Skip to main content

HSP27 Antibody

Novus Biologicals, part of Bio-Techne | Catalog # NB120-5579

Novus Biologicals, part of Bio-Techne
Catalog #
Availability
Size / Price
Qty
Loading...
NB120-5579-0.025mg
NB120-5579

Key Product Details

Species Reactivity

Validated:

Human, Rat, Primate

Cited:

Human

Predicted:

Canine (90%). Backed by our 100% Guarantee.

Applications

Validated:

Immunohistochemistry, Immunohistochemistry-Paraffin, Western Blot, Immunocytochemistry/ Immunofluorescence

Cited:

Western Blot

Label

Unconjugated

Antibody Source

Polyclonal Rabbit IgG

Concentration

Concentrations vary lot to lot. See vial label for concentration. If unlisted please contact technical services.

Product Specifications

Immunogen

Synthetic peptide corresponding to residues L(10) L R G P S W D P F R C(21) of human Heat Shock Protein 27.

Localization

Hsp27 is cytoplasmic in interphase cells, localising to the nucleus under heat shock conditions. Hsp27 localises to mitotic spindle microtubules.

Specificity

Hsp27

Clonality

Polyclonal

Host

Rabbit

Isotype

IgG

Description

Novus Biologicals Rabbit HSP27 Antibody (NB120-5579) is a polyclonal antibody validated for use in IHC, WB and ICC/IF. Anti-HSP27 Antibody: Cited in 2 publications. All Novus Biologicals antibodies are covered by our 100% guarantee.

Scientific Data Images for HSP27 Antibody

Western Blot: HSP27 Antibody [NB120-5579]

Western Blot: HSP27 Antibody [NB120-5579]

Western Blot: HSP27 Antibody [NB120-5579] - Analysis of 50ug of the indicated whole cell lysates per well.
Immunocytochemistry/ Immunofluorescence: HSP27 Antibody [NB120-5579]

Immunocytochemistry/ Immunofluorescence: HSP27 Antibody [NB120-5579]

Immunocytochemistry/Immunofluorescence: HSP27 Antibody [NB120-5579] - Analysis of Heat Shock Protein 27 in MCF-7 Cells. Cells were grown on chamber slides and fixed with formaldehyde prior to staining. Cells were probed without (control) or with a Heat Shock Protein 27 polyclonal antibody at a dilution of 1:200 overnight at 4C, washed with PBS and incubated with a DyLight-488 conjugated secondary antibody. Heat Shock Protein 27 staining (green), F-Actin staining with Phalloidin (red) and nuclei with DAPI (blue) is shown.
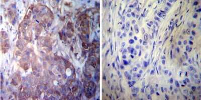
Immunohistochemistry-Paraffin: HSP27 Antibody [NB120-5579]

Immunohistochemistry-Paraffin: HSP27 Antibody [NB120-5579]

Immunohistochemistry-Paraffin: HSP27 Antibody [NB120-5579] - Both normal and cancer biopsies of deparaffinized human Breast carcinoma tissue.

Applications for HSP27 Antibody

Application
Recommended Usage

Immunocytochemistry/ Immunofluorescence

1:50

Immunohistochemistry

4 ug/ml

Immunohistochemistry-Paraffin

1:10-1:500

Western Blot

1:1000 - 1:2000
Application Notes
WB: Detects an approx. 27 kDa which corresponds to hsp27 from HeLa cells.ICC: Staining of hsp27 in HeLa cells with this antibody results in diffuse cytoplasmic staining before heat shock and diffuse cytoplasmic along with punctate staining patterns after.

Reviewed Applications

Read 1 review rated 5 using NB120-5579 in the following applications:

Formulation, Preparation, and Storage

Purification

Immunogen affinity purified

Formulation

PBS with 1 mg/ml BSA

Preservative

0.05% Sodium Azide

Concentration

Concentrations vary lot to lot. See vial label for concentration. If unlisted please contact technical services.

Shipping

The product is shipped with polar packs. Upon receipt, store it immediately at the temperature recommended below.

Stability & Storage

Store at -20C. Avoid freeze-thaw cycles.

Background: HSP27

Heat shock proteins (HSP) are expressed in response to various biological stresses, including high temperatures. There are several major families of HSPs including HSP70, HSP90 and HSP100. HSP27 also referred to as the Estrogen-Regulated 24K protein and HSP28, is one of several small heat shock proteins (HSP) produced by all organisms studied. HSP27 synthesis is induced by elevated temperature, as well as estrogen in hormone responsive cells. Interestingly, human HSP27 also shares greater than 50% homology with low molecular weight Drosophila HSP's and mammalian a-crystalline lens protein. Because of the estrogen responsive nature of HSP27, this protein has been studied extensively in human estrogen responsive tissues such as cervix, endometrium and breast tissue. This work has led to the suggestion that HSP27 may be a useful marker in classifying various hormone sensitive tumors.

Long Name

Heat Shock Protein 27

Alternate Names

HSP25, HSPB1

Entrez Gene IDs

3315 (Human); 24471 (Rat)

Gene Symbol

HSPB1

Additional HSP27 Products

Product Documents for HSP27 Antibody

Certificate of Analysis

To download a Certificate of Analysis, please enter a lot number in the search box below.

Product Specific Notices for HSP27 Antibody

This product is for research use only and is not approved for use in humans or in clinical diagnosis. Primary Antibodies are guaranteed for 1 year from date of receipt.

Loading...
Loading...
Loading...
Loading...
Loading...