Skip to main content

Human DDR2 Antibody

R&D Systems, part of Bio-Techne | Catalog # MAB25381

R&D Systems, part of Bio-Techne

Key Product Details

Species Reactivity

Validated:

Human

Cited:

Mouse, Transgenic Mouse

Applications

Validated:

Immunohistochemistry, Flow Cytometry, CyTOF-reported

Cited:

Immunohistochemistry, Flow Cytometry, Immunocytochemistry

Label

Unconjugated

Antibody Source

Monoclonal Mouse IgG2B Clone # 290804

Product Specifications

Immunogen

Mouse myeloma cell line NS0-derived recombinant human DDR2
Gln24-Arg399
Accession # Q16832

Specificity

Detects human DDR2 in direct ELISAs.

Clonality

Monoclonal

Host

Mouse

Isotype

IgG2B

Scientific Data Images for Human DDR2 Antibody

Detection of Human DDR2 antibody in HEK293 Human Cell Line

Detection of Human DDR2 in HEK293 Human Cell Line

HEK293 human embryonic kidney cell line transfected with human DDR2 and Enhanced Green Fluorescent Protein (eGFP) was stained with either (A) Mouse IgG2BIsotype Control (Catalog # MAB00401) or (B) Mouse Anti-Human DDR2 Monoclonal Antibody (Catalog # MAB25381) followed by Allophycocyanin-conjugated Anti-Mouse IgG Secondary Antibody (Catalog # F0101B).
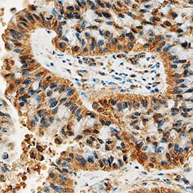
DDR2 antibody in Human Lung Cancer Tissue by Immunohistochemistry (IHC-P).

DDR2 in Human Lung Cancer Tissue.

DDR2 was detected in immersion fixed paraffin-embedded sections of human lung cancer tissue using Mouse Anti-Human DDR2 Monoclonal Antibody (Catalog # MAB25381) at 15 µg/mL overnight at 4 °C. Tissue was stained using the Anti-Mouse HRP-DAB Cell & Tissue Staining Kit (brown; Catalog # CTS002) and counterstained with hematoxylin (blue). Specific staining was localized to cytoplasm. View our protocol for Chromogenic IHC Staining of Paraffin-embedded Tissue Sections.

Applications for Human DDR2 Antibody

Application
Recommended Usage

CyTOF-reported

Brodie, T.M. et al. (2018) Cytometry Part A. 93: 406. Ready to be labeled using established conjugation methods. No BSA or other carrier proteins that could interfere with conjugation.

Flow Cytometry

2.5 µg/106 cells
Sample: HEK293 human embryonic kidney cell line transfected with human DDR2 and Enhanced Green Fluorescent Protein (eGFP)

Immunohistochemistry

8-25 µg/mL
Sample: Immersion fixed paraffin-embedded sections of human lung cancer tissue

Formulation, Preparation, and Storage

Purification

Protein A or G purified from hybridoma culture supernatant

Reconstitution

Reconstitute at 0.5 mg/mL in sterile PBS. For liquid material, refer to CoA for concentration.

Reconstitution Buffer Available:
Size / Price
Qty
Loading...

Formulation

Lyophilized from a 0.2 μm filtered solution in PBS and NaCl with Trehalose. *Small pack size (SP) is supplied either lyophilized or as a 0.2 µm filtered solution in PBS.

Shipping

Lyophilized product is shipped at ambient temperature. Liquid small pack size (-SP) is shipped with polar packs. Upon receipt, store immediately at the temperature recommended below.

Stability & Storage

Use a manual defrost freezer and avoid repeated freeze-thaw cycles.
  • 12 months from date of receipt, -20 to -70 °C as supplied.
  • 1 month, 2 to 8 °C under sterile conditions after reconstitution.
  • 6 months, -20 to -70 °C under sterile conditions after reconstitution.

Background: DDR2

DDR2, also known as TYR010 and TKT, is a widely expressed 130 kDa type I transmembrane glycoprotein belonging to the discoidin-like domain containing subfamily of receptor tyrosine kinases (1). Mature human DDR2 consists of a 378 amino acid (aa) extracellular domain (ECD) that includes the discoidin-like domain, a 22 aa transmembrane segment, and a 434 aa cytoplasmic domain that includes the kinase domain (2). Within the ECD, human DDR2 shares 53% aa sequence identity with DDR1 and 97% aa sequence identity with mouse DDR2. The discoidin-like domain mediates DDR2 interactions with collagens I, III, and X (3‑5). Collagens II and V are less efficacious ligands (3). DDR2 selectively recognizes the triple helical structure of collagen compared to monomeric or denatured collagen (3, 5, 6). Within collagen II, the D2 period is required for DDR2 binding, and the D1 period is additionally required to trigger DDR2 autophosphorylation (6). The ECD of DDR2 exists as a non-covalent dimer in solution, and dimerization of the receptor greatly enhances collagen binding (4, 7). DDR2 interaction with collagen I inhibits collagen fibrillogenesis and alters collagen fiber morphology (7). Ligand binding induces DDR2 autophosphorylation in the cytoplasmic domain (3, 5, 8), which promotes associations with Shc and Src (9). In addition to the above mechanism, DDR2 exhibits a distinct interaction with collagen X. A region other than the discoidin-like domain of DDR2 recognizes the non-helical NC1 domain of collagen X, and this interaction does not lead to receptor autophosphorylation (5). Activation of DDR2 by collagen induces upregulation of MMP-1, -2, and -13 as well as DDR2 itself (3, 8, 10). DDR2 is implicated in collagenous matrix destruction and cell invasiveness (8, 10). DDR2 is also upregulated in several pathological conditions, including hepatic fibrosis following injury, rheumatoid and osteoarthritis, and smooth muscle cell hyperplasia (8, 10‑12).

References

  1. Vogel, W.F. et al. (2006) Cell. Signal. 18:1108.
  2. Karn, T. et al. (1993) Oncogene 8:3433.
  3. Vogel, W. et al. (1997) Mol. Cell 1:13.
  4. Leitinger, B. (2003) J. Biol. Chem. 278:16761.
  5. Leitinger, B. and A.P.L Kwan (2006) Matrix Biol. 25:355.
  6. Leitinger, B. et al. (2004) J. Mol. Biol. 344:993.
  7. Mihai, C. et al. (2006) J. Mol. Biol. 361:864.
  8. Olaso, E. et al. (2001) J. Clin. Invest. 108:1369.
  9. Ikeda, K. et al. (2002) J. Biol. Chem. 277:19206.
  10. Xu, L. et al. (2005) J. Biol. Chem. 280:548.
  11. Wang, J. et al. (2002) J. Autoimmun. 19:161.
  12. Ferri, N. et al. (2004) Am. J. Pathol. 164:1575.

Long Name

Discoidin Domain Receptor 2

Alternate Names

TKT, Trk3, Tyro-10

Entrez Gene IDs

4921 (Human); 18214 (Mouse)

Gene Symbol

DDR2

UniProt

Additional DDR2 Products

Product Documents for Human DDR2 Antibody

Certificate of Analysis

To download a Certificate of Analysis, please enter a lot number in the search box below.

Note: Certificate of Analysis not available for kit components.

Product Specific Notices for Human DDR2 Antibody

For research use only

Loading...
Loading...
Loading...
Loading...
Loading...