Skip to main content

Key Product Details

Species Reactivity

Human

Applications

Immunohistochemistry, Western Blot, Intracellular Staining by Flow Cytometry, Simple Western

Label

Unconjugated

Antibody Source

Recombinant Monoclonal Rabbit IgG Clone # 2061D

Product Specifications

Immunogen

E. coli-derived recombinant human Cyclin B1
Met1-Pro91
Accession # P14635

Specificity

Detects human Cyclin B1 in direct ELISAs and Western blots.

Clonality

Monoclonal

Host

Rabbit

Isotype

IgG

Scientific Data Images for Human Cyclin B1 Antibody

Detection of Human Cyclin B1 antibody by Western Blot.

Detection of Human Cyclin B1 by Western Blot.

Western blot shows lysates of Jurkat human acute T cell leukemia cell line, K562 human chronic myelogenous leukemia cell line, and U2OS human osteosarcoma cell line. PVDF membrane was probed with 0.05 µg/mL of Rabbit Anti-Human Cyclin B1 Monoclonal Antibody (Catalog # MAB60001) followed by HRP-conjugated Anti-Rabbit IgG Secondary Antibody (Catalog # HAF008). A specific band was detected for Cyclin B1 at approximately 52 kDa (as indicated). This experiment was conducted under reducing conditions and using Immunoblot Buffer Group 1.
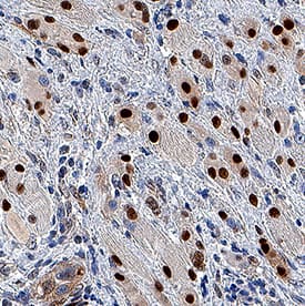
Cyclin B1 antibody in Human Squamous Cell Carcinoma by Immunohistochemistry (IHC-P).

Cyclin B1 in Human Squamous Cell Carcinoma.

Cyclin B1 was detected in immersion fixed paraffin-embedded sections of human squamous cell carcinoma using Rabbit Anti-Human Cyclin B1 Monoclonal Antibody (Catalog # MAB60001) at 3 µg/mL for 1 hour at room temperature followed by incubation with the Anti-Rabbit IgG VisUCyte™ HRP Polymer Antibody (Catalog # VC003). Tissue was stained using DAB (brown) and counterstained with hematoxylin (blue). Specific staining was localized to nuclei. View our protocol for IHC Staining with VisUCyte HRP Polymer Detection Reagents.
Detection of Cyclin B1 antibody in K562 Human Cell Line antibody by Flow Cytometry.

Detection of Cyclin B1 in K562 Human Cell Line by Flow Cytometry.

K562 human chronic myelogenous leukemia cell line was stained with Rabbit Anti-Human Cyclin B1 Monoclonal Antibody (Catalog # MAB60001, filled histogram) or isotype control antibody (Catalog # AB-105-C, open histogram), followed by Phycoerythrin-conjugated Anti-Rabbit IgG Secondary Antibody (Catalog # F0110). To facilitate intracellular staining, cells were fixed with Flow Cytometry Fixation Buffer (Catalog # FC004) and permeabilized with Flow Cytometry Permeabilization/Wash Buffer I (Catalog # FC005). View our protocol for Staining Intracellular Molecules.

Applications for Human Cyclin B1 Antibody

Application
Recommended Usage

Immunohistochemistry

3-25 µg/mL
Sample: Immersion fixed paraffin-embedded sections of human squamous cell carcinoma

Intracellular Staining by Flow Cytometry

0.25 µg/106 cells
Sample: K562 human chronic myelogenous leukemia cell line

Simple Western

0.5 µg/mL
Sample: Jurkat human acute T cell leukemia cell line

Western Blot

0.05 µg/mL
Sample: Jurkat human acute T cell leukemia cell line, K562 human chronic myelogenous leukemia cell line, and U2OS human osteosarcoma cell line

Reviewed Applications

Read 2 reviews rated 4.5 using MAB60001 in the following applications:

Formulation, Preparation, and Storage

Purification

Protein A or G purified from cell culture supernatant

Reconstitution

Reconstitute at 0.5 mg/mL in sterile PBS. For liquid material, refer to CoA for concentration.

Reconstitution Buffer Available:
Size / Price
Qty
Loading...

Formulation

Lyophilized from a 0.2 μm filtered solution in PBS with Trehalose. *Small pack size (SP) is supplied either lyophilized or as a 0.2 µm filtered solution in PBS.

Shipping

Lyophilized product is shipped at ambient temperature. Liquid small pack size (-SP) is shipped with polar packs. Upon receipt, store immediately at the temperature recommended below.

Stability & Storage

Use a manual defrost freezer and avoid repeated freeze-thaw cycles.
  • 12 months from date of receipt, -20 to -70 °C as supplied.
  • 1 month, 2 to 8 °C under sterile conditions after reconstitution.
  • 6 months, -20 to -70 °C under sterile conditions after reconstitution.

Background: Cyclin B1

Cyclin B1 (also CCNB1 and G2/mitotic-specific cyclin-B1) is a member of the cyclin AB subfamily, cyclin family of proteins. Although its predicted MW is 50 kDa, it runs anomalously at 62 kDa in SDS-PAGE. Cyclin B1 associates with both CDK1 and 2 providing substrate specificity to a phosphorylating complex. A phosphor‑CDK1:Cyclin B1 complex is inactive and cytosolic during interphase. At the beginning of mitosis, CDK1 is dephosphorylated and activated, and the CDK1:Cyclin B1 complex initiates formation of the mitotic scaffold. Human Cyclin B1 is 433 amino acids (aa) in length. It contains two cyclin box folds (aa 201‑290 and 298‑383) and two substrate binding sites (aa 298‑342 and 343‑380). Phosphorylation occurs at Ser9, Ser35, Ser69, and Thr321. There is one potential alternative start site at Met252 and deletions of aa 363‑399 and 365‑433. Over aa 1‑91, human Cyclin B1 shares 63% aa identity with mouse Cyclin B1.

Alternate Names

CCNB1

Entrez Gene IDs

891 (Human); 268697 (Mouse); 25203 (Rat)

Gene Symbol

CCNB1

UniProt

Additional Cyclin B1 Products

Product Documents for Human Cyclin B1 Antibody

Certificate of Analysis

To download a Certificate of Analysis, please enter a lot number in the search box below.

Note: Certificate of Analysis not available for kit components.

Product Specific Notices for Human Cyclin B1 Antibody

For research use only

Loading...
Loading...
Loading...
Loading...
Loading...