Skip to main content

HSF1 Antibody (JE44-79)

Novus Biologicals, part of Bio-Techne | Catalog # NBP3-32444

Recombinant Monoclonal Antibody
Novus Biologicals, part of Bio-Techne
Catalog #
Availability
Size / Price
Qty
Loading...
NBP3-32444

Key Product Details

Species Reactivity

Human

Applications

Flow Cytometry, Immunocytochemistry/ Immunofluorescence, Immunohistochemistry, Immunohistochemistry-Paraffin, Western Blot

Label

Unconjugated

Antibody Source

Recombinant Monoclonal Rabbit IgG Clone # JE44-79 expressed in HEK293

Concentration

1 mg/ml

Product Specifications

Immunogen

Synthetic peptide within Human HSF1 aa 480-529 / 529. (Uniprot: Q00613)

Localization

Nucleus, Cytoplasm.

Clonality

Monoclonal

Host

Rabbit

Isotype

IgG

Theoretical MW

57 kDa.
Disclaimer note: The observed molecular weight of the protein may vary from the listed predicted molecular weight due to post translational modifications, post translation cleavages, relative charges, and other experimental factors.

Description

Novus Biologicals Rabbit HSF1 Antibody (JE44-79) (NBP3-32444) is a recombinant monoclonal antibody validated for use in IHC, WB, Flow and ICC/IF. All Novus Biologicals antibodies are covered by our 100% guarantee.

Scientific Data Images for HSF1 Antibody (JE44-79)

HSF1 Antibody (JE44-79)

Western Blot: HSF1 Antibody (JE44-79) [NBP3-32444]

Western Blot: HSF1 Antibody (JE44-79) [NBP3-32444] - Western blot analysis of HSF1 on different lysates with Rabbit anti-HSF1 antibody (NBP3-32444) at 1/1,000 dilution.

Lane 1: HeLa cell lysate
Lane 2: U-2 OS cell lysate
Lane 3: MCF7 cell lysate
Lane 4: HEK-293 cell lysate
Lane 5: K-562 cell lysate
Lane 6: Jurkat cell lysate
Lane 7: A549 cell lysate
Lane 8: HepG2 cell lysate
Lane 9: LoVo cell lysate

Lysates/proteins at 15 ug/Lane.

Predicted band size: 57 kDa
Observed band size: 75 kDa

Exposure time: 1 minute;

4-20% SDS-PAGE gel.

Proteins were transferred to a PVDF membrane and blocked with 5% NFDM/TBST for 1 hour at room temperature. The primary antibody (NBP3-32444) at 1/1,000 dilution was used in 5% NFDM/TBST at room temperature for 2 hours. Goat Anti-Rabbit IgG - HRP Secondary Antibody at 1:100,000 dilution was used for 1 hour at room temperature.
HSF1 Antibody (JE44-79)

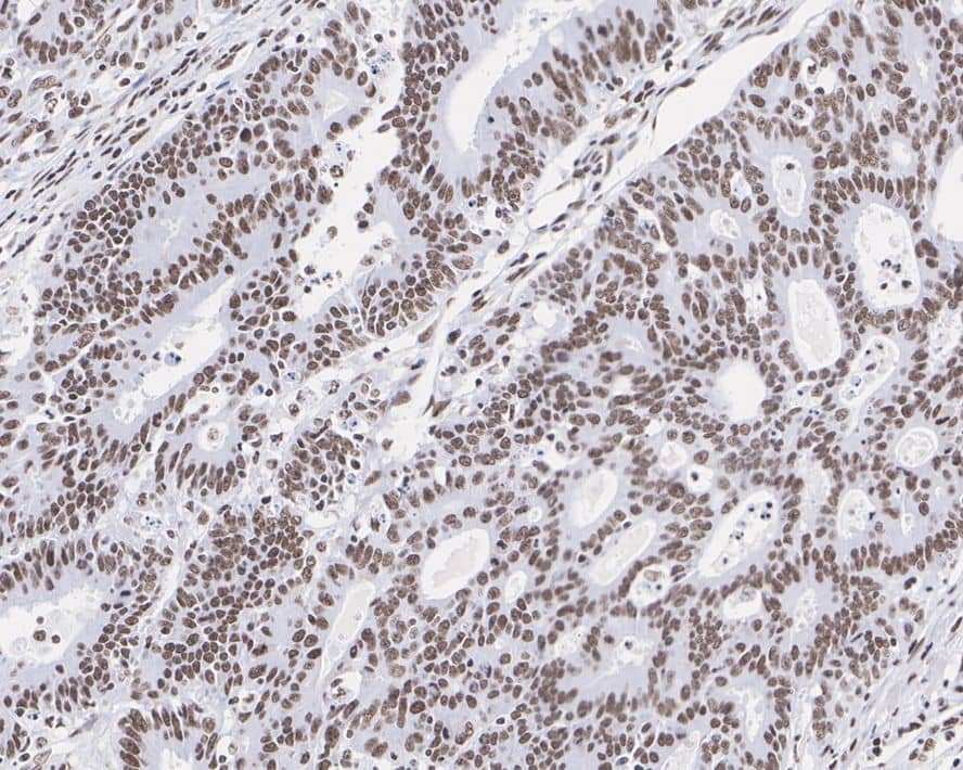
Immunohistochemistry: HSF1 Antibody (JE44-79) [NBP3-32444]

Immunohistochemistry: HSF1 Antibody (JE44-79) [NBP3-32444] - Immunohistochemical analysis of paraffin-embedded human colon carcinoma tissue with Rabbit anti-HSF1 antibody (NBP3-32444) at 1/1,000 dilution.

The section was pre-treated using heat mediated antigen retrieval with sodium citrate buffer (pH 6.0) for 2 minutes. The tissues were blocked in 1% BSA for 20 minutes at room temperature, washed with ddH2O and PBS, and then probed with the primary antibody (NBP3-32444) at 1/1,000 dilution for 1 hour at room temperature. The detection was performed using an HRP conjugated compact polymer system. DAB was used as the chromogen. Tissues were counterstained with hematoxylin and mounted with DPX.
HSF1 Antibody (JE44-79)

Immunocytochemistry/ Immunofluorescence: HSF1 Antibody (JE44-79) [NBP3-32444]

Immunocytochemistry/ Immunofluorescence: HSF1 Antibody (JE44-79) [NBP3-32444] - Immunocytochemistry analysis of HeLa cells labeling HSF1 with Rabbit anti-HSF1 antibody (NBP3-32444) at 1/100 dilution.

Cells were fixed in 4% paraformaldehyde for 10 minutes at 37 ℃, permeabilized with 0.05% Triton X-100 in PBS for 20 minutes, and then blocked with 2% negative goat serum for 30 minutes at room temperature. Cells were then incubated with Rabbit anti-HSF1 antibody (NBP3-32444) at 1/100 dilution in 2% negative goat serum overnight at 4 ℃. Goat Anti-Rabbit IgG H&L (iFluor™ 488) was used as the secondary antibody at 1/1,000 dilution. Nuclear DNA was labelled in blue with DAPI.

Beta tubulin (red) was stained at 1/200 dilution overnight at +4℃. Goat Anti-Mouse IgG H&L (iFluor™ 594) was used as the secondary antibody at 1/1,000 dilution.

Applications for HSF1 Antibody (JE44-79)

Application
Recommended Usage

Flow Cytometry

1:500-1:1000

Immunocytochemistry/ Immunofluorescence

1:100

Immunohistochemistry-Paraffin

1:1000

Western Blot

1:1000

Formulation, Preparation, and Storage

Purification

Protein A purified

Formulation

1*TBS (pH7.4), 0.05% BSA and 40% Glycerol

Preservative

0.05% Sodium Azide

Concentration

1 mg/ml

Shipping

The product is shipped with polar packs. Upon receipt, store it immediately at the temperature recommended below.

Stability & Storage

Store at 4C short term. Aliquot and store at -20C long term. Avoid freeze-thaw cycles.

Background: HSF1

Human cells respond to heat stress by inducing the binding of a pre-existing transcriptional activator (heat shock factor, HSF) to DNA (1). Induction of heat shock protein (HSP) gene expression by stress is initiated by binding of HSF1 to HSP gene promoters to increase their transcription. The cytoprotective functions of these HSPs are essential for cell survival, and thus it is critical that inducible HSP gene expression be executed rapidly and efficiently. There is an interaction between heat shock factor 1 (HSF1) and symplekin, a protein known to form a complex with the polyadenylation factors CstF and CPSF. HSF1-symplekin complexes are detected only after stress treatment, and these two proteins co-localize in punctate nuclear structures in stressed cells (2). A chaperone/Hsp functioning as repressor of heat shock transcription factor (HSF) could make activation of hsp genes dependent on protein unfolding. It has been concluded that Hsp90, by itself and/or associated with multichaperone complexes, is a major repressor of HSF1 (3).

Long Name

Heat Shock Transcription Factor 1

Alternate Names

HSTF1

Gene Symbol

HSF1

Additional HSF1 Products

Product Documents for HSF1 Antibody (JE44-79)

Certificate of Analysis

To download a Certificate of Analysis, please enter a lot number in the search box below.

Product Specific Notices for HSF1 Antibody (JE44-79)

This product is for research use only and is not approved for use in humans or in clinical diagnosis. Primary Antibodies are guaranteed for 1 year from date of receipt.

Loading...
Loading...
Loading...
Loading...
Loading...