Skip to main content

Key Product Details

Species Reactivity

Validated:

Human

Cited:

Human, Porcine, Rhesus Macaque

Applications

Validated:

Immunohistochemistry, Western Blot

Cited:

Immunohistochemistry-Paraffin, Western Blot, Immunocytochemistry, ELISA Development

Label

Unconjugated

Antibody Source

Polyclonal Goat IgG

Product Specifications

Immunogen

Mouse myeloma cell line NS0-derived recombinant human IGFBP-rp1
Arg98-Arg277
Accession # AAA16187

Specificity

Detects human IGFBP-rp1 in direct ELISAs and Western blots. In direct ELISAs, less than 5% cross-reactivity with recombinant human (rh) IGFBP‑L1, rhIGFBP-rp10 and recombinant mouse IGFBP-7 is observed.

Clonality

Polyclonal

Host

Goat

Isotype

IgG

Scientific Data Images for Human IGFBP-rp1/IGFBP-7 Antibody

Detection of Human IGFBP-rp1/IGFBP-7 antibody by Western Blot.

Detection of Human IGFBP‑rp1/IGFBP‑7 by Western Blot.

Western blot shows lysates of HepG2 human hepatocellular carcinoma cell line. PVDF membrane was probed with 1 µg/mL of Goat Anti-Human IGFBP-rp1/IGFBP-7 Antigen Affinity-purified Polyclonal Antibody (Catalog # AF1334) followed by HRP-conjugated Anti-Goat IgG Secondary Antibody (Catalog # HAF019). A specific band was detected for IGFBP-rp1/IGFBP-7 at approximately 30 kDa (as indicated). This experiment was conducted under reducing conditions and using Immunoblot Buffer Group 1.
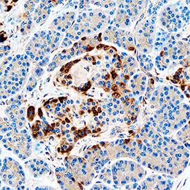
IGFBP-rp1/IGFBP-7 antibody in Human Pancreas by Immunohistochemistry (IHC-P).

IGFBP‑rp1/IGFBP‑7 in Human Pancreas.

IGFBP-rp1/IGFBP-7 was detected in immersion fixed paraffin-embedded sections of human pancreas using Goat Anti-Human IGFBP-rp1/IGFBP-7 Antigen Affinity-purified Polyclonal Antibody (Catalog # AF1334) at 0.3 µg/mL overnight at 4 °C. Tissue was stained using the Anti-Goat HRP-DAB Cell & Tissue Staining Kit (brown; Catalog # CTS008) and counterstained with hematoxylin (blue). Specific staining was localized to islets. View our protocol for Chromogenic IHC Staining of Paraffin-embedded Tissue Sections.
Detection of IGFBP-rp1/IGFBP-7 by Western Blot

Detection of IGFBP-rp1/IGFBP-7 by Western Blot

IGFBP7 expression is increased in human ASCs going through differentiation with TGF-beta and BMP-4. (A) Top is representative immunoblot for IGFBP7 expression. Corresponding line graph demonstrating the time-course (0 to 7 days) effect of TGF-beta and BMP-4 on IGFBP7 expression. TGF-beta and BMP-4 synergistically induce the expression of IGFBP7 on hASC. hASCs were stimulated with TGF-beta, BMP-4 or combination of TGF-beta and BMP-4 (DM) for up to 7 days and IGFBP7 expression was evaluated by Western blot. Top are representative immunoblots for IGFBP7 expression. Corresponding bar graph demonstrating the time-course (0 to 7 days) effect of TGF-beta, BMP-4 or DM on IGFBP7 expression. (B) Fluorescence microscopy was also used to detect TGF-beta, BMP-4 or DM-induced IGFBP7 expression on day 0, 4 and 7. Scale bar 100µm. Results are mean ± SEM of 5 experiments. * p < 0.05 vs. day 0 of stimulation with DM; ** p < 0.05 vs. day 0 of stimulation with TGF-beta ; # p < 0.05 vs. day 0 of stimulation with BMP-4. Image collected and cropped by CiteAb from the following open publication (https://pubmed.ncbi.nlm.nih.gov/34356861), licensed under a CC-BY license. Not internally tested by R&D Systems.

Applications for Human IGFBP-rp1/IGFBP-7 Antibody

Application
Recommended Usage

Immunohistochemistry

5-15 µg/mL
Sample: Immersion fixed paraffin-embedded sections of human small intestine and human pancreas

Western Blot

1 µg/mL
Sample: HepG2 human hepatocellular carcinoma cell line

Formulation, Preparation, and Storage

Purification

Antigen Affinity-purified

Reconstitution

Reconstitute at 0.2 mg/mL in sterile PBS. For liquid material, refer to CoA for concentration.

Reconstitution Buffer Available:
Size / Price
Qty
Loading...

Formulation

Lyophilized from a 0.2 μm filtered solution in PBS with Trehalose. *Small pack size (SP) is supplied either lyophilized or as a 0.2 µm filtered solution in PBS.

Shipping

Lyophilized product is shipped at ambient temperature. Liquid small pack size (-SP) is shipped with polar packs. Upon receipt, store immediately at the temperature recommended below.

Stability & Storage

Use a manual defrost freezer and avoid repeated freeze-thaw cycles.
  • 12 months from date of receipt, -20 to -70 °C as supplied.
  • 1 month, 2 to 8 °C under sterile conditions after reconstitution.
  • 6 months, -20 to -70 °C under sterile conditions after reconstitution.

Background: IGFBP-rp1/IGFBP-7

IGFBP-rp1, also known as Mac25/Angiomodulin (AGM), tumor-derived adhesion factor (TAF) and prostacyclin-stimulating factor (PSF), is a secreted protein that contains three protein domain modules. Human IGFBP-rp1 cDNA encodes 282 amino acid (aa) residue precursor protein with a putative 26 aa signal peptide. Mature IGFBP-rp1 is a glycosylated protein with an N-terminal IGFBP domain, followed by a Kazal-type serine proteinase inhibitor domain and a C-terminal immunoglobulin-like C2-type domain. The similarity of IGFBP-rp1 with the IGFBPs is confined to the N-terminal IGFBP domain, which contains all 12 of the conserved cysteine residues found in IGFBP-1 through 5. Human and mouse IGFBP-rp1 are highly homologous. Discounting a segment of 43 aa near the N-terminus that is missing in the mouse homologue, human and mouse IGFBP-rp1 share 94% aa sequence identity. IGFBP-rp1 is expressed in many normal tissues and in cancer cells. It is abundantly expressed in high endothelial venules (HEVs) of blood vessels in the secondary lymphoid tissues. The expression of IGFBP-rp1 is upregulated in senescing epithelial cells and by retinoic acid. IGFBP-rp1 binds IGF and insulin with very low affinity and has been shown to enhance the mitogenic actions of IGF and insulin. IGFBP-rp1 also has IGF/insulin-independent activities. It interacts with heparan sulfate proteoglycans, type IV collagen, and specific chemokines. IGFBP‑rp1 supports weak cell adhesion, promotes cell spreading on type IV collagen, and stimulates the production of the potent vasodilator PGI2. It modulates tumor cell growth and has also been implicated in angiogenesis. IGFBP-rp1 is proteolytically cleaved between lysine 97 and alanine 98. Cleaved IGFBP-rp1 has enhanced cell attachment activity but can no longer bind IGF/insulin (1-3).

References

  1. Hwa, V. et al. (1999) Endocrinology Rev. 20:761.
  2. Nagakubo, D. et al. (2003) J. Immunol. 171:553.
  3. Ahmed, S. et al. (2003) Biochem. Biophys. Res. Commun. 310:612.

Long Name

Insulin-like Growth Factor Binding Protein Related Protein 1

Alternate Names

IGFBP-7, IGFBP7, IGFBPrp1, Mac25, PSF

Entrez Gene IDs

3490 (Human); 29817 (Mouse)

Gene Symbol

IGFBP7

UniProt

Additional IGFBP-rp1/IGFBP-7 Products

Product Documents for Human IGFBP-rp1/IGFBP-7 Antibody

Certificate of Analysis

To download a Certificate of Analysis, please enter a lot number in the search box below.

Note: Certificate of Analysis not available for kit components.

Product Specific Notices for Human IGFBP-rp1/IGFBP-7 Antibody

For research use only

Loading...
Loading...
Loading...
Loading...