box below.

Note: Certificate of Analysis not available for kit components.

Product Specific Notices for Human/Mouse/Rat PSMA1 Antibody

For research use only

Loading...
Loading...
Loading...
Loading...