Skip to main content

HSD3B1 Antibody (10G2) - BSA Free

Novus Biologicals, part of Bio-Techne | Catalog # NBP3-26218

Recombinant monoclonal antibody expressed in HEK293F cells
Novus Biologicals, part of Bio-Techne
Catalog #
Availability
Size / Price
Qty
Loading...
NBP3-26218-100ul
NBP3-26218-50ul

Key Product Details

Species Reactivity

Human

Applications

ELISA, Flow Cytometry, Immunocytochemistry/ Immunofluorescence, Immunohistochemistry

Label

Unconjugated

Antibody Source

Recombinant Monoclonal Rabbit IgG Clone # 10G2 expressed in HEK293

Format

BSA Free

Concentration

Please see the vial label for concentration. If unlisted please contact technical services.

Product Specifications

Immunogen

A synthesized peptide derived from Human HSD3B1 [UniProt P14060]

Clonality

Monoclonal

Host

Rabbit

Isotype

IgG

Description

Novus Biologicals Rabbit HSD3B1 Antibody (10G2) - BSA Free (NBP3-26218) is a recombinant monoclonal antibody validated for use in IHC, ELISA, Flow and ICC/IF. All Novus Biologicals antibodies are covered by our 100% guarantee.

Scientific Data Images for HSD3B1 Antibody (10G2) - BSA Free

HSD3B1 Antibody (10G2)

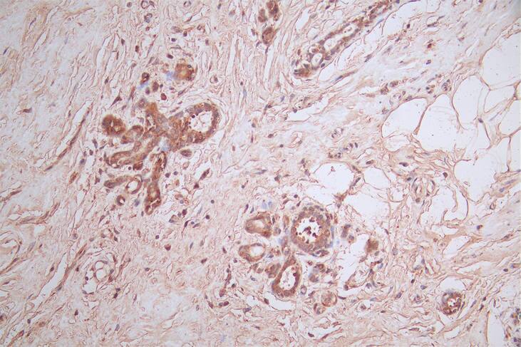
Immunohistochemistry: HSD3B1 Antibody (10G2) [NBP3-26218] -

Immunohistochemistry: HSD3B1 Antibody (10G2) [NBP3-26218] - Image of HSD3B1 Antibody (10G2) diluted at 1:100 and staining in paraffin-embedded human placenta tissue performed. After dewaxing and hydration, antigen retrieval was mediated by high pressure in a citrate buffer (pH 6.0). Section was blocked with 10% normal goat serum 30min at RT. Then primary antibody (1% BSA) was incubated at 4C overnight. The primary is detected by a Goat anti-rabbit polymer IgG labeled by HRP and visualized using 0.50% DAB.
HSD3B1 Antibody (10G2)

Immunohistochemistry: HSD3B1 Antibody (10G2) [NBP3-26218] -

Immunohistochemistry: HSD3B1 Antibody (10G2) [NBP3-26218] - Image of HSD3B1 Antibody (10G2) diluted at 1:100 and staining in paraffin-embedded human placenta tissue performed. After dewaxing and hydration, antigen retrieval was mediated by high pressure in a citrate buffer (pH 6.0). Section was blocked with 10% normal goat serum 30min at RT. Then primary antibody (1% BSA) was incubated at 4°C overnight. The primary is detected by a Goat anti-rabbit polymer IgG labeled by HRP and visualized using 0.50% DAB.
HSD3B1 Antibody (10G2)

Immunocytochemistry/Immunofluorescence: HSD3B1 Antibody (10G2) [NBP3-26218] -

Immunocytochemistry/Immunofluorescence: HSD3B1 Antibody (10G2) [NBP3-26218] - Staining of Hela with HSD3B1 Antibody (10G2) at 1:50, counter-stained with DAPI. The cells were fixed in 4% formaldehyde and blocked in 10% normal Goat Serum. The cells were then incubated with the antibody overnight at 4C. The secondary antibody was Alexa Fluor 514-conjugated Goat Anti-Rabbit IgG (H+L).

Applications for HSD3B1 Antibody (10G2) - BSA Free

Application
Recommended Usage

Flow Cytometry

1:50-1:200

Immunocytochemistry/ Immunofluorescence

1:50-1:200

Immunohistochemistry

1:50-1:200

Formulation, Preparation, and Storage

Purification

Affinity purified

Formulation

PBS, pH 7.4, 150mM NaCl, and 50% glycerol

Format

BSA Free

Preservative

0.02% Sodium Azide

Concentration

Please see the vial label for concentration. If unlisted please contact technical services.

Shipping

The product is shipped with polar packs. Upon receipt, store it immediately at the temperature recommended below.

Stability & Storage

Store at -20 to -70C. Avoid freeze-thaw cycles.

Background: HSD3B1

3beta-hydroxysteroid dehydrogenase/delta(5)-delta(4)isomerase (HSD3B1) is a bifunctional enzyme involved in the oxidative conversion of steroids and plays an important role in the synthesis of all steroid hormones. There are two HSD3B1 proteins--designated type I and type II--that are expressed by different genes and function in different areas of the body. HSD3B1 has also been shown to be a highly specific and sensitive trophoblast-associated marker.

HSD3B1 is required for the production of progesterone by the placenta, so it is predicted that mutations in this gene may cause infertility in women. HSD3B1 antibodies are useful tools for researchers studying hormone regulation and reproductive biology.

Alternate Names

3 beta-hydroxysteroid dehydrogenase/Delta 5-->4-isomerase type 1, 3 beta-hydroxysteroid dehydrogenase/Delta 5-->4-isomerase type I, 3BETAHSD, 3-beta-HSD I, 3-beta-hydroxy-Delta(5)-steroid dehydrogenase, 3BH, delta-5-3-ketosteroid isomerase, EC 1.1.1, HSD3B, HSDB3, HSDB3A, hydroxy-delta-5-steroid dehydrogenase, 3 beta- and steroid delta-isomerase 1, hydroxy-delta-5-steroid dehydrogenase, 3 beta-and steroid delta-isomerase 1, I, progesterone reductase, SDR11E1, short chain dehydrogenase/reductase family 11E, member 1,3-beta-hydroxy-5-ene steroid dehydrogenase, steroid Delta-isomerase, Trophoblast antigen FDO161G

Gene Symbol

HSD3B1

Additional HSD3B1 Products

Product Documents for HSD3B1 Antibody (10G2) - BSA Free

Certificate of Analysis

To download a Certificate of Analysis, please enter a lot number in the search box below.

Product Specific Notices for HSD3B1 Antibody (10G2) - BSA Free

This product is for research use only and is not approved for use in humans or in clinical diagnosis. Primary Antibodies are guaranteed for 1 year from date of receipt.

Loading...
Loading...
Loading...
Loading...
Loading...