Skip to main content

Key Product Details

Species Reactivity

Human, Mouse, Rat

Applications

Immunohistochemistry, Western Blot

Label

Unconjugated

Antibody Source

Polyclonal Sheep IgG

Product Specifications

Immunogen

E. coli-derived recombinant human FBPase 1
Ala2-Gln338 (Arg218Lys)
Accession # P09467

Specificity

Detects human, mouse, rat FBPase 1 in Western blots and detects human FBPase 1 in direct ELISAs.

Clonality

Polyclonal

Host

Sheep

Isotype

IgG

Scientific Data Images for Human/Mouse/Rat FBPase 1 Antibody

Detection of Human, Mouse, and Rat FBPase 1 antibody by Western Blot.

Detection of Human, Mouse, and Rat FBPase 1 by Western Blot.

Western blot shows lysates of MCF-7 human breast cancer cell line, mouse liver tissue, and rat liver tissue. PVDF membrane was probed with 0.2 µg/mL of Sheep Anti-Human/Mouse/Rat FBPase 1 Antigen Affinity-purified Polyclonal Antibody (Catalog # AF7285) followed by HRP-conjugated Anti-Sheep IgG Secondary Antibody (Catalog # HAF016). A specific band was detected for FBPase 1 at approximately 37 kDa (as indicated). This experiment was conducted under reducing conditions and using Immunoblot Buffer Group 1.
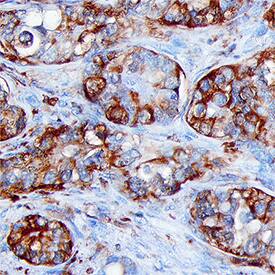
FBPase 1 antibody in Human Liver Cancer Tissue by Immunohistochemistry (IHC-P).

FBPase 1 in Human Liver Cancer Tissue.

FBPase 1 was detected in immersion fixed paraffin-embedded sections of human liver cancer tissue using Sheep Anti-Human/Mouse/Rat FBPase 1 Antigen Affinity-purified Polyclonal Antibody (Catalog # AF7285) at 15 µg/mL for 1 hour at room temperature followed by incubation with the Anti-Sheep IgG VisUCyte™ HRP Polymer Antibody (Catalog # VC006). Tissue was stained using DAB (brown) and counterstained with hematoxylin (blue). Specific staining was localized to cytoplasm in cancer cells. View our protocol for IHC Staining with VisUCyte HRP Polymer Detection Reagents.

Applications for Human/Mouse/Rat FBPase 1 Antibody

Application
Recommended Usage

Immunohistochemistry

5-15 µg/mL
Sample: Immersion fixed paraffin-embedded sections of human liver cancer tissue

Western Blot

0.2 µg/mL
Sample: MCF‑7 human breast cancer cell line, mouse liver tissue, and rat liver tissue

Formulation, Preparation, and Storage

Purification

Antigen Affinity-purified

Reconstitution

Sterile PBS to a final concentration of 0.2 mg/mL. For liquid material, refer to CoA for concentration.

Reconstitution Buffer Available:
Size / Price
Qty
Loading...

Formulation

Lyophilized from a 0.2 μm filtered solution in PBS with Trehalose. *Small pack size (SP) is supplied either lyophilized or as a 0.2 µm filtered solution in PBS.

Shipping

Lyophilized product is shipped at ambient temperature. Liquid small pack size (-SP) is shipped with polar packs. Upon receipt, store immediately at the temperature recommended below.

Stability & Storage

Use a manual defrost freezer and avoid repeated freeze-thaw cycles.
  • 12 months from date of receipt, -20 to -70 °C as supplied.
  • 1 month, 2 to 8 °C under sterile conditions after reconstitution.
  • 6 months, -20 to -70 °C under sterile conditions after reconstitution.

Background: FBPase 1

FBPase 1 (Fructose 1,6 bisphosphatase 1 [Fru-1,6-P2ase]; also FBP-1 phosphohydrolase 1) is a 35-37 kDa member of the FBPase Class I family of enzymes. It is widely expressed, being found in cells diverse as monocytes, hepatocytes, pancreatic beta-cells and striated (skeletal plus cardiac) muscle cells. FBPase 1 converts Fru-1,6-P2 into Fru-6-P, a molecule that is subsequently used to generate glucose. Human FBPase 1 is 338 amino acids (aa) in length. It contains one catalytic region (aa 18-332) and an NLS between aa 203-208. FBPase 1 exhibits divalent cation dependency, and exists as a homotetramer within the cell. Full-length human FBPase 1 shares 85% aa sequence identity with mouse FBPase 1.

Long Name

Fructose-1,6-bisphosphatase 1

Alternate Names

FBP1

Entrez Gene IDs

2203 (Human); 14121 (Mouse); 24362 (Rat)

Gene Symbol

FBP1

UniProt

Additional FBPase 1 Products

Product Documents for Human/Mouse/Rat FBPase 1 Antibody

Certificate of Analysis

To download a Certificate of Analysis, please enter a lot number in the search box below.

Note: Certificate of Analysis not available for kit components.

Product Specific Notices for Human/Mouse/Rat FBPase 1 Antibody

For research use only

Loading...
Loading...
Loading...
Loading...