Skip to main content

HSD17B7 Antibody - Azide and BSA Free

Novus Biologicals, part of Bio-Techne | Catalog # NBP3-15527

Novus Biologicals, part of Bio-Techne
Catalog #
Availability
Size / Price
Qty
Loading...
NBP3-15527-100ul
NBP3-15527-20ul

Key Product Details

Species Reactivity

Human, Mouse

Applications

Immunohistochemistry, Immunohistochemistry-Paraffin, Western Blot

Label

Unconjugated

Antibody Source

Polyclonal Rabbit IgG

Format

Azide and BSA Free

Concentration

Please see the vial label for concentration. If unlisted please contact technical services.

Product Specifications

Immunogen

Recombinant fusion protein containing a sequence corresponding to amino acids 110-200 of human HSD17B7 (NP_057455.1). SRKVIHMFSTAEGLLTQGDKITADGLQEVFETNVFGHFILIRELEPLLCHSDNPSQLIWTSSRSARKSNFSLEDFQHSKGKEPYSSSKYAT

Clonality

Polyclonal

Host

Rabbit

Isotype

IgG

Description

Novus Biologicals Rabbit HSD17B7 Antibody - Azide and BSA Free (NBP3-15527) is a polyclonal antibody validated for use in IHC and WB. All Novus Biologicals antibodies are covered by our 100% guarantee.

Scientific Data Images for HSD17B7 Antibody - Azide and BSA Free

Western Blot: HSD17B7 AntibodyAzide and BSA Free [NBP3-15527]

Western Blot: HSD17B7 AntibodyAzide and BSA Free [NBP3-15527]

Western Blot: HSD17B7 Antibody [NBP3-15527] - Western blot analysis of extracts of various cell lines, using HSD17B7 Rabbit pAb (NBP3-15527) at 1:1000 dilution. Secondary antibody: HRP Goat Anti-Rabbit IgG (H+L) at 1:10000 dilution. Lysates/proteins: 25ug per lane. Blocking buffer: 3% nonfat dry milk in TBST. Detection: ECL Basic Kit. Exposure time: 5min.
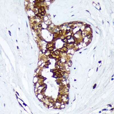
Immunohistochemistry-Paraffin: HSD17B7 Antibody - Azide and BSA Free [NBP3-15527]

Immunohistochemistry-Paraffin: HSD17B7 Antibody - Azide and BSA Free [NBP3-15527]

Immunohistochemistry-Paraffin: HSD17B7 Antibody [NBP3-15527] - Immunohistochemistry of paraffin-embedded Human breast cancer using HSD17B7 Rabbit pAb (NBP3-15527) at dilution of 1:100 (40x lens).Perform microwave antigen retrieval with 10 mM Tris/EDTA buffer pH 9.0 before commencing with IHC staining protocol.

Applications for HSD17B7 Antibody - Azide and BSA Free

Application
Recommended Usage

Immunohistochemistry

1:50 - 1:200

Western Blot

1:500 - 1:2000

Formulation, Preparation, and Storage

Purification

Affinity purified

Formulation

PBS (pH 7.3), 50% glycerol

Format

Azide and BSA Free

Preservative

0.01% Thimerosal

Concentration

Please see the vial label for concentration. If unlisted please contact technical services.

Shipping

The product is shipped with polar packs. Upon receipt, store it immediately at the temperature recommended below.

Stability & Storage

Store at -20C. Avoid freeze-thaw cycles.

Background: HSD17B7

The 17-beta-hydroxysteroid dehydrogenase enzyme (EC 1.1.1.62) oxidizes or reduces estrogens and androgens in mammals and regulates the biologic potency of these steroids.[supplied by OMIM]

Alternate Names

17 beta-hydroxysteroid dehydrogenase type VII, 17-beta-hydroxysteroid dehydrogenase 7, 3-keto-steroid reductase, EC 1.1.1.270, EC 1.1.1.62, Estradiol 17-beta-dehydrogenase 7, hydroxysteroid (17-beta) dehydrogenase 7,17beta hydroxysteroid dehydrogenase, MGC12523, MGC75018,17-beta-HSD 7, PRAP, SDR37C1, short chain dehydrogenase/reductase family 37C, member 1

Gene Symbol

HSD17B7

Additional HSD17B7 Products

Product Documents for HSD17B7 Antibody - Azide and BSA Free

Certificate of Analysis

To download a Certificate of Analysis, please enter a lot number in the search box below.

Product Specific Notices for HSD17B7 Antibody - Azide and BSA Free

This product is for research use only and is not approved for use in humans or in clinical diagnosis. Primary Antibodies are guaranteed for 1 year from date of receipt.

Loading...
Loading...
Loading...
Loading...

⚠ WARNING: This product can expose you to chemicals including Methotrexate, which is known to the State of California to cause reproductive toxicity with developmental effects. For more information, go to www.P65Warnings.ca.gov