Skip to main content

HSP90 beta Antibody (7G7) - BSA Free

Novus Biologicals, part of Bio-Techne | Catalog # NBP3-26216

Recombinant monoclonal antibody expressed in HEK293F cells
Novus Biologicals, part of Bio-Techne
Catalog #
Availability
Size / Price
Qty
Loading...
NBP3-26216-100ul
NBP3-26216-50ul

Key Product Details

Species Reactivity

Human

Applications

ELISA, Flow Cytometry, Immunocytochemistry/ Immunofluorescence, Immunohistochemistry, Western Blot

Label

Unconjugated

Antibody Source

Recombinant Monoclonal Rabbit IgG Clone # 7G7 expressed in HEK293

Format

BSA Free

Concentration

Please see the vial label for concentration. If unlisted please contact technical services.

Product Specifications

Immunogen

A synthesized peptide derived from Human HSP90 beta [UniProt P08238]

Clonality

Monoclonal

Host

Rabbit

Isotype

IgG

Description

Novus Biologicals Rabbit HSP90 beta Antibody (7G7) - BSA Free (NBP3-26216) is a recombinant monoclonal antibody validated for use in IHC, WB, ELISA, Flow and ICC/IF. All Novus Biologicals antibodies are covered by our 100% guarantee.

Scientific Data Images for HSP90 beta Antibody (7G7) - BSA Free

HSP90 beta Antibody (7G7)

Immunohistochemistry: HSP90 beta Antibody (7G7) [NBP3-26216] -

Immunohistochemistry: HSP90 beta Antibody (7G7) [NBP3-26216] - Image of HSP90 beta Antibody (7G7) diluted at 1:100 and staining in paraffin-embedded human testis tissue performed. After dewaxing and hydration, antigen retrieval was mediated by high pressure in a citrate buffer (pH 6.0). Section was blocked with 10% normal goat serum 30min at RT. Then primary antibody (1% BSA) was incubated at 4C overnight. The primary is detected by a Goat anti-rabbit polymer IgG labeled by HRP and visualized using 0.05% DAB.
HSP90 beta Antibody (7G7)

Immunohistochemistry: HSP90 beta Antibody (7G7) [NBP3-26216] -

Immunohistochemistry: HSP90 beta Antibody (7G7) [NBP3-26216] - Image of HSP90 beta Antibody (7G7) diluted at 1:100 and staining in paraffin-embedded human testis tissue performed. After dewaxing and hydration, antigen retrieval was mediated by high pressure in a citrate buffer (pH 6.0). Section was blocked with 10% normal goat serum 30min at RT. Then primary antibody (1% BSA) was incubated at 4C overnight. The primary is detected by a Goat anti-rabbit polymer IgG labeled by HRP and visualized using 0.05% DAB.
HSP90 beta Antibody (7G7)

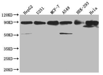
Western Blot: HSP90 beta Antibody (7G7) [NBP3-26216] -

Western Blot: HSP90 beta Antibody (7G7) [NBP3-26216] - Positive Western Blot detected in: HepG2 whole cell lysate, U251 whole cell lysate, MCF-7 whole cell lysate, A549 whole cell lysate, HEK293 whole cell lysate, Hela whole cell lysate.
All lanes: HSP90 beta Antibody at 1: 2000
Secondary: Goat polyclonal to rabbit IgG at 1/50000 dilution.
Predicted band size: 84 kDa
Observed band size: 80-90 kDa

Applications for HSP90 beta Antibody (7G7) - BSA Free

Application
Recommended Usage

Flow Cytometry

1:50-1:200

Immunocytochemistry/ Immunofluorescence

1:50-1:200

Immunohistochemistry

1:50-1:200

Western Blot

1:500-1:2000

Formulation, Preparation, and Storage

Purification

Affinity purified

Formulation

PBS, pH 7.4, 150mM NaCl, and 50% glycerol

Format

BSA Free

Preservative

0.02% Sodium Azide

Concentration

Please see the vial label for concentration. If unlisted please contact technical services.

Shipping

The product is shipped with polar packs. Upon receipt, store it immediately at the temperature recommended below.

Stability & Storage

Store at -20 to -70C. Avoid freeze-thaw cycles.

Background: HSP90 beta

The 90-kDa heat shock protein (Hsp90) is a highly conserved and abundant cytosolic homodimeric molecular chaperone (1). Hsp90 is distinguished from other chaperones in that most of its known substrates are signal transduction proteins, non activated steroid hormone receptors, several protooncogenic tyrosine, serine/threonine kinases and actin (2-3). Two isoforms which correspond to the major and minor isoform, (Hsp90-

Long Name

Heat Shock Protein 90 beta

Alternate Names

D6S182, HSP84, HSP90AB1, HSP90B, HSPC2, HSPCB

Gene Symbol

HSP90AB1

Additional HSP90 beta Products

Product Documents for HSP90 beta Antibody (7G7) - BSA Free

Certificate of Analysis

To download a Certificate of Analysis, please enter a lot number in the search box below.

Product Specific Notices for HSP90 beta Antibody (7G7) - BSA Free

This product is for research use only and is not approved for use in humans or in clinical diagnosis. Primary Antibodies are guaranteed for 1 year from date of receipt.

Loading...
Loading...
Loading...
Loading...
Loading...