Human Cytokeratin 18 Antibody
R&D Systems, part of Bio-Techne | Catalog # MAB7619

Conjugate
Catalog #
Key Product Details
Species Reactivity
Validated:
Human
Cited:
Human
Applications
Validated:
Immunohistochemistry, Western Blot, Immunocytochemistry, Simple Western
Cited:
Flow Cytometry, Immunocytochemistry
Label
Unconjugated
Antibody Source
Monoclonal Mouse IgG1 Clone # 810811
Product Specifications
Immunogen
E. coli-derived recombinant human Cytokeratin 18
Ala239-Asp397
Accession # P05783
Ala239-Asp397
Accession # P05783
Specificity
Detects human Cytokertin 18 in direct ELISAs and Western blots.
Clonality
Monoclonal
Host
Mouse
Isotype
IgG1
Scientific Data Images for Human Cytokeratin 18 Antibody
Detection of Human Cytokeratin 18 by Western Blot.
Western blot shows lysates of HeLa human cervical epithelial carcinoma cell line and A431 human epithelial carcinoma cell line. PVDF membrane was probed with 0.2 µg/mL of Mouse Anti-Human Cytokeratin 18 Monoclonal Antibody (Catalog # MAB7619) followed by HRP-conjugated Anti-Mouse IgG Secondary Antibody (Catalog # HAF018). A specific band was detected for Cytokeratin 18 at approximately 48 kDa (as indicated). This experiment was conducted under reducing conditions and using Immunoblot Buffer Group 1.Detection of Human Cytokeratin 18 by Western Blot.
Western blot shows lysates of A431 human epithelial carcinoma cell line (Cytokeratin 18 positive) and MOLT-4 human acute lymphoblastic leukemia cell line (Cytokeratin 18 negative). PVDF membrane was probed with 1 µg/mL of Mouse Anti-Human Cytokeratin 18 Monoclonal Antibody (Catalog # MAB7619) followed by HRP-conjugated Anti-Mouse IgG Secondary Antibody (HAF018). A specific band was detected for Cytokeratin 18 at approximately 45 kDa (as indicated). GAPDH (MAB5718) is shown as a loading control This experiment was conducted under reducing conditions and using Western Blot Buffer Group 1.Cytokeratin 18 in HeLa Human Cell Line.
Cytokeratin 18 was detected in immersion fixed HeLa human cervical epithelial carcinoma cell line using Mouse Anti-Human Cytokeratin 18 Monoclonal Antibody (Catalog # MAB7619) at 25 µg/mL for 3 hours at room temperature. Cells were stained using the NorthernLights™ 557-conjugated Anti-Mouse IgG Secondary Antibody (red; Catalog # NL007) and counterstained with DAPI (blue). Specific staining was localized to intermediate filaments in cytoplasm. View our protocol for Fluorescent ICC Staining of Cells on Coverslips.Applications for Human Cytokeratin 18 Antibody
Application
Recommended Usage
Immunocytochemistry
8-25 µg/mL
Sample: Immersion fixed HeLa human cervical epithelial carcinoma cell line
Sample: Immersion fixed HeLa human cervical epithelial carcinoma cell line
Immunohistochemistry
8-25 µg/mL
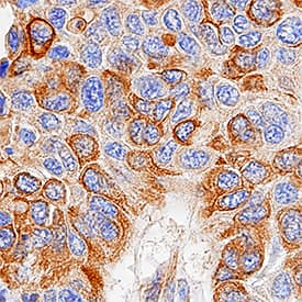
Sample: Immersion fixed paraffin-embedded human squamous cell carcinoma
Sample: Immersion fixed paraffin-embedded human squamous cell carcinoma
Simple Western
2 µg/mL
Sample: A431 human epithelial carcinoma cell line
Sample: A431 human epithelial carcinoma cell line
Western Blot
0.2-1 µg/mL
Sample: HeLa human cervical epithelial carcinoma cell line and A431 human epithelial carcinoma cell line
Sample: HeLa human cervical epithelial carcinoma cell line and A431 human epithelial carcinoma cell line
Reviewed Applications
Read 3 reviews rated 4.3 using MAB7619 in the following applications:
Formulation, Preparation, and Storage
Purification
Protein A or G purified from hybridoma culture supernatant
Reconstitution
Sterile PBS to a final concentration of 0.5 mg/mL. For liquid material, refer to CoA for concentration.
Formulation
Lyophilized from a 0.2 μm filtered solution in PBS with Trehalose. *Small pack size (SP) is supplied either lyophilized or as a 0.2 µm filtered solution in PBS.
Shipping
Lyophilized product is shipped at ambient temperature. Liquid small pack size (-SP) is shipped with polar packs. Upon receipt, store immediately at the temperature recommended below.
Stability & Storage
Use a manual defrost freezer and avoid repeated freeze-thaw cycles.
- 12 months from date of receipt, -20 to -70 °C as supplied.
- 1 month, 2 to 8 °C under sterile conditions after reconstitution.
- 6 months, -20 to -70 °C under sterile conditions after reconstitution.
Background: Cytokeratin 18
Alternate Names
CK-18, CYK18, Keratin 18, KRT18
Gene Symbol
KRT18
UniProt
Additional Cytokeratin 18 Products
Product Documents for Human Cytokeratin 18 Antibody
Product Specific Notices for Human Cytokeratin 18 Antibody
For research use only
Loading...
Loading...
Loading...
Loading...