Skip to main content

Key Product Details

Species Reactivity

Human

Applications

Immunohistochemistry, Western Blot, Intracellular Staining by Flow Cytometry, CyTOF-ready

Label

Unconjugated

Antibody Source

Recombinant Monoclonal Rabbit IgG Clone # 2621B

Product Specifications

Immunogen

Synthetic Androgen R/NR3C4 peptide

Specificity

Detects Androgen R/NR3C4 in direct ELISAs.

Clonality

Monoclonal

Host

Rabbit

Isotype

IgG

Scientific Data Images for Human Androgen R/NR3C4 Antibody

Detection of Human Androgen R/NR3C4 antibody by Western Blot.

Detection of Human Androgen R/NR3C4 by Western Blot.

Western blot shows lysates of LNCaP human prostate cancer cell line. PVDF membrane was probed with 1 µg/mL of Rabbit Anti-Human Androgen R/NR3C4 Monoclonal Antibody (Catalog # MAB58763) followed by HRP-conjugated Anti-Rabbit IgG Secondary Antibody (HAF008). A specific band was detected for Androgen R/NR3C4 at approximately 110 kDa (as indicated). This experiment was conducted under reducing conditions and using Western Blot Buffer Group 1.

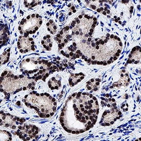
Androgen R/NR3C4 in Human Prostate Cancer.

Androgen R/NR3C4 was detected in immersion fixed paraffin-embedded sections of human prostate cancer using Rabbit Anti-Human Androgen R/NR3C4 Monoclonal Antibody (Catalog # MAB58763) at 3 µg/mL for 1 hour at room temperature followed by incubation with the Anti-Rabbit IgG VisUCyte™ HRP Polymer Antibody (VC003). Before incubation with the primary antibody, tissue was subjected to heat-induced epitope retrieval using Antigen Retrieval Reagent-Basic (CTS013). Tissue was stained using DAB (brown) and counterstained with hematoxylin (blue). Specific staining was localized to cell nuclei. Staining was performed using our protocol for IHC Staining with VisUCyte HRP Polymer Detection Reagents.
Detection of Androgen R/NR3C4 antibody in LnCAP Human Cell Line antibody by Flow Cytometry.

Detection of Androgen R/NR3C4 in LnCAP Human Cell Line by Flow Cytometry.

LnCAP human prostate carcinoma cell line was stained with Rabbit anti-Human Androgen R/NR3C4 Monoclonal Antibody (Catalog # MAB58763, filled histogram) or control antibody (MAB1050, open histogram) followed by Allophycocyanin-conjugated anti-Rabbit IgG Secondary Antibody (F0111). To facilitate intracellular staining, cells were fixed with Flow Cytometry Fixation Buffer (FC004) and permeabilized with Flow Cytometry Permeabilization/Wash Buffer I (FC005). Staining was performed using our Staining Intracellular Molecules protocol.

Applications for Human Androgen R/NR3C4 Antibody

Application
Recommended Usage

CyTOF-ready

Ready to be labeled using established conjugation methods. No BSA or other carrier proteins that could interfere with conjugation.

Immunohistochemistry

3-25 µg/mL
Sample: Immersion fixed paraffin-embedded sections of human prostate cancer

Intracellular Staining by Flow Cytometry

0.25 µg/106 cells
Sample: LnCAP human prostate carcinoma cell line

Western Blot

1 µg/mL
Sample: LNCaP human prostate cancer cell line

Formulation, Preparation, and Storage

Purification

Protein A or G purified from cell culture supernatant

Reconstitution

Reconstitute at 0.5 mg/mL in sterile PBS. For liquid material, refer to CoA for concentration.

Reconstitution Buffer Available:
Size / Price
Qty
Loading...

Formulation

Lyophilized from a 0.2 μm filtered solution in PBS with Trehalose. *Small pack size (SP) is supplied either lyophilized or as a 0.2 µm filtered solution in PBS.

Shipping

Lyophilized product is shipped at ambient temperature. Liquid small pack size (-SP) is shipped with polar packs. Upon receipt, store immediately at the temperature recommended below.

Stability & Storage

Use a manual defrost freezer and avoid repeated freeze-thaw cycles.
  • 12 months from date of receipt, -20 to -70 °C as supplied.
  • 1 month, 2 to 8 °C under sterile conditions after reconstitution.
  • 6 months, -20 to -70 °C under sterile conditions after reconstitution.

Background: Androgen R/NR3C4

The Androgen Receptor (AR) is a 90 kDa steroid hormone receptor that is critical for the development and function of the male reproductive system. AR binding to testosterone or 5 alpha-dihydrotestosterone (DHT) triggers receptor dimerization followed by translocation to the nucleus where it promotes transcription of androgen responsive genes. Multiple polymorphisms in AR are linked to the development of prostate cancer. The ligand binding domain of human AR (aa 661-920) shares 100% aa sequence identity with mouse and rat AR.

Long Name

Androgen Receptor

Alternate Names

AIS, AndrogenR, AR, DHTR, NR3C4, SBMA, SMAX1

Entrez Gene IDs

367 (Human)

Gene Symbol

AR

Additional Androgen R/NR3C4 Products

Product Documents for Human Androgen R/NR3C4 Antibody

Certificate of Analysis

To download a Certificate of Analysis, please enter a lot number in the search box below.

Note: Certificate of Analysis not available for kit components.

Product Specific Notices for Human Androgen R/NR3C4 Antibody

For research use only

Loading...
Loading...
Loading...
Loading...
Loading...