Skip to main content

Human ASGR2 Antibody

R&D Systems, part of Bio-Techne | Catalog # MAB9970

Recombinant Monoclonal Antibody.
R&D Systems, part of Bio-Techne

Key Product Details

Species Reactivity

Human

Applications

Immunohistochemistry, Western Blot, Flow Cytometry

Label

Unconjugated

Antibody Source

Recombinant Monoclonal Rabbit IgG Clone # 2327C

Product Specifications

Immunogen

Chinese hamster ovary cell line CHO-derived recombinant human ASGR2
Gln80-Ala311
Accession # P07307

Specificity

Detects human ASGR2 in direct ELISAs.

Clonality

Monoclonal

Host

Rabbit

Isotype

IgG

Scientific Data Images for Human ASGR2 Antibody

Detection of Human ASGR2 antibody by Western Blot.

Detection of Human ASGR2 by Western Blot.

Western blot shows lysates of human liver tissue. PVDF membrane was probed with 2 µg/mL of Rabbit Anti-Human ASGR2 Monoclonal Antibody (Catalog # MAB9970) followed by HRP-conjugated Anti-Rabbit IgG Secondary Antibody (Catalog # HAF008). A specific band was detected for ASGR2 at approximately 45 kDa (as indicated). This experiment was conducted under reducing conditions and using Immunoblot Buffer Group 1.
Detection of ASGR2 antibody in HEK293 Human Cell Line Transfected with Human ASGR2 and eGFP antibody by Flow Cytometry.

Detection of ASGR2 in HEK293 Human Cell Line Transfected with Human ASGR2 and eGFP by Flow Cytometry.

HEK293 human embryonic kidney cell line transfected with (A) human ASGR2 or (B) irrelevant transfectants and eGFP was stained with Mouse Anti-Human ASGR2 Monoclonal Antibody (Catalog # MAB9970) followed by APC-conjugated Anti-Rabbit IgG Secondary Antibody (Catalog # F0111). Quadrant markers were set based on control antibody staining (Catalog # MAB1050). View our protocol for Staining Membrane-associated Proteins.
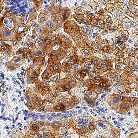
ASGR2 antibody in Human Liver by Immunohistochemistry (IHC-P).

ASGR2 in Human Liver.

ASGR2 was detected in immersion fixed paraffin-embedded sections of human liver using Rabbit Anti-Human ASGR2 Monoclonal Antibody (Catalog # MAB9970) at 1 µg/mL for 1 hour at room temperature followed by incubation with the Anti-Rabbit IgG VisUCyte™ HRP Polymer Antibody (Catalog # VC003). Tissue was stained using DAB (brown) and counterstained with hematoxylin (blue). Specific staining was localized to cytoplasm in hepatocytes. View our protocol for IHC Staining with VisUCyte HRP Polymer Detection Reagents.

Applications for Human ASGR2 Antibody

Application
Recommended Usage

Flow Cytometry

0.25 µg/106 cells
Sample: HEK293 Human Cell Line Transfected with Human ASGR2 and eGFP

Immunohistochemistry

1-25 µg/mL
Sample: Immersion fixed paraffin-embedded sections of human liver

Western Blot

2 µg/mL
Sample: Human liver tissue

Reviewed Applications

Read 1 review rated 5 using MAB9970 in the following applications:

Formulation, Preparation, and Storage

Purification

Protein A or G purified from hybridoma culture supernatant

Reconstitution

Reconstitute at 0.5 mg/mL in sterile PBS. For liquid material, refer to CoA for concentration.

Reconstitution Buffer Available:
Size / Price
Qty
Loading...

Formulation

Lyophilized from a 0.2 μm filtered solution in PBS with Trehalose. *Small pack size (SP) is supplied either lyophilized or as a 0.2 µm filtered solution in PBS.

Shipping

Lyophilized product is shipped at ambient temperature. Liquid small pack size (-SP) is shipped with polar packs. Upon receipt, store immediately at the temperature recommended below.

Stability & Storage

Use a manual defrost freezer and avoid repeated freeze-thaw cycles.
  • 12 months from date of receipt, -20 to -70 °C, as supplied.
  • 1 month, 2 to 8 °C under sterile conditions after opening.
  • 6 months, -20 to -70 °C under sterile conditions after opening.

Background: ASGR2

Asialoglycoprotein receptor 2 (ASGR2) is a subunit of the Asialoglycoprotein receptor. The asialoglycoprotein receptor is a hetero-oligomeric protein composed of major and minor subunits, which are encoded by different genes. The protein encoded by this gene is the less abundant minor subunit. The asialoglycoprotein receptor may facilitate hepatic infection by multiple viruses including hepatitis B, and is also a target for liver-specific drug delivery. Expressed on hepatocytes, the Asialoglycoprotein receptor mediates endocytosis and lysosomal degradation of glycoproteins to mediate serum glycoprotein homeostasis. The ASGR receptor binds plasma glycoproteins which have had the terminal sialic acid residue removed. An alternatively spliced variant, H2, which can be shed, has been proposed as a marker for liver fibrosis.

Long Name

Asialoglycoprotein Receptor 2

Alternate Names

ASGPR2, CLEC4H2, HBXBP

Entrez Gene IDs

433 (Human); 11890 (Mouse); 29403 (Rat)

Gene Symbol

ASGR2

UniProt

Additional ASGR2 Products

Product Documents for Human ASGR2 Antibody

Certificate of Analysis

To download a Certificate of Analysis, please enter a lot number in the search box below.

Note: Certificate of Analysis not available for kit components.

Product Specific Notices for Human ASGR2 Antibody

For research use only

Loading...
Loading...
Loading...
Loading...
Loading...