Skip to main content

Key Product Details

Species Reactivity

Validated:

Human

Cited:

Human

Applications

Validated:

Immunohistochemistry, Western Blot, Intracellular Staining by Flow Cytometry, Immunocytochemistry, Simple Western

Cited:

Immunohistochemistry, Immunocytochemistry

Label

Unconjugated

Antibody Source

Polyclonal Sheep IgG

Product Specifications

Immunogen

E. coli-derived recombinant human Cytokeratin 19
Thr2-Leu400
Accession # P08727

Specificity

Detects human Cytokeratin 19 in direct ELISAs and Western blots. In direct ELISAs, less than 15% cross-reactivity with recombinant human Cytokeratin 14 is observed.

Clonality

Polyclonal

Host

Sheep

Isotype

IgG

Scientific Data Images for Human Cytokeratin 19 Antibody

Detection of Human Cytokeratin 19 antibody by Western Blot.

Detection of Human Cytokeratin 19 by Western Blot.

Western blot shows lysates of HT-29 human colon adenocarcinoma cell line, DU145 human prostate carcinoma cell line, HCT-116 human colorectal carcinoma cell line, and MCF-7 human breast cancer cell line. PVDF membrane was probed with 0.1 µg/mL of Sheep Anti-Human Cytokeratin 19 Antigen Affinity-purified Polyclonal Antibody (Catalog # AF3506) followed by HRP-conjugated Anti-Sheep IgG Secondary Antibody (Catalog # HAF016). A specific band was detected for Cytokeratin 19 at approximately 40 kDa (as indicated). This experiment was conducted under reducing conditions and using Immunoblot Buffer Group 1.
Cytokeratin 19 antibody in MCF-7 Human Cell Line by Immunocytochemistry (ICC).

Cytokeratin 19 in MCF‑7 Human Cell Line.

Cytokeratin 19 was detected in immersion fixed MCF-7 human breast cancer cell line using Sheep Anti-Human Cytokeratin 19 Antigen Affinity-purified Polyclonal Antibody (Catalog # AF3506) at 10 µg/mL for 3 hours at room temperature. Cells were stained using the NorthernLights™ 557-conjugated Anti-Sheep IgG Secondary Antibody (red; Catalog # NL010) and counterstained with DAPI (blue). Specific staining was localized to cytoplasm. View our protocol for Fluorescent ICC Staining of Cells on Coverslips.
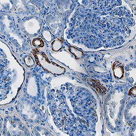
Cytokeratin 19 antibody in Human Kidney by Immunohistochemistry (IHC-P).

Cytokeratin 19 in Human Kidney.

Cytokeratin 19 was detected in immersion fixed paraffin-embedded sections of human kidney using Sheep Anti-Human Cytokeratin 19 Antigen Affinity-purified Polyclonal Antibody (Catalog # AF3506) at 3 µg/mL overnight at 4 °C. Tissue was stained using the Anti-Sheep HRP-DAB Cell & Tissue Staining Kit (brown; Catalog # CTS019) and counterstained with hematoxylin (blue). Specific staining was localized to cytoplasm in convoluted tubules. View our protocol for Chromogenic IHC Staining of Paraffin-embedded Tissue Sections.

Applications for Human Cytokeratin 19 Antibody

Application
Recommended Usage

Immunocytochemistry

5-15 µg/mL
Sample: Immersion fixed MCF‑7 human breast cancer cell line

Immunohistochemistry

3-15 µg/mL
Sample: Immersion fixed paraffin-embedded sections of human kidney

Intracellular Staining by Flow Cytometry

0.25 µg/106 cells
Sample: MCF‑7 human breast cancer cell line

Simple Western

1 µg/mL
Sample: HT‑29 human colon adenocarcinoma cell line

Western Blot

0.1 µg/mL
Sample: HT‑29 human colon adenocarcinoma cell line, DU145 human prostate carcinoma cell line, HCT‑116 human colorectal carcinoma cell line, and MCF‑7 human breast cancer cell line

Formulation, Preparation, and Storage

Purification

Antigen Affinity-purified

Reconstitution

Sterile PBS to a final concentration of 0.2 mg/mL. For liquid material, refer to CoA for concentration.

Reconstitution Buffer Available:
Size / Price
Qty
Loading...

Formulation

Lyophilized from a 0.2 μm filtered solution in PBS with Trehalose. *Small pack size (SP) is supplied either lyophilized or as a 0.2 µm filtered solution in PBS.

Shipping

Lyophilized product is shipped at ambient temperature. Liquid small pack size (-SP) is shipped with polar packs. Upon receipt, store immediately at the temperature recommended below.

Stability & Storage

Use a manual defrost freezer and avoid repeated freeze-thaw cycles.
  • 12 months from date of receipt, -20 to -70 °C as supplied.
  • 1 month, 2 to 8 °C under sterile conditions after reconstitution.
  • 6 months, -20 to -70 °C under sterile conditions after reconstitution.

Background: Cytokeratin 19

Cytokeratin 19 (Keratin, type I cytoskeletal 19; also KRT-19, CK19 and Keratin-19) is a 40-45 kDa, acidic Class I keratin member of the intermediate filament family of proteins. Individual keratins are always expressed in tandem with a second keratin, and these are found in all epithelial cells. The class I KRT-19 heterodimerizes/polymerizes with 50-52 kDa class II KRT-8 (plus KRT-5 and -7) to form 8-10 nm filaments in epidermal stem cells, secretory gland (sweat; mammary; bile duct) simple epithelium, and neuroendocrine epidermal Merkel cells. It may represent a viable marker for skin stem cells. In skin, Cytokeratin 19 forms filaments in the fetal epithelium, and then progressively decreases with age, being virtually absent by age 17. Human Cytokeratin 19 is 400 amino acids (aa) in length. It contains an N-terminal "head" region (aa 1-79) and a subsequent "rod" region (aa 80-387), but is absent a typical C-terminal tail region. Cytokeratin 19 possesses at least 5 utilized phosphorylation sites plus one acetylated Lys residue. Based on other keratins, and the presence of an Asp at position 238, there may be caspase cleavage-generated isoforms. Full length human Cytokeratin 19 (aa 2-400) shares 82% aa sequence identity with mouse Cytokeratin 19.

Alternate Names

CK19, EndoC, K19, Krt19

Entrez Gene IDs

3880 (Human); 16669 (Mouse)

Gene Symbol

KRT19

UniProt

Additional Cytokeratin 19 Products

Product Documents for Human Cytokeratin 19 Antibody

Certificate of Analysis

To download a Certificate of Analysis, please enter a lot number in the search box below.

Note: Certificate of Analysis not available for kit components.

Product Specific Notices for Human Cytokeratin 19 Antibody

For research use only

Loading...
Loading...
Loading...
Loading...
Loading...