Skip to main content

Human Fibronectin Antibody

R&D Systems, part of Bio-Techne | Catalog # MAB19182

Key Product Details

Validated by

Biological Validation

Species Reactivity

Validated:

Human

Cited:

Human

Applications

Validated:

Multiplex Immunofluorescence, Immunohistochemistry, Western Blot, Immunocytochemistry, COMET

Cited:

Western Blot, Immunocytochemistry/ Immunofluorescence

Label

Unconjugated

Antibody Source

Monoclonal Mouse IgG1 Clone # 960642

Product Specifications

Immunogen

E.coli-derived recombinant human Fibronectin
Asn631-Pro705
Accession # P02751

Specificity

Detects human Fibronectin in direct ELISAs and Western blots.

Clonality

Monoclonal

Host

Mouse

Isotype

IgG1

Scientific Data Images for Human Fibronectin Antibody

Detection of Fibronectin in Human Breast Tumor via seqIF™ staining on COMET™​

Fibronectin was detected in immersion fixed paraffin-embedded sections of human Breast Tumor using Mouse Anti-Human Fibronectin Monoclonal Antibody (Catalog # MAB19182) at 15ug/mL at 37 ° Celsius for 4 minutes. Before incubation with the primary antibody, tissue underwent an all-in-one dewaxing and antigen retrieval preprocessing using PreTreatment Module (PT Module) and Dewax and HIER Buffer H (pH 9; Epredia Catalog # TA-999-DHBH). Tissue was stained using the Alexa Fluor™ 555 Goat anti-Mouse IgG Secondary Antibody at 1:100 at 37 ° Celsius for 2 minutes. (Yellow; Lunaphore Catalog # DR555MS) and counterstained with DAPI (blue; Lunaphore Catalog # DR100). Specific staining was localized to the cytoplasm. Protocol available in COMET™ Panel Builder.​​

Detection of Human Fibronectin by Western Blot.

Western blot shows lysates of HepG2 human hepatocellular carcinoma cell line. PVDF membrane was probed with 2 µg/mL of Mouse Anti-Human Fibronectin Monoclonal Antibody (Catalog # MAB19182) followed by HRP-conjugated Anti-Mouse IgG Secondary Antibody (HAF018). A specific band was detected for Fibronectin at approximately 300 kDa (as indicated). This experiment was conducted under reducing conditions and using Western Blot Buffer Group 1.
Fibronectin antibody in HepG2 Human Cell Line by Immunocytochemistry (ICC).

Fibronectin in HepG2 Human Cell Line.

Fibronectin was detected in immersion fixed HepG2 human hepatocellular carcinoma cell line treated with monensin using Mouse Anti-Human Fibronectin Monoclonal Antibody (Catalog # MAB19182) at 3 µg/mL for 3 hours at room temperature. Cells were stained using the NorthernLights™ 557-conjugated Anti-Mouse IgG Secondary Antibody (red; Catalog # NL007) and counterstained with DAPI (blue). Specific staining was localized to cytoplasm (punctate). View our protocol for Fluorescent ICC Staining of Cells on Coverslips.

Applications for Human Fibronectin Antibody

Application
Recommended Usage

COMET

Immunocytochemistry

3-25 µg/mL
Sample: Immersion fixed HepG2 human hepatocellular carcinoma cell line treated with monensin

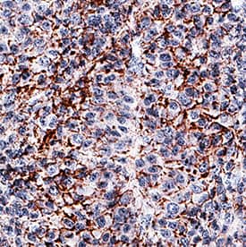
Immunohistochemistry

5-25 µg/mL
Sample: Immersion fixed paraffin-embedded sections of human liver cancer tissue

Multiplex Immunofluorescence

15 µg/mL
Sample: Immersion fixed paraffin-embedded sections of human Breast Tumor

Western Blot

2 µg/mL
Sample: HepG2 human hepatocellular carcinoma cell line

Reviewed Applications

Read 1 review rated 5 using MAB19182 in the following applications:

Formulation, Preparation, and Storage

Purification

Protein A or G purified from hybridoma culture supernatant

Reconstitution

Reconstitute at 0.5 mg/mL in sterile PBS. For liquid material, refer to CoA for concentration.

Reconstitution Buffer Available:
Size / Price
Qty
Loading...

Formulation

Lyophilized from a 0.2 μm filtered solution in PBS with Trehalose. See Certificate of Analysis for details.
*Small pack size (-SP) is supplied either lyophilized or as a 0.2 µm filtered solution in PBS.

Shipping

Lyophilized product is shipped at ambient temperature. Liquid small pack size (-SP) is shipped with polar packs. Upon receipt, store immediately at the temperature recommended below.

Stability & Storage

Use a manual defrost freezer and avoid repeated freeze-thaw cycles.
  • 12 months from date of receipt, -20 to -70 °C as supplied.
  • 1 month, 2 to 8 °C under sterile conditions after reconstitution.
  • 6 months, -20 to -70 °C under sterile conditions after reconstitution.

Background: Fibronectin

Fibronectin is an extracellular matrix component that exists in different alternately spliced isoforms. Fibronectin mediates cell adhesion in its insoluble state but not as a soluble molecule. Fibronectins play a role in cell adhesion, migration, differentiation, and specific gene expression.

Alternate Names

CIG, ED-B, FINC, FN1, FNZ, GFND2, LETS, SMDCF

Entrez Gene IDs

2335 (Human); 280794 (Bovine)

Gene Symbol

FN1

UniProt

Additional Fibronectin Products

Product Documents for Human Fibronectin Antibody

Certificate of Analysis

To download a Certificate of Analysis, please enter a lot number in the search box below.

Note: Certificate of Analysis not available for kit components.

Product Specific Notices for Human Fibronectin Antibody

For research use only

Loading...
Loading...
Loading...
Loading...
Loading...