Human CXCL5/ENA-78 Antibody
R&D Systems, part of Bio-Techne | Catalog # AF254

Key Product Details
Validated by
Species Reactivity
Validated:
Cited:
Applications
Validated:
Cited:
Label
Antibody Source
Product Specifications
Immunogen
Ala37-Asn114
Accession # P42830
Specificity
Clonality
Host
Isotype
Endotoxin Level
Scientific Data Images for Human CXCL5/ENA-78 Antibody
Detection of Human CXCL5/ENA‑78 by Western Blot.
Western blot shows conditioned media (CM) and lysates from A549 human lung carcinoma cell line untreated (-) or treated (+) with human IL-1 beta for 24 hours. PVDF membrane was probed with 1 µg/mL of Goat Anti-Human CXCL5/ENA-78 Antigen Affinity-purified Polyclonal Antibody (Catalog # AF254) followed by HRP-conjugated Anti-Goat IgG Secondary Antibody (HAF109). A specific band was detected for CXCL5/ENA-78 at approximately 10 kDa (as indicated). This experiment was conducted under reducing conditions and using Immunoblot Buffer Group 1.CXCL5/ENA‑78 in Human Breast Cancer Tissue.
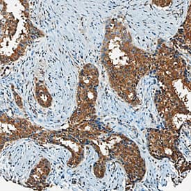
CXCL5/ENA-78 was detected in immersion fixed paraffin-embedded sections of human breast cancer tissue using Goat Anti-Human CXCL5/ENA-78 Antigen Affinity-purified Polyclonal Antibody (Catalog # AF254) at 10 µg/mL overnight at 4 °C. Tissue was stained using the Anti-Goat HRP-DAB Cell & Tissue Staining Kit (brown; (CTS008) and counterstained with hematoxylin (blue). Specific staining was localized to cytoplasm. View our protocol for Chromogenic IHC Staining of Paraffin-embedded Tissue Sections.CXCL5/ENA‑78 in Human Breast.
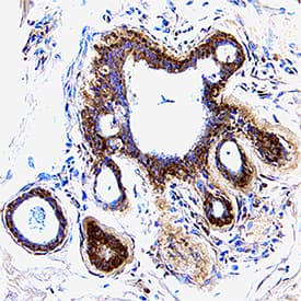
CXCL5/ENA-78 was detected in immersion fixed paraffin-embedded sections of human breast using Goat Anti-Human CXCL5/ENA-78 Antigen Affinity-purified Polyclonal Antibody (Catalog # AF254) at 5 µg/mL overnight at 4 °C. Tissue was stained using the Anti-Goat HRP-DAB Cell & Tissue Staining Kit (brown; (CTS008) and counterstained with hematoxylin (blue). Specific staining was localized to epithelial cells. View our protocol for Chromogenic IHC Staining of Paraffin-embedded Tissue Sections.Applications for Human CXCL5/ENA-78 Antibody
Immunohistochemistry
Sample: Immersion fixed paraffin-embedded sections of human breast and human breast cancer tissue
Western Blot
Sample: Conditioned media and lysates from A549 human lung carcinoma cell line treated with human IL-1 beta
Neutralization
Reviewed Applications
Read 3 reviews rated 4.7 using AF254 in the following applications:
Formulation, Preparation, and Storage
Purification
Reconstitution
Formulation
Shipping
Stability & Storage
- 12 months from date of receipt, -20 to -70 °C as supplied.
- 1 month, 2 to 8 °C under sterile conditions after reconstitution.
- 6 months, -20 to -70 °C under sterile conditions after reconstitution.
Background: CXCL5/ENA-78
CXCL5, also known as epithelial cell-derived neutrophil-activating peptide (ENA-78), is an 8 kDa proinflammatory member of the CXC subfamily of chemokines. Its Glu-Leu-Arg (ELR) motif confers angiogenic properties and distinguishes it from ELR-CXC chemokines which are angiostatic (1‑3). Human CXCL5 shares 57% amino acid (aa) sequence identity with mouse and rat CXCL5. Among other human ELR+ chemokines, it shares 77% aa sequence identity with CXCL6/GCP-2 and
35%‑51% with CXCL1/GRO alpha, CXCL2/GRO beta, CXCL3/GRO gamma, CXCL7/NAP-2, and CXCL8/IL-8. Inflammatory stimulation up-regulates CXCL5 production in multiple hematopoietic cell types, fibroblasts, endothelial cells, and vascular smooth muscle cells. In vivo, CXCL5 is elevated at sites of inflammation and pulmonary fibrosis where it promotes neutrophil infiltration and activation as well as angiogenesis (3-6). Its upregulation contributes to increased vascularization, tumor growth, and metastasis in many cancers (6-9). Full length CXCL5 (78 aa) is trimmed at the N-terminus by cathepsin G and chymotrypsin to ENA-74 (74 aa) and ENA-70 (70 aa), with the shortened forms showing increased potency relative to full length CXCL5 (10, 11). CXCL5 exerts its effects primarily through interactions with CXCR2 (6, 12). It also binds duffy antigen receptor for chemokines (DARC), which can limit CXCR2-mediated responses (13, 14).
References
- Strieter, R.M. et al. (2005) Cytokine Growth Factor Rev. 16:593.
- Balestrieri, M.L. et al. (2008) Cardiovasc. Res. 78:250.
- Walz, A.. et al. (1991) J. Exp. Med. 174:1355.
- Strieter, R.M. et al. (1992) Immunol. Invest. 21:549.
- Koch, A.E. et al. (1994) J. Clin. Invest. 94:1012.
- Begley, L.A. et al. (2008) Neoplasia 10:244.
- Vandercappellen, J. et al. (2008) Cancer Lett. 267:226.
- Arenberg, D.A. et al. (1998) J. Clin. Invest. 102:465.
- Miyazaki, H. et al. (2006) Cancer Res. 66:4279.
- Wuyts, A. et al. (1999) Eur. J. Biochem. 260:421.
- Nufer, O. et al. (1999) Biochemistry 38:636.
- Ahuja, S.K. and P.M. Murphy (1996) J. Biol. Chem. 271:20545.
- Kashiwazaki, M. et al. (2003) Int. Immunol. 15:1219.
- Horton, L.W. et al. (2007) Cancer Res. 67:9791.
Alternate Names
Entrez Gene IDs
Gene Symbol
UniProt
Additional CXCL5/ENA-78 Products
Product Documents for Human CXCL5/ENA-78 Antibody
Product Specific Notices for Human CXCL5/ENA-78 Antibody
For research use only