Skip to main content

Human/Mouse Meprin  beta Subunit/MEP1B Antibody

R&D Systems, part of Bio-Techne | Catalog # MAB28951

R&D Systems, part of Bio-Techne

Key Product Details

Species Reactivity

Validated:

Human, Mouse

Cited:

Porcine

Applications

Validated:

Immunohistochemistry, Western Blot

Cited:

Immunohistochemistry, Western Blot

Label

Unconjugated

Antibody Source

Monoclonal Rat IgG1 Clone # 289731

Product Specifications

Immunogen

Human embryonic kidney cell line HEK293-derived recombinant human Meprin beta Subunit/MEP1B
Thr23-Ser293
Accession # Q16820

Specificity

Detects the pro form of human or mouse Meprin beta Subunit/MEP1B in Western blots. It does not react with the mature form.

Clonality

Monoclonal

Host

Rat

Isotype

IgG1

Scientific Data Images for Human/Mouse Meprin  beta Subunit/MEP1B Antibody

Detection of Human and Mouse Meprin  beta Subunit/ MEP1B antibody by Western Blot.

Detection of Human and Mouse Meprin beta Subunit/ MEP1B by Western Blot.

Western blot shows lysates of human intestine tissue and mouse intestine tissue. PVDF membrane was probed with 1 µg/mL of Rat Anti-Human/Mouse Meprin beta Subunit/MEP1B Monoclonal Antibody (Catalog # MAB28951) followed by HRP-conjugated Anti-Rat IgG Secondary Antibody (Catalog # HAF005). A specific band was detected for Meprin beta Subunit/MEP1B at approximately 97 kDa (as indicated). This experiment was conducted under reducing conditions and using Immunoblot Buffer Group 1.
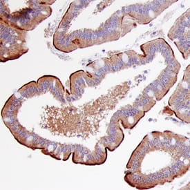
Meprin  beta Subunit/MEP1B antibody in Human Intestine by Immunohistochemistry (IHC-P).

Meprin beta Subunit/MEP1B in Human Intestine.

Meprin beta Subunit/MEP1B was detected in immersion fixed paraffin-embedded sections of human intestine using Human/Mouse Meprin beta Subunit/MEP1B Monoclonal Antibody (Catalog # MAB28951) at 1 µg/mL overnight at 4 °C. Before incubation with the primary antibody, tissue was subjected to heat-induced epitope retrieval using Antigen Retrieval Reagent-Basic (Catalog # CTS013). Tissue was stained using the Anti-Rat HRP-DAB Cell & Tissue Staining Kit (brown; Catalog # CTS017) and counterstained with hemotoxylin (blue). Specific staining was localized to the Brush border of epithelial cells. View our protocol for Chromogenic IHC Staining of Paraffin-embedded Tissue Sections. This application has not been tested in mouse samples
Detection of Meprin  beta Subunit/MEP1B by Western Blot

Detection of Meprin beta Subunit/MEP1B by Western Blot

Representative proteins in ULF-EVs whose abundance increased with pregnancy development also significantly increased after ULF-EVs treatment of pTr2 cells. A Western blot analysis of MUC4, ACP5 and MEP1B in ULF-EVs. B Relative abundance of MUC4, ACP5 and MEP1B in pTr2 cells treated with ULF-EVs. C Images of the embryo-maternal interface stained with MEP1B antibodies. MEP1B was obviously expressed in the endometrium and trophoblast. The scale bar indicates 100 nm. D Quantitative analysis of MEP1B by assessing the average integrated optical density (IOD) in the endometrium. The data are displayed as mean ± SD and different lowercase letters correspond to significant differences at the p < 0.05 threshold. E Quantitative analysis of MEP1B by assessing IOD in the trophoblast. Asterisks indicate significant differences (mean ± SD) between 12 and 15P (**p < 0.01). F The relative expression level of MEP1B mRNA was determined by qRT-PCR. The data are displayed as mean ± SD and asterisk indicate significant differences (*p < 0.05) Image collected and cropped by CiteAb from the following open publication (https://pubmed.ncbi.nlm.nih.gov/36882792), licensed under a CC-BY license. Not internally tested by R&D Systems.

Applications for Human/Mouse Meprin  beta Subunit/MEP1B Antibody

Application
Recommended Usage

Immunohistochemistry

8-25 µg/mL
Sample: Immersion fixed paraffin-embedded sections of human intestine

Western Blot

1 µg/mL
Sample: Human intestine tissue and mouse intestine tissue

Formulation, Preparation, and Storage

Purification

Protein A or G purified from hybridoma culture supernatant

Reconstitution

Reconstitute at 0.5 mg/mL in sterile PBS. For liquid material, refer to CoA for concentration.

Reconstitution Buffer Available:
Size / Price
Qty
Loading...

Formulation

Lyophilized from a 0.2 μm filtered solution in PBS with Trehalose. *Small pack size (SP) is supplied either lyophilized or as a 0.2 µm filtered solution in PBS.

Shipping

Lyophilized product is shipped at ambient temperature. Liquid small pack size (-SP) is shipped with polar packs. Upon receipt, store immediately at the temperature recommended below.

Stability & Storage

Use a manual defrost freezer and avoid repeated freeze-thaw cycles.
  • 12 months from date of receipt, -20 to -70 °C as supplied.
  • 1 month, 2 to 8 °C under sterile conditions after reconstitution.
  • 6 months, -20 to -70 °C under sterile conditions after reconstitution.

Background: Meprin beta Subunit/MEP1B

Meprins are multimeric proteases composed of alpha and beta subunits, which are members of the astacin family of zinc endopeptidases (1, 2). Both subunits form disulfide-linked homo- or heterooligomers, which are also referred to as Meprin A (composed of alpha subunits with or without beta subunits) and Merpin B (composed of beta subunits only) (3). Although the two subunits share 42% amino acid (aa) sequence identity, they differ significantly in their oligomeric structure, post-translational processing and subsequently cellular location, and substrate and peptide bond specificity (4). The 701 aa sequence of human Merpin beta subunit precursor consists of a signal peptide (aa 1 to 21), a pro region (aa 22 to 61), and a mature chain (aa 62 to 701) containing catalytic (aa 62 to 259), MAM (aa 260 to 429), MATH (aa 430 to 585), EGF-like (aa 604 to 644), transmembrane (aa 653 to 673), and cytoplasmic (aa 674 to 701) domains.

References

  1. Bond, J.S. and R.J. Beynon (1995) Protein Sci. 4:1247.
  2. Stocker, W. et al. (1995) Protein Sci. 4:823.
  3. Bertenshaw, G.P. et al. (2001) J. Biol. Chem. 276:13248.
  4. Ishmael, F.T. et al. (2005) J. Biol. Chem. 280:13895.

Alternate Names

MEP1B

Entrez Gene IDs

4225 (Human); 17288 (Mouse)

Gene Symbol

MEP1B

UniProt

Additional Meprin beta Subunit/MEP1B Products

Product Documents for Human/Mouse Meprin  beta Subunit/MEP1B Antibody

Certificate of Analysis

To download a Certificate of Analysis, please enter a lot number in the search box below.

Note: Certificate of Analysis not available for kit components.

Product Specific Notices for Human/Mouse Meprin  beta Subunit/MEP1B Antibody

For research use only

Loading...
Loading...
Loading...
Loading...