Skip to main content

Key Product Details

Species Reactivity

Validated:

Human

Cited:

Human

Applications

Validated:

Immunohistochemistry, Flow Cytometry, CyTOF-ready

Cited:

Immunohistochemistry

Label

Unconjugated

Antibody Source

Polyclonal Sheep IgG

Product Specifications

Immunogen

Human embryonic kidney cell line HEK293-derived recombinant human LRIG1
Ala35-Ser779
Accession # Q96JA1

Specificity

Detects human LRIG1 in direct ELISAs. In direct ELISAs, approximately 10% cross-reactivity with recombinant mouse LRIG1 and and less than 1% cross-reactivity with recombinant human LRIG3 is observed.

Clonality

Polyclonal

Host

Sheep

Isotype

IgG

Scientific Data Images for Human LRIG1 Antibody

Detection of LRIG1 antibody in LNCaP Human Cell Line antibody by Flow Cytometry.

Detection of LRIG1 in LNCaP Human Cell Line by Flow Cytometry.

LNCaP human prostate cancer cell line was stained with Sheep Anti-Human LRIG1 Antigen Affinity-purified Polyclonal Antibody (Catalog # AF7498, filled histogram) or control antibody (Catalog # 5-001-A, open histogram), followed by Allophycocyanin-conjugated Anti-Sheep IgG Secondary Antibody (Catalog # F0127).
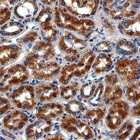
LRIG1 antibody in Human Kidney by Immunohistochemistry (IHC-P).

LRIG1 in Human Kidney.

LRIG1 was detected in immersion fixed paraffin-embedded sections of human kidney using Sheep Anti-Human LRIG1 Antigen Affinity-purified Polyclonal Antibody (Catalog # AF7498) at 10 µg/mL overnight at 4 °C. Before incubation with the primary antibody, tissue was subjected to heat-induced epitope retrieval using Antigen Retrieval Reagent-Basic (Catalog # CTS013). Tissue was stained using the Anti-Sheep HRP-DAB Cell & Tissue Staining Kit (brown; Catalog # CTS019) and counterstained with hematoxylin (blue). Specific staining was localized to the cytoplasm of epithelial cells in convoluted tubules. View our protocol for Chromogenic IHC Staining of Paraffin-embedded Tissue Sections.

Applications for Human LRIG1 Antibody

Application
Recommended Usage

CyTOF-ready

Ready to be labeled using established conjugation methods. No BSA or other carrier proteins that could interfere with conjugation.

Flow Cytometry

2.5 µg/106 cells
Sample: LNCaP human prostate cancer cell line

Immunohistochemistry

5-15 µg/mL
Sample: Immersion fixed paraffin-embedded sections of human kidney

Formulation, Preparation, and Storage

Purification

Antigen Affinity-purified

Reconstitution

Sterile PBS to a final concentration of 0.2 mg/mL. For liquid material, refer to CoA for concentration.

Reconstitution Buffer Available:
Size / Price
Qty
Loading...

Formulation

Lyophilized from a 0.2 μm filtered solution in PBS with Trehalose. *Small pack size (SP) is supplied either lyophilized or as a 0.2 µm filtered solution in PBS.

Shipping

Lyophilized product is shipped at ambient temperature. Liquid small pack size (-SP) is shipped with polar packs. Upon receipt, store immediately at the temperature recommended below.

Stability & Storage

Use a manual defrost freezer and avoid repeated freeze-thaw cycles.
  • 12 months from date of receipt, -20 to -70 °C as supplied.
  • 1 month, 2 to 8 °C under sterile conditions after reconstitution.
  • 6 months, -20 to -70 °C under sterile conditions after reconstitution.

Background: LRIG1

LRIG1 (leucine-rich repeats and Ig-like domains-1; also LIG-1) is an approximately 134-145 kDa glycoprotein that belongs to the LRIG gene family. It is widely expressed, and appears on the surface of prostatic epithelium, endothelial cells, vascular and visceral smooth muscle, mammary epithelium, cardiac muscle, keratinocytes and neurons. LRIG1 is believed to negatively regulate the ErbB family of receptors. In particular, and in a ligand-independent manner, LRIG1 complexes with all four ErbBs, promoting their ubiquitination and decreasing their number. Alternatively, LRIG1 is suggested to bind to the ErbBs, preventing their dimerization and signal transduction. Mature human LRIG1 is a 1059 amino acid (aa) type I transmembrane protein. It contains a large 760 amino acid (aa) extracellular domain (ECD) (aa 35-794) plus a 278 aa cytoplasmic region. The ECD contains 17 LRRs (aa 35‑491) and three C2-type Ig-like domains (aa 495-780). These two domain types are each sufficient for EGFR binding. There are two potential alternative splice forms. One contains a 27 aa insertion after Gly874, while another shows a 24 aa insertion after Lys387 coupled to a Gln substitution for aa 644-691. The LRIG1 ECD undergoes proteolysis, generating 100-110 and 55-60 kDa soluble fragments. Over aa 35‑779, human LRIG1 shares 90% aa sequence identity with mouse LRIG1.

Long Name

Leucine-rich Repeats and Immunoglobulin-like Domains 1

Alternate Names

Img, LIG1

Entrez Gene IDs

26018 (Human); 16206 (Mouse); 312574 (Rat)

Gene Symbol

LRIG1

UniProt

Additional LRIG1 Products

Product Documents for Human LRIG1 Antibody

Certificate of Analysis

To download a Certificate of Analysis, please enter a lot number in the search box below.

Note: Certificate of Analysis not available for kit components.

Product Specific Notices for Human LRIG1 Antibody

For research use only

Loading...
Loading...
Loading...
Loading...
Loading...