Skip to main content

Key Product Details

Species Reactivity

Human, Mouse

Applications

Immunohistochemistry, Western Blot, Simple Western

Label

Unconjugated

Antibody Source

Polyclonal Sheep IgG

Product Specifications

Immunogen

E. coli-derived recombinant human PAK3
Leu138-Gln255
Accession # O75914

Specificity

Detects human PAK3 in direct ELISAs and Western blots. In direct ELISAs, less than 1% cross-reactivity with recombinant human (rh) PAK1, rhPAK1B, rhPAK2, rhPAK4, rhPAK6, and rhPAK7 is observed.

Clonality

Polyclonal

Host

Sheep

Isotype

IgG

Scientific Data Images for Human/Mouse PAK3 Antibody

Detection of Human PAK3 antibody by Western Blot.

Detection of Human PAK3 by Western Blot.

Western blot shows lysates of human brain (hypothalamus) tissue. PVDF membrane was probed with 0.25 µg/mL of Sheep Anti-Human PAK3 Antigen Affinity-purified Polyclonal Antibody (Catalog # AF6897) followed by HRP-conjugated Anti-Sheep IgG Secondary Antibody (Catalog # HAF016). A specific band was detected for PAK3 at approximately 65 kDa (as indicated). This experiment was conducted under reducing conditions and using Immunoblot Buffer Group 1.
PAK3 antibody in Mouse Embryo by Immunohistochemistry (IHC-Fr).

PAK3 in Mouse Embryo.

PAK3 was detected in immersion fixed frozen sections of mouse embryo (15 d.p.c.) using Sheep Anti-Human PAK3 Antigen Affinity-purified Polyclonal Antibody (Catalog # AF6897) at 1.7 µg/mL overnight at 4 °C. Tissue was stained using the Anti-Sheep HRP-DAB Cell & Tissue Staining Kit (brown; Catalog # CTS019) and counterstained with hematoxylin (blue). Specific staining was localized to the cytoplasm of neuronal cells. View our protocol for Chromogenic IHC Staining of Frozen Tissue Sections.
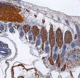
PAK3 antibody in Human Brain by Immunohistochemistry (IHC-P).

PAK3 in Human Brain.

PAK3 was detected in immersion fixed paraffin-embedded sections of human brain (hippocampus) using Sheep Anti-Human PAK3 Antigen Affinity-purified Polyclonal Antibody (Catalog # AF6897) at 3 µg/mL overnight at 4 °C. Tissue was stained using the Anti-Sheep HRP-DAB Cell & Tissue Staining Kit (brown; Catalog # CTS019) and counterstained with hematoxylin (blue). Specific staining was localized to neuronal cell bodies and processes. View our protocol for Chromogenic IHC Staining of Paraffin-embedded Tissue Sections.

Applications for Human/Mouse PAK3 Antibody

Application
Recommended Usage

Immunohistochemistry

5-15 µg/mL
Sample: Immersion fixed frozen sections of mouse embryo (15 d.p.c.), and immersion fixed paraffin-embedded sections of human brain (hippocampus)

Simple Western

5 µg/mL
Sample: Human hippocampus

Western Blot

0.25 µg/mL
Sample: Human brain (hypothalamus) tissue

Formulation, Preparation, and Storage

Purification

Antigen Affinity-purified

Reconstitution

Sterile PBS to a final concentration of 0.2 mg/mL. For liquid material, refer to CoA for concentration.

Reconstitution Buffer Available:
Size / Price
Qty
Loading...

Formulation

Lyophilized from a 0.2 μm filtered solution in PBS with Trehalose. See Certificate of Analysis for details.
*Small pack size (-SP) is supplied either lyophilized or as a 0.2 µm filtered solution in PBS.

Shipping

Lyophilized product is shipped at ambient temperature. Liquid small pack size (-SP) is shipped with polar packs. Upon receipt, store immediately at the temperature recommended below.

Stability & Storage

Use a manual defrost freezer and avoid repeated freeze-thaw cycles.
  • 12 months from date of receipt, -20 to -70 °C as supplied.
  • 1 month, 2 to 8 °C under sterile conditions after reconstitution.
  • 6 months, -20 to -70 °C under sterile conditions after reconstitution.

Background: PAK3

PAK3 (p21-activaed kinase 3; also beta-PAK, PAK3b and oligophrenin-3) is a cytoplasmic 68 kDa member of PAK group I, STE20 subfamily, STE Ser/Thr protein kinase family of molecules. It is expressed in neurons of cortical layers II, III and V, the arcuate nucleus, and neurons in the dorsal raphe plus locus coeruleus. PAK3 mediates axon and dentrite arborization, providing volume to the mass of the CNS. It binds to active GTPases which induce PAK autophosphorylation and activation. Human PAK3(b) is 559 amino acids (aa) in length. It contains one GTPase binding domain (aa 68-128) plus a protein kinase catalytic region (aa 283-534). Acetylation occurs on Lys535, and there are at least three potential phosphorylation sites. Alternate splicing generates three isoform variants. There is a 65 kDa short form that shows a deletion of aa 93-107 (PAK3a), a 69 kDa long form that shows a 21 aa substitution for aa 93-107 (PAK3c), and a 72 kDa very long isoform that contains the aforementioned 21 aa "substitution" inserted onto PAK3b after Thr92 (PAK3cb). PAK3b, c and cb are all constitutively active, and show only modest binding affinity towards GTPases. Over aa 138-255, human PAK3(b) shares 94% aa identity with mouse PAK3(b).

Long Name

p21-activated Kinase 3

Alternate Names

beta-PAK, MRX30, MRX47, OPHN3

Entrez Gene IDs

5063 (Human); 18481 (Mouse)

Gene Symbol

PAK3

UniProt

Additional PAK3 Products

Product Documents for Human/Mouse PAK3 Antibody

Certificate of Analysis

To download a Certificate of Analysis, please enter a lot number in the search box below.

Note: Certificate of Analysis not available for kit components.

Product Specific Notices for Human/Mouse PAK3 Antibody

For research use only

Loading...
Loading...
Loading...
Loading...