Skip to main content

hnRNP K Antibody

Novus Biologicals, part of Bio-Techne | Catalog # NBP1-30975

Novus Biologicals, part of Bio-Techne
Catalog #
Availability
Size / Price
Qty
Loading...
NBP1-30975

Key Product Details

Species Reactivity

Validated:

Human, Mouse, Rat

Predicted:

Bovine (99%), Canine (98%), Porcine (99%), Rabbit (99%), Rhesus Macaque (100%). Backed by our 100% Guarantee.

Applications

Immunohistochemistry, Immunohistochemistry-Paraffin, Western Blot, Immunocytochemistry/ Immunofluorescence

Label

Unconjugated

Antibody Source

Polyclonal Rabbit IgG

Concentration

Concentrations vary lot to lot. See vial label for concentration. If unlisted please contact technical services.

Product Specifications

Immunogen

Recombinant protein encompassing a sequence within the center region of human hnRNP K. The exact sequence is proprietary.

Reactivity Notes

Xenopus laevis (81%).

Localization

Cytoplasm, Nucleus, nucleoplasm

Clonality

Polyclonal

Host

Rabbit

Isotype

IgG

Theoretical MW

51 kDa.
Disclaimer note: The observed molecular weight of the protein may vary from the listed predicted molecular weight due to post translational modifications, post translation cleavages, relative charges, and other experimental factors.

Description

Novus Biologicals Rabbit hnRNP K Antibody (NBP1-30975) is a polyclonal antibody validated for use in IHC, WB and ICC/IF. All Novus Biologicals antibodies are covered by our 100% guarantee.

Scientific Data Images for hnRNP K Antibody

Western Blot: hnRNP K Antibody [NBP1-30975]

Western Blot: hnRNP K Antibody [NBP1-30975]

Western Blot: hnRNP K Antibody [NBP1-30975] - Various whole cell extracts (30 ug) were separated by 10% SDS-PAGE, and the membrane was blotted with hnRNP K antibody diluted at 1:1000. The HRP-conjugated anti-rabbit IgG antibody (NBP2-19301) was used to detect the primary antibody.
Immunocytochemistry/ Immunofluorescence: hnRNP K Antibody [NBP1-30975]

Immunocytochemistry/ Immunofluorescence: hnRNP K Antibody [NBP1-30975]

Immunocytochemistry/Immunofluorescence: hnRNP K Antibody [NBP1-30975] - HeLa cells were fixed in 4% paraformaldehyde at RT for 15 min. Green: hnRNP K stained by hnRNP K antibody diluted at 1:500. Red: phalloidin, a cytoskeleton marker, diluted at 1:100.
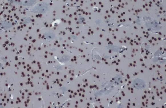
Immunohistochemistry-Paraffin: hnRNP K Antibody [NBP1-30975]

Immunohistochemistry-Paraffin: hnRNP K Antibody [NBP1-30975]

Immunohistochemistry-Paraffin: hnRNP K Antibody [NBP1-30975] - Paraffin-embedded H1299 xenograft, using antibody at 1:100 dilution.

Applications for hnRNP K Antibody

Application
Recommended Usage

Immunocytochemistry/ Immunofluorescence

1:100-1:1000

Immunohistochemistry

1:100-1:1000

Immunohistochemistry-Paraffin

1:100-1:1000

Western Blot

1:500-1:3000

Reviewed Applications

Read 1 review rated 5 using NBP1-30975 in the following applications:

Formulation, Preparation, and Storage

Purification

Antigen Affinity-purified

Formulation

PBS, 1% BSA, 20% Glycerol

Preservative

0.025% Proclin 300

Concentration

Concentrations vary lot to lot. See vial label for concentration. If unlisted please contact technical services.

Shipping

The product is shipped with polar packs. Upon receipt, store it immediately at the temperature recommended below.

Stability & Storage

Store at 4C short term. Aliquot and store at -20C long term. Avoid freeze-thaw cycles.

Background: hnRNP K

The hnRNP-K family of acidic nuclear proteins has been identified using a monoclonal antibody that distinguishes between quiescent and proliferating human keratinocytes. The family, which is composed of four major proteins (hnRNPs-K A, B, C and D) and their modified forms, is present in similar overall levels in quiescent and proliferating normal keratinocytes although clear differences were observed in the levels of some of the individual variants (1). hnRNP-K is an ancient RNA/DNA-binding protein that is involved in multiple processes that compose gene expression. The pleiotropic action of K protein reflects its ability to interact with different classes of factors, interactions that are regulated by extracellular signals (2). hnRNP-K has several different cellular roles including transcription, mRNA shuttling, RNA editing and translation. Several reports implicate hnRNP K having a role in tumorigenesis, for instance hnRNP K increases transcription of the oncogene c-myc and hnRNP K expression is regulated by the p53/MDM 2 pathway (3).

Alternate Names

dC-stretch binding protein, FLJ41122, heterogeneous nuclear ribonucleoprotein K, hnRNP K, transformation upregulated nuclear protein, Transformation up-regulated nuclear protein, TUNPHNRPKCSBP

Gene Symbol

HNRNPK

Additional hnRNP K Products

Product Documents for hnRNP K Antibody

Certificate of Analysis

To download a Certificate of Analysis, please enter a lot number in the search box below.

Product Specific Notices for hnRNP K Antibody

This product is for research use only and is not approved for use in humans or in clinical diagnosis. Primary Antibodies are guaranteed for 1 year from date of receipt.

Loading...
Loading...
Loading...
Loading...