Skip to main content

Key Product Details

Species Reactivity

Human

Applications

Multiplex Immunofluorescence, Immunohistochemistry, Western Blot, Simple Western, Immunoprecipitation, COMET

Label

Unconjugated

Antibody Source

Monoclonal Mouse IgG2B Clone # 658934

Product Specifications

Immunogen

E. coli-derived recombinant human Arginase 1/ARG1
Met1-Lys322
Accession # P05089

Specificity

Detects human Arginase 1/ARG1 in direct ELISAs and Western blots.

Clonality

Monoclonal

Host

Mouse

Isotype

IgG2B

Scientific Data Images for Human Arginase 1/ARG1 Antibody

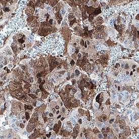
Detection of Arginase1 in Human Liver Tumor via seqIF™ staining on COMET™​

Arginase 1 was detected in immersion fixed paraffin-embedded sections of human Liver Tumor using Mouse Anti-Human Arginase 1, Monoclonal Antibody (Catalog # MAB5868) at 3ug/mL at 37° Celsius for 4 minutes. Before incubation with the primary antibody, tissue underwent an all-in-one dewaxing and antigen retrieval preprocessing using PreTreatment Module (PT Module) and Dewax and HIER Buffer H (pH 9; Epredia Catalog # TA-999-DHBH). Tissue was stained using the Alexa Fluor™ 647 Goat anti-Mouse IgG Secondary Antibody at 1:200 at 37 ° Celsius for 2 minutes. (Yellow; Lunaphore Catalog # DR647MS) and counterstained with DAPI (blue; Lunaphore Catalog # DR100). Specific staining was localized to the cytoplasm and nucleus. Protocol available in COMET™ Panel Builder.
Detection of Human Arginase 1/ARG1 antibody by Western Blot.

Detection of Human Arginase 1/ARG1 by Western Blot.

Western blot shows lysates of human liver tissue. PVDF Membrane was probed with 1 µg/mL of Human Arginase 1/ARG1 Monoclonal Antibody (Catalog # MAB5868) followed by HRP-conjugated Anti-Mouse IgG Secondary Antibody (Catalog # HAF007). A specific band was detected for Arginase 1/ARG1 at approximately 40 kDa (as indicated). This experiment was conducted under reducing conditions and using Immunoblot Buffer Group 1.
Detection of Human Arginase 1/ARG1 antibody by Simple WesternTM.

Detection of Human Arginase 1/ARG1 by Simple WesternTM.

Simple Western lane view shows lysates of human liver tissue, loaded at 0.2 mg/mL. A specific band was detected for Arginase 1/ARG1 at approximately 42 kDa (as indicated) using 20 µg/mL of Mouse Anti-Human Arginase 1/ARG1 Monoclonal Antibody (Catalog # MAB5868). This experiment was conducted under reducing conditions and using the 12-230 kDa separation system.*Non-specific interaction with the 230kDa Simple Western standard may be seen with this antibody.

Applications for Human Arginase 1/ARG1 Antibody

Application
Recommended Usage

COMET

Immunohistochemistry

1-15 µg/mL
Sample: Immersion fixed paraffin-embedded sections of human liver cancer

Immunoprecipitation

25 µg/mL
Sample: Cell lysates spiked with Recombinant Human Arginase 1/ARG1 (Catalog # 5868-AR), see our available Western blot detection antibodies

Multiplex Immunofluorescence

3 µg/mL
Sample: Immersion fixed paraffin-embedded sections of human liver tumor

Simple Western

20 µg/mL
Sample: Human liver tissue

Western Blot

1 µg/mL
Sample: Human liver tissue

Reviewed Applications

Read 2 reviews rated 4.5 using MAB5868 in the following applications:

Formulation, Preparation, and Storage

Purification

Protein A or G purified from hybridoma culture supernatant

Reconstitution

Reconstitute at 0.5 mg/mL in sterile PBS. For liquid material, refer to CoA for concentration.

Reconstitution Buffer Available:
Size / Price
Qty
Loading...

Formulation

Lyophilized from a 0.2 μm filtered solution in PBS with Trehalose. See Certificate of Analysis for details.
*Small pack size (-SP) is supplied either lyophilized or as a 0.2 µm filtered solution in PBS.

Shipping

Lyophilized product is shipped at ambient temperature. Liquid small pack size (-SP) is shipped with polar packs. Upon receipt, store immediately at the temperature recommended below.

Stability & Storage

Use a manual defrost freezer and avoid repeated freeze-thaw cycles.
  • 12 months from date of receipt, -20 to -70 °C as supplied.
  • 1 month, 2 to 8 °C under sterile conditions after reconstitution.
  • 6 months, -20 to -70 °C under sterile conditions after reconstitution.

Background: Arginase 1/ARG1

Arginase 1 (ARG1) is a 35‑40 kDa member of the arginase family of enzymes. It is expressed in multiple cell types, including erythrocytes, hepatocytes, neutrophils, smooth muscle and macrophages. ARG1 demonstrates two distinct functions: in the hepatocyte cytoplasm, it catalyzes the conversion of arginine to ornithine and urea, while in multiple cells, it degrades arginine, thus indirectly downregulating NO synthase (NOS) activity by depriving this enzyme of its substrate. Human AGR1 is 322 amino acids (aa) in length. Its enzyme region comprises aa 9‑309 and contains two Mn atoms. ARG1 is moderately active as a monomer, but highly active as a 105 kDa homotrimer. Trimerization is promoted by nitrosylation of Cys303, creating a regulatory feedback loop with NOS. There are two isoform variants, one that shows an eight aa insertion after Gln43, and another that shows a deletion of aa 204‑289. Full-length human ARG1 shares 87% aa identity with mouse and rat ARG1.

Long Name

Liver-Type Arginase

Alternate Names

AI, ARG1, Arginase-1, Liver Arginase, PGIF, Type I Arginase

Entrez Gene IDs

383 (Human); 11846 (Mouse); 29221 (Rat)

Gene Symbol

ARG1

UniProt

Additional Arginase 1/ARG1 Products

Product Documents for Human Arginase 1/ARG1 Antibody

Certificate of Analysis

To download a Certificate of Analysis, please enter a lot number in the search box below.

Note: Certificate of Analysis not available for kit components.

Product Specific Notices for Human Arginase 1/ARG1 Antibody

For research use only

Loading...
Loading...
Loading...
Loading...
Loading...