Skip to main content

Human MMP-1 Antibody

R&D Systems, part of Bio-Techne | Catalog # MAB901R

Recombinant Monoclonal Antibody.
R&D Systems, part of Bio-Techne

Key Product Details

Validated by

Knockout/Knockdown

Species Reactivity

Validated:

Human

Cited:

Human

Applications

Validated:

Knockout Validated, Immunohistochemistry, Western Blot

Cited:

Western Blot

Label

Unconjugated

Antibody Source

Recombinant Monoclonal Mouse IgG1 Clone # 36665R

Product Specifications

Immunogen

Chinese hamster ovary cell line CHO-derived recombinant human MMP-1
Phe20-Asn469
Accession # P03956

Specificity

Detects pro and active forms of human MMP-1.

Clonality

Monoclonal

Host

Mouse

Isotype

IgG1

Scientific Data Images for Human MMP-1 Antibody

Detection of Human MMP-1 antibody by Western Blot.

Detection of Human MMP‑1 by Western Blot.

Western blot shows lysates of IMR-90 human lung fibroblast cell line and PC-3 human prostate cancer cell line. PVDF membrane was probed with 2 µg/mL of Recombinant Mouse Anti-Human MMP-1 Monoclonal Antibody (Catalog # MAB901R) followed by HRP-conjugated Anti-Mouse IgG Secondary Antibody (Catalog # HAF018). A specific band was detected for MMP-1 at approximately 50 kDa (as indicated). This experiment was conducted under reducing conditions and using Immunoblot Buffer Group 1.
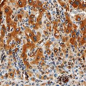
MMP-1 antibody in Human Liver by Immunohistochemistry (IHC-P).

MMP‑1 in Human Liver.

MMP-1 was detected in immersion fixed paraffin-embedded sections of human liver using Recombinant Mouse Anti-Human MMP-1 Monoclonal Antibody (Catalog # MAB901R) at 15 µg/mL overnight at 4 °C. Tissue was stained using the Anti-Mouse HRP-DAB Cell & Tissue Staining Kit (brown; Catalog # CTS002) and counterstained with hematoxylin (blue). Specific staining was localized to cytoplasm in hepatocytes. View our protocol for Chromogenic IHC Staining of Paraffin-embedded Tissue Sections.
Western Blot Shows Human MMP-1 Antibody Specificity by Using Knockout Cell Line.

Western Blot Shows Human MMP‑1 Specificity by Using Knockout Cell Line.

Western blot shows lysates of PC-3 human prostate cancer parental cell line and MMP-1 knockout PC-3 cell line (KO). PVDF membrane was probed with 2 µg/mL of Mouse Anti-Human MMP-1 Monoclonal Antibody (Catalog # MAB901R) followed by HRP-conjugated Anti-Mouse IgG Secondary Antibody (Catalog # HAF018). A specific band was detected for MMP-1 at approximately 50 kDa (as indicated) in the parental PC-3 cell line, but is not detectable in knockout PC-3 cell line. GAPDH (Catalog # AF5718) is shown as a loading control. This experiment was conducted under reducing conditions and using Immunoblot Buffer Group 1.

Applications for Human MMP-1 Antibody

Application
Recommended Usage

Immunohistochemistry

8-25 µg/mL
Sample: Immersion fixed paraffin-embedded sections of human liver

Knockout Validated

MMP-1 is specifically detected in PC‑3 human prostate cancer parental cell line but is not detectable in MMP-1 knockout PC‑3 cell line.

Western Blot

2 µg/mL
Sample: IMR‑90 human lung fibroblast cell line and PC‑3 human prostate cancer cell line

Formulation, Preparation, and Storage

Purification

Protein A or G purified from cell culture supernatant

Reconstitution

Reconstitute at 0.5 mg/mL in sterile PBS. For liquid material, refer to CoA for concentration.

Reconstitution Buffer Available:
Size / Price
Qty
Loading...

Formulation

Lyophilized from a 0.2 μm filtered solution in PBS with Trehalose. *Small pack size (SP) is supplied either lyophilized or as a 0.2 µm filtered solution in PBS.

Shipping

Lyophilized product is shipped at ambient temperature. Liquid small pack size (-SP) is shipped with polar packs. Upon receipt, store immediately at the temperature recommended below.

Stability & Storage


Background: MMP-1

Matrix metalloproteinases are a family of zinc and calcium dependent endopeptidases with the combined ability to degrade all the components of the extracellular matrix. MMP-1 (interstitial collagenase), can degrade a broad range of substrates including types I, II, III, VII, VIII, and X collagens as well as casein, gelatin, alpha‑1 antitrypsin, myelin basic protein, L-Selectin, pro-TNF, IL-1 beta, IGF-BP3, IGF-BP5, pro MMP-2 and pro MMP-9. A significant role of MMP-1 is the degradation of fibrillar collagens in extracellular matrix remodeling, characterized by the cleavage of the interstitial collagen triple helix into ¾, ¼ fragments. However, as the list of substrates above illustrates, the role of MMP-1 is more diverse than originally envisaged, and may involve enzyme cascades, cytokine regulation and cell surface molecule modulation. MMP-1 is expressed by fibroblasts, keratinocytes, endothelial cells, monocytes and macrophages. Structurally, MMP-1 may be divided into several distinct domains; a pro-domain which is cleaved upon activation; a catalytic domain containing the zinc binding site; a short hinge region and a carboxyl terminal (hemopexin-like) domain.

References

  1. Cawston, T.E. (2004) in Interstitial Collagenase. Barrett, A.J. et al. (eds): Handbook of Proteolytic Enzymes, San Diego: Academic Press, p. 472.

Long Name

Matrix Metalloproteinase 1

Alternate Names

MMP1

Entrez Gene IDs

4312 (Human); 83995 (Mouse)

Gene Symbol

MMP1

UniProt

Additional MMP-1 Products

Product Documents for Human MMP-1 Antibody

Certificate of Analysis

To download a Certificate of Analysis, please enter a lot number in the search box below.

Note: Certificate of Analysis not available for kit components.

Product Specific Notices for Human MMP-1 Antibody

For research use only

Loading...
Loading...
Loading...
Loading...