Skip to main content

Key Product Details

Species Reactivity

Validated:

Human, Mouse, Rat

Cited:

Mouse, Rat

Applications

Validated:

Immunohistochemistry, Western Blot, Simple Western

Cited:

Immunohistochemistry-Paraffin, Western Blot, In vivo assay

Label

Unconjugated

Antibody Source

Monoclonal Rat IgG2B Clone # 951420

Product Specifications

Immunogen

Human HMGB1/HMG-1 synthetic peptide between amino acids Lys50-Ser100
Accession # P09429

Specificity

Detects human, mouse, and rat HMGB1/HMG-1 in Western blot.

Clonality

Monoclonal

Host

Rat

Isotype

IgG2B

Scientific Data Images for Human/Mouse/Rat HMGB1/HMG-1 Antibody

Detection of Human, Mouse, and Rat HMGB1/HMG-1 antibody by Western Blot.

Detection of Human, Mouse, and Rat HMGB1/HMG‑1 by Western Blot.

Western blot shows lysates of Jurkat human acute T cell leukemia cell line, Hepa 1-6 mouse hepatoma cell line, H4-II-E-C3 rat hepatoma cell line, HEK293 human embryonic kidney cell line, and HeLa human cervical epithelial carcinoma cell line. PVDF membrane was probed with 0.1 µg/mL of Rat Anti-Human HMGB1/HMG-1 Monoclonal Antibody (Catalog # MAB16901) followed by HRP-conjugated Anti-Rat IgG Secondary Antibody (HAF005). A specific band was detected for HMGB1/HMG-1 at approximately 28 kDa (as indicated). This experiment was conducted under reducing conditions and using Immunoblot Buffer Group 1.
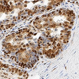
HMGB1/HMG-1 antibody in Human Prostate Cancer Tissue by Immunohistochemistry (IHC-P).

HMGB1/HMG‑1 in Human Prostate Cancer Tissue.

HMGB1/HMG-1 was detected in immersion fixed paraffin-embedded sections of human prostate cancer tissue using Rat Anti-Human/Mouse/Rat HMGB1/HMG-1 Monoclonal Antibody (Catalog # MAB16901) at 5 µg/mL overnight at 4 °C. Tissue was stained using the Anti-Rat HRP-DAB Cell & Tissue Staining Kit (brown; CTS017) and counterstained with hematoxylin (blue). Specific staining was localized to nuclei and cytoplasm. View our protocol for Chromogenic IHC Staining of Paraffin-embedded Tissue Sections.

Detection of Human and Mouse HMGB1/HMG-1 by Simple WesternTM.

Simple Western shows lysates of Jurkat human acute T cell leukemia cell line and Hepa 1-6 mouse hepatoma cell line, loaded at 0.2 mg/ml. A specific band was detected for HMGB1/HMG-1 at approximately 35 kDa (as indicated) using 20 µg/mL of Rat Anti-Human/Mouse/Rat HMGB1/HMG-1 Monoclonal Antibody (Catalog # MAB16901). This experiment was conducted under reducing conditions and using the 12-230kDa separation system.

Applications for Human/Mouse/Rat HMGB1/HMG-1 Antibody

Application
Recommended Usage

Immunohistochemistry

5-25 µg/mL
Sample: Immersion fixed paraffin-embedded sections of human prostate cancer tissue

Simple Western

20 µg/mL
Sample: Jurkat human acute T cell leukemia cell line and Hepa 1-6 mouse hepatoma cell line

Western Blot

0.1 µg/mL
Sample: Jurkat human acute T cell leukemia cell line, Hepa 1‑6 mouse hepatoma cell line, H4‑II‑E‑C3 rat hepatoma cell line, HEK293 human embryonic kidney cell line, and HeLa human cervical epithelial carcinoma cell line

Reviewed Applications

Read 1 review rated 5 using MAB16901 in the following applications:

Formulation, Preparation, and Storage

Purification

Protein A or G purified from hybridoma culture supernatant

Reconstitution

Reconstitute at 0.5 mg/mL in sterile PBS. For liquid material, refer to CoA for concentration.

Reconstitution Buffer Available:
Size / Price
Qty
Loading...

Formulation

Lyophilized from a 0.2 μm filtered solution in PBS with Trehalose. See Certificate of Analysis for details.
*Small pack size (-SP) is supplied either lyophilized or as a 0.2 µm filtered solution in PBS.

Shipping

Lyophilized product is shipped at ambient temperature. Liquid small pack size (-SP) is shipped with polar packs. Upon receipt, store immediately at the temperature recommended below.

Stability & Storage

Use a manual defrost freezer and avoid repeated freeze-thaw cycles.
  • 12 months from date of receipt, -20 to -70 °C as supplied.
  • 1 month, 2 to 8 °C under sterile conditions after reconstitution.
  • 6 months, -20 to -70 °C under sterile conditions after reconstitution.

Background: HMGB1/HMG-1

Human High-mobility group box 1 protein (HMGB1), previously known as HMG-1 or amphoterin, is a member of the high mobility group box family of non-histone chromosomal proteins (1‑3). Human HMGB1 is expressed as a 30 kDa, 215 amino acid (aa) single chain polypeptide containing three domains: two N-terminal globular, 70 aa positively charged DNA-binding domains (HMG boxes A and B), and a negatively charged 30 aa C-terminal region that contains only Asp and Glu (4, 5). Residues 27‑43 and 178‑184 contain a NLS. Posttranslational modifications of the molecule have been reported, with acetylation occurring on as many as 17 lysine residues (6). HMGB1 is expressed at high levels in almost all cells (2, 4). It was originally discovered as a nuclear protein that could bend DNA. Such bending stabilizes nucleosome formation and regulates the expression of select genes upon recruitment by DNA binding proteins (1, 7, 8). It is now known that HMGB1 can also act extracellularly, both as an inflammatory mediator that promotes monocyte migration and cytokine secretion, and as a mediator of T cell-dendritic cell interaction (1, 4, 7, 9, 10). The cytokine activity of HBMG1 is restricted to the HMG B box, (3) while the A box is associated with the helix-loop-helix domain of transcription factors (11). HMBG1 is released in response to cell death and as a secretion product. Although HMBG-1 does not possess a classic signal sequence, it appears to be secreted as an acetylated form via secretory endolysosome exocytosis (6, 12). Once secreted, HMGB1 transduces cellular signals through its high affinity receptor, RAGE and, possibly, TLR2 and TLR4 (1, 3, 4). Human HMGB1 is 100% aa identical to canine HMGB1 and 99% aa identical to mouse, rat, bovine and porcine HMGB1, respectively.

References

  1. Lotze, M.T. and K.J. Tracey (2005) Nat. Rev. Immunol. 5:331.
  2. Yang, H. et al. (2005) J. Leukoc. Biol. 78:1.
  3. Dumitriu, I.E. et al. (2005) Trends Immunol. 26:381.
  4. Degryse, B. and M. de Virgilio (2003) FEBS Lett. 553:11.
  5. Wen, L. et al. (1989) Nucleic Acids Res. 17:1197.
  6. Bonaldi, T. et al. (2003) EMBO J. 22:5551.
  7. Muller, S. et al. (2001) EMBO J. 20:4337.
  8. Bustin, M. (1999) Mol. Cell. Biol. 19:5237.
  9. Wang, H. et al. (1999) Science. 285:248.
  10. Dimitriu, I.E. et al. (2005) J. Immunol. 174:7506.
  11. Najima, Y. et al. (2005) J. Biol. Chem. 280:27523.
  12. Gardella, S. et al. (2002) EMBO Rep. 3:995.

Long Name

High Mobility Group Protein 1

Alternate Names

HMG-1, HMG1

Entrez Gene IDs

3146 (Human)

Gene Symbol

HMGB1

UniProt

Additional HMGB1/HMG-1 Products

Product Documents for Human/Mouse/Rat HMGB1/HMG-1 Antibody

Certificate of Analysis

To download a Certificate of Analysis, please enter a lot number in the search box below.

Note: Certificate of Analysis not available for kit components.

Product Specific Notices for Human/Mouse/Rat HMGB1/HMG-1 Antibody

For research use only

Loading...
Loading...
Loading...
Loading...