Skip to main content

Key Product Details

Species Reactivity

Validated:

Human

Cited:

Human, Primate - Chlorocebus pygerythrus (Vervet Monkey)

Applications

Validated:

Immunohistochemistry, Western Blot, Flow Cytometry, CyTOF-ready

Cited:

Western Blot, Neutralization, Flow Cytometry

Label

Unconjugated

Antibody Source

Polyclonal Goat IgG

Product Specifications

Immunogen

Mouse myeloma cell line NS0-derived recombinant human ACE/CD143
Leu30-Leu1261
Accession # P12821

Specificity

Detects ACE/CD143 in direct ELISAs and Western blots.

Clonality

Polyclonal

Host

Goat

Isotype

IgG

Scientific Data Images for Human ACE/CD143 Antibody

Detection of ACE/CD143 antibody in Human Mature Monocyte-derived Dendritic Cells antibody by Flow Cytometry.

Detection of ACE/CD143 in Human Mature Monocyte-derived Dendritic Cells by Flow Cytometry.

Human mature monocyte-derived dendritic cells were stained with Goat Anti-Human ACE/CD143 Antigen Affinity-purified Polyclonal Antibody (Catalog # AF929, filled histogram) or isotype control antibody (Catalog # AB-108-C, open histogram), followed by Allophycocyanin-conjugated Anti-Goat IgG Secondary Antibody (Catalog # F0108).
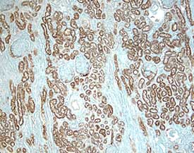
ACE/CD143 antibody in Human Kidney by Immunohistochemistry (IHC-P).

ACE/CD143 in Human Kidney.

ACE/CD143 was detected in immersion fixed paraffin-embedded sections of human kidney using 15 µg/mL Goat Anti-Human ACE/CD143 Antigen Affinity-purified Polyclonal Antibody (Catalog # AF929) overnight at 4 °C. Tissue was stained with the Anti-Goat HRP-DAB Cell & Tissue Staining Kit (brown; Catalog # CTS008) and counterstained with hematoxylin (blue). View our protocol for Chromogenic IHC Staining of Paraffin-embedded Tissue Sections.
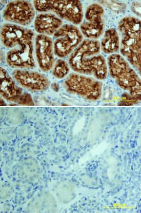
ACE/CD143 antibody in Human Kidney by Immunohistochemistry (IHC-P).

ACE/CD143 in Human Kidney.

ACE/CD143 was detected in immersion fixed paraffin-embedded sections of human kidney array using Goat Anti-Human ACE/CD143 Antigen Affinity-purified Polyclonal Antibody (Catalog # AF929) at 15 µg/mL overnight at 4 °C. Tissue was stained using the Anti-Goat HRP-DAB Cell & Tissue Staining Kit (brown; Catalog # CTS008) and counterstained with hematoxylin (blue). Lower panel shows a lack of labeling if primary antibodies are omitted and tissue is stained only with secondary antibody followed by incubation with detection reagents. View our protocol for Chromogenic IHC Staining of Paraffin-embedded Tissue Sections.

Applications for Human ACE/CD143 Antibody

Application
Recommended Usage

CyTOF-ready

Ready to be labeled using established conjugation methods. No BSA or other carrier proteins that could interfere with conjugation.

Flow Cytometry

2.5 µg/106 cells
Sample: Human mature monocyte-derived dendritic cells

Immunohistochemistry

5-15 µg/mL
Sample: Immersion fixed paraffin-embedded sections of human kidney

Western Blot

0.1 µg/mL
Sample: Recombinant Human ACE/CD143 Somatic Form (Catalog # 929-ZN)

Formulation, Preparation, and Storage

Purification

Antigen Affinity-purified

Reconstitution

Reconstitute at 0.2 mg/mL in sterile PBS. For liquid material, refer to CoA for concentration.

Reconstitution Buffer Available:
Size / Price
Qty
Loading...

Formulation

Lyophilized from a 0.2 μm filtered solution in PBS with Trehalose. *Small pack size (SP) is supplied either lyophilized or as a 0.2 µm filtered solution in PBS.

Shipping

Lyophilized product is shipped at ambient temperature. Liquid small pack size (-SP) is shipped with polar packs. Upon receipt, store immediately at the temperature recommended below.

Stability & Storage

Use a manual defrost freezer and avoid repeated freeze-thaw cycles.
  • 12 months from date of receipt, -20 to -70 °C as supplied.
  • 1 month, 2 to 8 °C under sterile conditions after reconstitution.
  • 6 months, -20 to -70 °C under sterile conditions after reconstitution.

Background: ACE/CD143

ACE (also known as peptidyl-dipetidase A) is a zinc metallopeptidase important for blood pressure control and water and salt metabolism (2). It cleaves the C-terminal dipeptide from angiotensin I to produce the potent vasopressor octapeptide angiotensin II and inactivates bradykinin by the sequential removal of two C-terminal dipeptides. In addition to the two physiological substrates, ACE cleaves C-terminal dipeptides from various oligopeptides with a free C-terminus. Because of its location and specificity, ACE plays additional roles in immunity, reproduction and neuropeptide regulation. For example, ACE degrades Alzheimer amyloid beta-peptide (A beta), retards A beta aggregation, deposition, fibril formation, and inhibits cytotoxicity (3).

ACE is a type I membrane protein and exists in two isoforms (2). Somatic ACE, found in endothelial, epithelial and neuronal cells, comprises two highly similar domains called N- and C-domains, each of which contains the HExxH consensus sequence for zinc binding. Germinal ACE, found exclusively in the testes, comprises a single catalytically active domain identical to the C-domain of somatic ACE except for an N-terminal 67 residue germinal ACE-specific sequence. Physiological functions of the two tissue-specific isozymes are not interchangeable (4). For example, sperm-specific expression of the germinal ACE, not the somatic ACE, in ACE knockout male mice restored fertility.

Soluble ACE is present in many biological fluids, such as serum, seminal fluid, amniotic fluid and cerebrospinal fluid (2). The soluble ACE is derived from the membrane forms by actions of secretases or sheddases. The identities of the secretases have not been revealed, although they belong to the family of zinc metallopeptidases (5, 6).

References

  1. Soubrier, et al. (1988) Proc. Natl. Acad. Sci. USA 85:9386.
  2. Corvol, P. and T.A. Williams (1998) in Handbook of Proteolytic Enzymes. Barrett, A.J. et al. (eds): San Diego, Academic Press, p. 1066.
  3. Hu, et al. (2001) J. Biol. Chem. 276:47863.
  4. Kessler, et al. (2000) J. Biol. Chem. 275:26259.
  5. Eyries, et al. (2001) J. Biol. Chem. 276:5525.
  6. Alfalah, et al. (2001) J. Biol. Chem. 276:21105.

Long Name

Angiotensin I Converting Enzyme

Alternate Names

CD143, DCP1, Kininase II

Entrez Gene IDs

1636 (Human); 11421 (Mouse)

Gene Symbol

ACE

UniProt

Additional ACE/CD143 Products

Product Documents for Human ACE/CD143 Antibody

Certificate of Analysis

To download a Certificate of Analysis, please enter a lot number in the search box below.

Note: Certificate of Analysis not available for kit components.

Product Specific Notices for Human ACE/CD143 Antibody

For research use only

Loading...
Loading...
Loading...
Loading...
Loading...
Loading...