Skip to main content

HNF-3 alpha/FoxA1 Antibody (3B3NB) - BSA Free

Novus Biologicals, part of Bio-Techne | Catalog # NBP2-45354

Novus Biologicals, part of Bio-Techne
Catalog #
Availability
Size / Price
Qty
Loading...
NBP2-45354SS
NBP2-45354

Key Product Details

Species Reactivity

Validated:

Human

Predicted:

Mouse (95%). Backed by our 100% Guarantee.

Applications

Immunohistochemistry, Immunohistochemistry-Paraffin, Western Blot, Flow Cytometry, Immunocytochemistry/ Immunofluorescence

Label

Unconjugated

Antibody Source

Monoclonal Mouse IgG2b Kappa Clone # 3B3NB

Format

BSA Free

Concentration

1.0 mg/ml

Product Specifications

Immunogen

Partial recombinant human FOXA1 protein (between amino acids 350-473) [UniProt# P55317].

Reactivity Notes

Immunogen displays the following percentage of sequence identity for non-tested species: Rat (78%) and Xenopus (73%).

Clonality

Monoclonal

Host

Mouse

Isotype

IgG2b Kappa

Description

Novus Biologicals Mouse HNF-3 alpha/FoxA1 Antibody (3B3NB) - BSA Free (NBP2-45354) is a monoclonal antibody validated for use in IHC, WB, Flow and ICC/IF. Anti-HNF-3 alpha/FoxA1 Antibody: Cited in 2 publications. All Novus Biologicals antibodies are covered by our 100% guarantee.

Scientific Data Images for HNF-3 alpha/FoxA1 Antibody (3B3NB) - BSA Free

Western Blot: HNF-3 alpha/FoxA1 Antibody (3B3NB)BSA Free [NBP2-45354]

Western Blot: HNF-3 alpha/FoxA1 Antibody (3B3NB)BSA Free [NBP2-45354]

Western Blot: HNF-3 alpha/FoxA1 Antibody (3B3NB) [NBP2-45354] - Analysis of FOXA1 (3B3NB) in partial recombinant FOXA1 protein and PC3 lysate, respectivetly.
Immunocytochemistry/ Immunofluorescence: HNF-3 alpha/FoxA1 Antibody (3B3NB) - BSA Free [NBP2-45354]

Immunocytochemistry/ Immunofluorescence: HNF-3 alpha/FoxA1 Antibody (3B3NB) - BSA Free [NBP2-45354]

Immunocytochemistry/Immunofluorescence: HNF-3 alpha/FoxA1 Antibody (3B3NB) [NBP2-45354] - FOXA1 (3B3NB) antibody was tested in HepG2 cells at a 1:25 dilution against DyLight 488 (Green) using a 40X objective. Actin and nuclei were counterstained against Phalloidin 568 (Red) and DAPI (Blue), respective
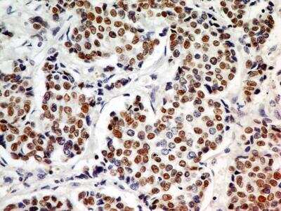
Immunohistochemistry-Paraffin: HNF-3 alpha/FoxA1 Antibody (3B3NB) - BSA Free [NBP2-45354]

Immunohistochemistry-Paraffin: HNF-3 alpha/FoxA1 Antibody (3B3NB) - BSA Free [NBP2-45354]

Immunohistochemistry-Paraffin: HNF-3 alpha/FoxA1 Antibody (3B3NB) [NBP2-45354] - Analysis of FoxA1 in human prostate.

Applications for HNF-3 alpha/FoxA1 Antibody (3B3NB) - BSA Free

Application
Recommended Usage

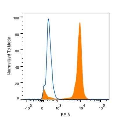
Flow Cytometry

25 ug/ml

Immunocytochemistry/ Immunofluorescence

1:25 - 1:50

Immunohistochemistry

5 ug/ml

Immunohistochemistry-Paraffin

5 ug/ml

Western Blot

2-4 ug/ml

Formulation, Preparation, and Storage

Purification

Protein G purified

Formulation

PBS

Format

BSA Free

Preservative

0.02% Sodium Azide

Concentration

1.0 mg/ml

Shipping

The product is shipped with polar packs. Upon receipt, store it immediately at the temperature recommended below.

Stability & Storage

Store at 4C short term. Aliquot and store at -20C long term. Avoid freeze-thaw cycles.

Background: HNF-3 alpha/FoxA1

FoxA1 (forkhead box A1), also called HNF-3a (hepatocyte nuclear factor 3 alpha) or TCF3A (transcription factor 3A) is a 473 amino acid (aa), 49 kDa (predicted) protein of the forkhead nuclear transcription factor family. It regulates transcription downstream of the estrogen receptor and other steroid hormone receptors. FoxA1 is expressed in breast luminal cells and correlates with proliferation in breast cancer cell lines. Within the sequence used as an immunogen, human FoxA1 shares 93% and 86% aa identity with mouse and rat FoxA1, respectively.

Long Name

Hepatocyte Nuclear Factor-3 alpha/Forkhead Box Protein A1

Alternate Names

FoxA1, HNF3 alpha, TCF3A

Gene Symbol

FOXA1

UniProt

Additional HNF-3 alpha/FoxA1 Products

Product Documents for HNF-3 alpha/FoxA1 Antibody (3B3NB) - BSA Free

Certificate of Analysis

To download a Certificate of Analysis, please enter a lot number in the search box below.

Product Specific Notices for HNF-3 alpha/FoxA1 Antibody (3B3NB) - BSA Free

This product is for research use only and is not approved for use in humans or in clinical diagnosis. Primary Antibodies are guaranteed for 1 year from date of receipt.

Loading...
Loading...
Loading...
Loading...
Loading...