Skip to main content

Key Product Details

Species Reactivity

Human, Mouse

Applications

Immunohistochemistry, Western Blot

Label

Unconjugated

Antibody Source

Recombinant Monoclonal Rabbit IgG Clone # 2445D

Product Specifications

Immunogen

S. frugiperda insect ovarian cell line Sf 21-derived recombinant human EGLN1/PHD2
Ala2-Phe426
Accession # Q9QZT9

Specificity

Detects human EGLN1/PHD2 in direct ELISAs. Detects human and mouse EGLN1/PHD2 in Western blots.

Clonality

Monoclonal

Host

Rabbit

Isotype

IgG

Scientific Data Images for Human/Mouse EGLN1/PHD2 Antibody

Detection of Human and Mouse EGLN1/PHD2 antibody by Western Blot.

Detection of Human and Mouse EGLN1/PHD2 by Western Blot.

Western blot shows lysates of PC-3 human prostate cancer cell line, HEK293T human embryonic kidney cell line, and NIH-3T3 mouse embryonic fibroblast cell line. PVDF membrane was probed with 1 µg/mL of Rabbit Anti-Human/Mouse EGLN1/PHD2 Monoclonal Antibody (Catalog # MAB76801) followed by HRP-conjugated Anti-Rabbit IgG Secondary Antibody (Catalog # HAF008). A specific band was detected for EGLN1/PHD2 at approximately 50 kDa (as indicated). This experiment was conducted under reducing conditions and using Immunoblot Buffer Group 1.
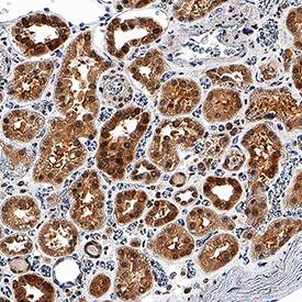
EGLN1/PHD2 antibody in Human Kidney by Immunohistochemistry (IHC-P).

EGLN1/PHD2 in Human Kidney.

EGLN1/PHD2 was detected in immersion fixed paraffin-embedded sections of human kidney using Rabbit Anti-Human/Mouse EGLN1/PHD2 Monoclonal Antibody (Catalog # MAB76801) at 3 µg/mL for 1 hour at room temperature followed by incubation with the Anti-Rabbit IgG VisUCyte™ HRP Polymer Antibody (Catalog # VC003). Before incubation with the primary antibody, tissue was subjected to heat-induced epitope retrieval using Antigen Retrieval Reagent-Basic (Catalog # CTS013). Tissue was stained using DAB (brown) and counterstained with hematoxylin (blue). Specific staining was localized to cytoplasm and nuclei in convoluted tubules. View our protocol for IHC Staining with VisUCyte HRP Polymer Detection Reagents.

Applications for Human/Mouse EGLN1/PHD2 Antibody

Application
Recommended Usage

Immunohistochemistry

3-25 µg/mL
Sample: Immersion fixed paraffin-embedded sections of human kidney

Western Blot

1 µg/mL
Sample: PC‑3 human prostate cancer cell line, HEK293T human embryonic kidney cell line, and NIH‑3T3 mouse embryonic fibroblast cell line

Formulation, Preparation, and Storage

Purification

Protein A or G purified from cell culture supernatant

Reconstitution

Reconstitute at 0.5 mg/mL in sterile PBS. For liquid material, refer to CoA for concentration.

Reconstitution Buffer Available:
Size / Price
Qty
Loading...

Formulation

Lyophilized from a 0.2 μm filtered solution in PBS with Trehalose. *Small pack size (SP) is supplied either lyophilized or as a 0.2 µm filtered solution in PBS.

Shipping

Lyophilized product is shipped at ambient temperature. Liquid small pack size (-SP) is shipped with polar packs. Upon receipt, store immediately at the temperature recommended below.

Stability & Storage

Use a manual defrost freezer and avoid repeated freeze-thaw cycles.
  • 12 months from date of receipt, -20 to -70 °C as supplied.
  • 1 month, 2 to 8 °C under sterile conditions after reconstitution.
  • 6 months, -20 to -70 °C under sterile conditions after reconstitution.

Background: EGLN1/PHD2

PHD2 (Prolyl Hydroxylase Domain-containing protein 2; also HPH2, EGLN1 and HIF-PH2) is a 45-47 kDa dioxygenase member of the PH family of enzymes. It is ubiquitously expressed, and serves to regulate the availability of the oxygen-sensitive HIF transcription factor. Active HIF1 alpha is a heterodimer of alpha- and beta-subunits and when intact, promotes VEGF and EPO production. The beta-subunit is constitutively expressed, while alpha-subunit levels are regulated by intracellular oxygen concentration. At normoxic levels, the alpha-subunit is hydroxylated on Pro by one of three PHDs, inducing its ubiquitination/degradation. The hydroxylation event requires oxygen, and thus PH activity (particularly PHD2) is a measure of a cell's oxygen concentration. Human PHD2 is 426 amino acids (aa) in length. It contains an NES (aa 6-20), a Zn-finger region (aa 21-58), and a catalytic domain (aa 291-392). There are five nitrosylated cysteines plus one acetylated alanine. Two isoform variants are known, one that shows a deletion of aa 338-359, and another that contains a 17 aa substitution for aa 58-175. Over aa 157-426, human PHD2 shares 93% aa sequence identity with mouse PHD2.

Long Name

Egl Nine Homolog 1/Prolyl Hydroxylase Domain-containing Protein 2

Alternate Names

C1orf12, HIFPH2, HPH2, PHD2, SM20, ZMYND6

Entrez Gene IDs

54583 (Human); 112405 (Mouse); 308913 (Rat)

Gene Symbol

EGLN1

UniProt

Additional EGLN1/PHD2 Products

Product Documents for Human/Mouse EGLN1/PHD2 Antibody

Certificate of Analysis

To download a Certificate of Analysis, please enter a lot number in the search box below.

Note: Certificate of Analysis not available for kit components.

Product Specific Notices for Human/Mouse EGLN1/PHD2 Antibody

For research use only

Loading...
Loading...
Loading...
Loading...