Skip to main content

Key Product Details

Species Reactivity

Human, Mouse

Applications

Immunohistochemistry, Western Blot

Label

Unconjugated

Antibody Source

Monoclonal Mouse IgG1 Clone # 469827

Product Specifications

Immunogen

E. coli-derived recombinant human PKC beta2
Lys607-Ser673
Accession # P05771

Specificity

Detects human PKC beta2 in direct ELISAs. Detects human and mouse PKC beta2 in Western blots.

Clonality

Monoclonal

Host

Mouse

Isotype

IgG1

Scientific Data Images for Human/Mouse PKC beta2 Antibody

Detection of Human and Mouse PKC beta2 antibody by Western Blot.

Detection of Human and Mouse PKC beta2 by Western Blot.

Western blot shows lysates of K562 human chronic myelogenous leukemia cell line, Jurkat human acute T cell leukemia cell line, CEM human T-lymphoblastoid cell line, and TK-1 mouse T cell lymphoma cell line. PVDF membrane was probed with 1 µg/mL of Mouse Anti-Human/Mouse PKC beta2 Monoclonal Antibody (Catalog # MAB43781) followed by HRP-conjugated Anti-Mouse IgG Secondary Antibody (Catalog # HAF018). A specific band was detected for PKC beta2 at approximately 80 kDa (as indicated). This experiment was conducted under reducing conditions and using Immunoblot Buffer Group 1.
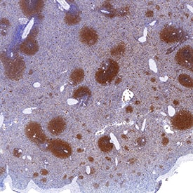
PKC beta2 antibody in Human Spleen by Immunohistochemistry (IHC-P).

PKC beta2 in Human Spleen.

PKC beta2 was detected in immersion fixed paraffin-embedded sections of human spleen using Mouse Anti-Human/Mouse PKC beta2 Monoclonal Antibody (Catalog # MAB43781) at 5 µg/mL for 1 hour at room temperature followed by incubation with the Anti-Mouse/Rabbit IgG VisUCyte™ HRP Polymer Antibody (Catalog # VC002). Tissue was stained using DAB (brown) and counterstained with hematoxylin (blue). Specific staining was localized to cytoplasm in splenocytes. View our protocol for IHC Staining with VisUCyte HRP Polymer Detection Reagents.

Applications for Human/Mouse PKC beta2 Antibody

Application
Recommended Usage

Immunohistochemistry

5-25 µg/mL
Sample: Immersion fixed paraffin-embedded sections of human spleen

Western Blot

1 µg/mL
Sample: K562 human chronic myelogenous leukemia cell line, Jurkat human acute T cell leukemia cell line, CEM human T-lymphoblastoid cell line, and TK‑1 mouse T cell lymphoma cell line

Formulation, Preparation, and Storage

Purification

Protein A or G purified from hybridoma culture supernatant

Reconstitution

Reconstitute at 0.5 mg/mL in sterile PBS. For liquid material, refer to CoA for concentration.

Reconstitution Buffer Available:
Size / Price
Qty
Loading...

Formulation

Lyophilized from a 0.2 μm filtered solution in PBS with Trehalose. *Small pack size (SP) is supplied either lyophilized or as a 0.2 µm filtered solution in PBS.

Shipping

Lyophilized product is shipped at ambient temperature. Liquid small pack size (-SP) is shipped with polar packs. Upon receipt, store immediately at the temperature recommended below.

Stability & Storage

Use a manual defrost freezer and avoid repeated freeze-thaw cycles.
  • 12 months from date of receipt, -20 to -70 °C as supplied.
  • 1 month, 2 to 8 °C under sterile conditions after reconstitution.
  • 6 months, -20 to -70 °C under sterile conditions after reconstitution.

Background: PKC beta 2

Members of the Protein Kinase C (PKC) family are serine/threonine protein kinases that play a key regulatory role in a number of cellular functions including cell growth and differentiation, hormone secretion, and gene expression. Multiple genes and alternative splicing result in three subfamilies, which differ in their co‑factor requirements: conventional PKC isoforms ( alpha, betaΙ, betaΙΙ, and gamma) which require calcium and phosphatidylserine (PS), diacylglycerol (DAG) or phorbol esters for activation; novel isoforms ( delta, epsilon, eta, and theta), which are calcium-independent but are still regulated by PS, DAG, or phorbol esters; and atypical isoforms ( iota / lambda, and zeta), which are calcium-independent and do not require PS, DAG, or phorbol esters for activation. PKC beta2 regulation of c-myc expression has been shown to suppress insulin gene transcription in pancreatic beta-cells implicating PKC beta2 for some of the beta-cell glucose toxicity found in diabetes.

Long Name

Protein Kinase C beta 2

Alternate Names

PKCB;PKCbeta;PKC-beta;PKCI(2);PRKCB;PRKCB1;PRKCB2;Protein kinase C beta type

Entrez Gene IDs

5579 (Human); 18751 (Mouse); 25023 (Rat)

Gene Symbol

PRKCB

UniProt

Additional PKC beta 2 Products

Product Documents for Human/Mouse PKC beta2 Antibody

Certificate of Analysis

To download a Certificate of Analysis, please enter a lot number in the search box below.

Note: Certificate of Analysis not available for kit components.

Product Specific Notices for Human/Mouse PKC beta2 Antibody

For research use only

Loading...
Loading...
Loading...
Loading...