Skip to main content

HO-2/HMOX2 Antibody (OTI1C2) - Azide and BSA Free

Novus Biologicals, part of Bio-Techne | Catalog # NBP2-70895

Novus Biologicals, part of Bio-Techne

Key Product Details

Species Reactivity

Human, Mouse, Rat

Applications

Immunohistochemistry, Immunohistochemistry-Paraffin, Western Blot, Flow Cytometry, CyTOF-ready

Label

Unconjugated

Antibody Source

Monoclonal Mouse IgG1 Clone # OTI1C2

Format

Azide and BSA Free

Concentration

LYOPH mg/ml

Product Specifications

Immunogen

Full length human recombinant protein of human HMOX2(NP_002125) produced in HEK293T cell.

Reactivity Notes

Please note that this antibody is reactive to Mouse and derived from the same host, Mouse. Mouse-On-Mouse blocking reagent may be needed for IHC and ICC experiments to reduce high background signal. You can find these reagents under catalog numbers PK-2200-NB and MP-2400-NB. Please contact Technical Support if you have any questions.

Clonality

Monoclonal

Host

Mouse

Isotype

IgG1

Theoretical MW

35.9 kDa.
Disclaimer note: The observed molecular weight of the protein may vary from the listed predicted molecular weight due to post translational modifications, post translation cleavages, relative charges, and other experimental factors.

Description

Novus Biologicals Mouse HO-2/HMOX2 Antibody (OTI1C2) - Azide and BSA Free (NBP2-01407) is a monoclonal antibody validated for use in IHC, WB and Flow. All Novus Biologicals antibodies are covered by our 100% guarantee.

Scientific Data Images for HO-2/HMOX2 Antibody (OTI1C2) - Azide and BSA Free

Western Blot: HO-2/HMOX2 Antibody (OTI1C2)Azide and BSA Free [NBP2-70895]

Western Blot: HO-2/HMOX2 Antibody (OTI1C2)Azide and BSA Free [NBP2-70895]

Western Blot: HO-2/HMOX2 Antibody (OTI1C2) - Azide and BSA Free [NBP2-70895] - HEK293T cells were transfected with the pCMV6-ENTRY control (Left lane) or pCMV6-ENTRY Heme oxygenase 2 (Right lane) cDNA for 48 hrs and lysed. Equivalent amounts of cell lysates (5 ug per lane) were separated by SDS-PAGE and immunoblotted with anti-Heme
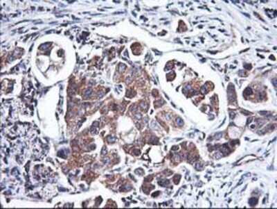
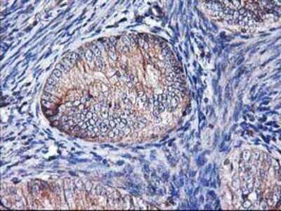
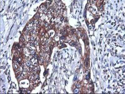
Immunohistochemistry: HO-2/HMOX2 Antibody (OTI1C2) - Azide and BSA Free [NBP2-70895]

Immunohistochemistry: HO-2/HMOX2 Antibody (OTI1C2) - Azide and BSA Free [NBP2-70895]

Immunohistochemistry: HO-2/HMOX2 Antibody (OTI1C2) - Azide and BSA Free [NBP2-70895] - Staining of paraffin-embedded Human pancreas tissue using anti-Heme oxygenase 2 mouse monoclonal antibody.
Flow Cytometry: HO-2/HMOX2 Antibody (OTI1C2) - Azide and BSA Free [NBP2-70895]

Flow Cytometry: HO-2/HMOX2 Antibody (OTI1C2) - Azide and BSA Free [NBP2-70895]

Flow Cytometry: HO-2/HMOX2 Antibody (OTI1C2) - Azide and BSA Free [NBP2-70895] - HEK293T cells transfected with either overexpression plasmid (Red) or empty vector control plasmid (Blue) were immunostaining by anti-Heme oxygenase 2 antibody, and then analyzed by flow cytometry.

Applications for HO-2/HMOX2 Antibody (OTI1C2) - Azide and BSA Free

Application
Recommended Usage

Flow Cytometry

1:100

Immunohistochemistry

1:150

Western Blot

1:500

Formulation, Preparation, and Storage

Purification

Immunogen affinity purified

Reconstitution

we recommend adding 100uL distilled water to a final antibody concentration of about 1 mg/mL. To use this carrier-free antibody for conjugation experiment, we strongly recommend performing another round of desalting process.

Formulation

Lyophilized from PBS (pH 7.3) with 8% Trehalose

Format

Azide and BSA Free

Preservative

No Preservative

Concentration

LYOPH mg/ml

Shipping

The product is shipped with polar packs. Upon receipt, store it immediately at the temperature recommended below.

Stability & Storage

Store at -20C. Avoid freeze-thaw cycles.

Background: HO-2/HMOX2

Heme oxygenase, an essential enzyme in heme catabolism, cleaves heme to form biliverdin, which is subsequently converted to bilirubin by biliverdin reductase, and carbon monoxide, a putative neurotransmitter. Heme oxygenase activity is induced by its substrate heme and by various nonheme substances. Heme oxygenase occurs as 2 isozymes, an inducible heme oxygenase-1 and a constitutive heme oxygenase-2. HMOX1 and HMOX2 belong to the heme oxygenase family. Alternative splice variants encoding the same protein have been identified at this locus.

Long Name

Heme Oxygenase 2

Alternate Names

HMOX2, HO2

Gene Symbol

HMOX2

Additional HO-2/HMOX2 Products

Product Documents for HO-2/HMOX2 Antibody (OTI1C2) - Azide and BSA Free

Certificate of Analysis

To download a Certificate of Analysis, please enter a lot number in the search box below.

Product Specific Notices for HO-2/HMOX2 Antibody (OTI1C2) - Azide and BSA Free

This product is for research use only and is not approved for use in humans or in clinical diagnosis. Primary Antibodies are guaranteed for 1 year from date of receipt.

Loading...
Loading...
Loading...
Loading...
Loading...
Loading...