Skip to main content

Human IL-1 beta/IL-1F2 Antibody

R&D Systems, part of Bio-Techne | Catalog # AF-201-NA

R&D Systems, part of Bio-Techne

Key Product Details

Validated by

Orthogonal Validation, Biological Validation

Species Reactivity

Validated:

Human

Cited:

Human, Mouse, Amphibian, Canine, Lizard, Primate - Macaca mulatta (Rhesus Macaque)

Applications

Validated:

Immunohistochemistry, Western Blot, Neutralization, Dual RNAscope ISH-IHC Compatible, Immunocytochemistry, Simple Western

Cited:

Immunohistochemistry, Immunohistochemistry-Paraffin, Western Blot, Neutralization, Immunocytochemistry, Bioassay, Blocking/Neutralizing, Cell Culture, Dot Blot, Functional Assay

Label

Unconjugated

Antibody Source

Polyclonal Goat IgG

Product Specifications

Immunogen

E. coli-derived recombinant human IL-1 beta/IL-1F2
Ala117-Ser269
Accession # NP_000567

Specificity

Detects human IL-1 beta/IL-1F2 in direct ELISAs and Western blots.

Clonality

Polyclonal

Host

Goat

Isotype

IgG

Endotoxin Level

<0.10 EU per 1 μg of the antibody by the LAL method.

Scientific Data Images for Human IL-1 beta/IL-1F2 Antibody

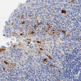
IL-1 beta/IL-1F2 antibody in Human Tonsil Using Dual RNAscope®ISH and IHC.

IL-1 beta/IL-1F2 in Human Tonsil Using Dual RNAscope®ISH and IHC.

IL-1 beta/IL-1F2 mRNA was detected in formalin-fixed paraffin-embedded tissue sections of human tonsil probed with ACD RNAScope®Probe (Catalog # 310361) and stained using ACD RNAscope®2.5 HD Detection Reagents-Red (top image, Catalog # 32260). Adjacent tissue section was processed for immunohistochemistry using R&D Systems Goat Anti-Human IL-1 beta/IL-1F2 Antigen Affinity-purified Polyclonal Antibody (Catalog # AF-201-NA) at 1 ug/mL for 1 hour at room temperature followed by incubation with the Anti-Goat IgG VisUCyte HRP Polymer Antibody (R&D Systems, Catalog # VC004) and DAB chromogen (lower image, yellow-brown). Tissues were counterstained with hematoxylin (blue).
Detection of Human IL-1 beta/IL-1F2 antibody by Western Blot.

Detection of Human IL‑1 beta/IL‑1F2 by Western Blot.

Western blot shows lysates of THP-1 human acute monocytic leukemia cell line untreated (-) or treated (+) with 200 nM PMA for 24 hours and 10 µg/mL LPS and 3 hours. PVDF membrane was probed with 0.1 µg/mL of Goat Anti-Human IL-1 beta/IL-1F2 Antigen Affinity-purified Polyclonal Antibody (Catalog # AF-201-NA) followed by HRP-conjugated Anti-Goat IgG Secondary Antibody (Catalog # HAF017). A specific band was detected for IL-1 beta/IL-1F2 at approximately 36 kDa (as indicated). This experiment was conducted under reducing conditions and using Immunoblot Buffer Group 1.

Detection of IL-1 beta/IL-1F2 in THP-1 Human Cell Line.

IL-1 beta/IL-1F2 was detected in immersion fixed THP-1 human acute monocytic leukemia cell line using Mouse Anti-Human IL-1 beta/IL-1F2 Monoclonal Antibody (Catalog # MAB601) at 5 µg/ml for 3 hours at room temperature. Cells were stained using the NorthernLights™ 557-conjugated Anti-Goat IgG Secondary Antibody (red; Catalog # NL001) and counterstained with DAPI (blue). Specific staining was localized to the cytoplasm of THP-1 cells treated with 200nM PMA for 24 hours then 10ug/mL LPS for 24 hours. View our protocol for Fluorescent ICC Staining of Cells on Coverslips.

Applications for Human IL-1 beta/IL-1F2 Antibody

Application
Recommended Usage

Dual RNAscope ISH-IHC Compatible

1-15 µg/mL
Sample: Immersion fixed paraffin-embedded sections of human tonsil

Immunocytochemistry

5-15 µg/mL
Sample: Immersion fixed human peripheral blood lymphocytes and immersion fixed human peripheral blood mononuclear cells treated with LPS and monensin and THP-1 human acute monocytic leukemia cell line untreated and treated with PMA and LPS

Immunohistochemistry

1-15 µg/mL
Sample: Immersion fixed paraffin-embedded sections of human tonsil

Simple Western

1 µg/mL
Sample: TF‑1 human erythroleukemic cell line

Western Blot

0.1 µg/mL
Sample: THP‑1 human acute monocytic leukemia cell line treated with PMA and LPS

Neutralization

Measured by its ability to neutralize IL‑1 beta/IL‑1F2-induced proliferation in the D10.G4.1 mouse helper T cell line. Symons, J.A. et al. (1987) in Lymphokines and Interferons, a Practical Approach. Clemens, M.J. et al. (eds): IRL Press. 272. The Neutralization Dose (ND50) is typically 6-42 ng/mL in the presence of 50 pg/mL Recombinant Human IL‑1 beta/IL‑1F2.

Reviewed Applications

Read 5 reviews rated 4.2 using AF-201-NA in the following applications:

Formulation, Preparation, and Storage

Purification

Antigen Affinity-purified

Reconstitution

Reconstitute at 0.2 mg/mL in sterile PBS. For liquid material, refer to CoA for concentration.

Reconstitution Buffer Available:
Size / Price
Qty
Loading...

Formulation

Lyophilized from a 0.2 μm filtered solution in PBS with Trehalose. See Certificate of Analysis for details.
*Small pack size (-SP) is supplied either lyophilized or as a 0.2 µm filtered solution in PBS.

Shipping

Lyophilized product is shipped at ambient temperature. Liquid small pack size (-SP) is shipped with polar packs. Upon receipt, store immediately at the temperature recommended below.

Stability & Storage

Use a manual defrost freezer and avoid repeated freeze-thaw cycles.
  • 12 months from date of receipt, -20 to -70 °C as supplied.
  • 1 month, 2 to 8 °C under sterile conditions after reconstitution.
  • 6 months, -20 to -70 °C under sterile conditions after reconstitution.

Background: IL-1 beta/IL-1F2

IL-1 is a name that designates two pleiotropic cytokines, IL-1 alpha (IL-1F1) and IL-1 beta (IL-1F2, IL1B), which are the products of distinct genes. IL-1 alpha and IL-1 beta are structurally related polypeptides that share approximately 21% amino acid (aa) identity in human. Both proteins are produced by a wide variety of cells in response to inflammatory agents, infections, or microbial endotoxins. While IL-1 alpha and IL-1 beta are regulated independently, they bind to the same receptor and exert identical biological effects. IL-1 RI binds directly to IL-1 alpha or IL-1 beta and then associates with IL-1 R accessory protein (IL-1 R3/IL-1 R AcP) to form a high-affinity receptor complex that is competent for signal transduction. IL-1 RII has high affinity for IL-1 beta but functions as a decoy receptor and negative regulator of IL-1 beta activity. IL-1ra functions as a competitive antagonist by preventing IL-1 alpha and IL-1 beta from interacting with IL-1 RI. Intracellular cleavage of the IL-1 beta precursor by Caspase-1/ICE is a key step in the inflammatory response. The 17 kDa molecular weight mature human IL-1 beta shares 96% aa sequence identity with rhesus and 67%-78% with canine, cotton rat, equine, feline, mouse, porcine, and rat IL-1 beta. IL-1 beta functions in a central role in immune and inflammatory responses, bone remodeling, fever, carbohydrate metabolism, and GH/IGF-I physiology. IL-1 beta dysregulation is implicated in many pathological conditions including sepsis, rheumatoid arthritis, inflammatory bowel disease, acute and chronic myelogenous leukemia, insulin-dependent diabetes mellitus, atherosclerosis, neuronal injury, and aging-related diseases.

Long Name

Interleukin 1 beta

Alternate Names

IL-1b, IL-1F2, IL1 beta, IL1B

Entrez Gene IDs

3553 (Human); 16176 (Mouse); 24494 (Rat); 397122 (Porcine); 403974 (Canine); 100034237 (Equine); 100135556 (Guinea Pig)

Gene Symbol

IL1B

UniProt

Additional IL-1 beta/IL-1F2 Products

Product Documents for Human IL-1 beta/IL-1F2 Antibody

Certificate of Analysis

To download a Certificate of Analysis, please enter a lot number in the search box below.

Note: Certificate of Analysis not available for kit components.

Product Specific Notices for Human IL-1 beta/IL-1F2 Antibody

For research use only

Loading...
Loading...
Loading...
Loading...