Skip to main content

HMGN1/HMG14 [p Ser20, p Ser24] Antibody - BSA Free

Novus Biologicals, part of Bio-Techne | Catalog # NBP1-78102

Novus Biologicals, part of Bio-Techne
Catalog #
Availability
Size / Price
Qty
Loading...
NBP1-78102

Key Product Details

Validated by

Biological Validation

Species Reactivity

Validated:

Human, Sheep

Cited:

Ovine

Applications

Validated:

Immunohistochemistry, Immunohistochemistry-Paraffin, Western Blot, ELISA

Cited:

Immunohistochemistry-Paraffin

Label

Unconjugated

Antibody Source

Polyclonal Rabbit IgG

Format

BSA Free

Concentration

Please see the vial label for concentration. If unlisted please contact technical services.

Product Specifications

Immunogen

This affinity purified HMGN1/HMG14 [p Ser20, p Ser24] Antibody was prepared from whole rabbit serum produced by repeated immunizations with a synthetic peptide corresponding to amino acids 19-28 of human HMGN1/HMG141/HMG14 protein (see below). (Uniprot: P05114)

Reactivity Notes

A BLAST analysis was used to suggest cross reactivity with HMGN1/HMG14 proteins from Xenopus, chicken, mouse, bovine, dog, orangutan, rat and swine based on 100% homology with the immunizing sequence.
Reactive in human. Sheep reactivity reported in scientific literature (PMID: 26156854)

Modification

p Ser20, p Ser24

Specificity

This affinity-purified antibody is directed against phosphorylated human HMGN protein at pS20 and pS24 residues (other HMGN proteins have this conserved sequence but at other residue positions). The resultant affinity purified antibody was then cross-adsorbed against the non-phosphorylated form of the immunizing peptide. Reactivity occurs against human HMGN pS20/pS24 proteins and the antibody is specific for the phosphorylated form of the proteins. Reactivity is seen against HMGN1 and HMGN2. HMGN3 is also likely reactive although not tested. Reactivity with non-phosphorylated human HMGNs is minimal by ELISA. A BLAST analysis was used to suggest cross reactivity with HMGN proteins from Xenopus, chicken, mouse, bovine, dog, orangutan, rat and swine based on 100% homology with the immunizing sequence. Reactivity against homologues from other sources is not known.

Clonality

Polyclonal

Host

Rabbit

Isotype

IgG

Description

This affinity-purified antibody is directed against phosphorylated human HMGN protein at [p Ser20] and[p Ser24 residues (other HMGN proteins have this conserved sequence but at other residue positions). The product was affinity purified from monospecific antiserum by immunoaffinity purification. Antiserum was first purified against the phosphorylated form of the immunizing peptide. The resultant affinity purified antibody was then cross-adsorbed against the non-phosphoryl-ated form of the immunizing peptide

Store vial at -20C prior to opening. Aliquot contents and freeze at -20C or below for extended storage. Avoid cycles of freezing and thawing. Centrifuge product if not completely clear after standing at room temperature. This product is stable for several weeks at 4C as an undiluted liquid. Dilute only prior to immediate use.

Scientific Data Images for HMGN1/HMG14 [p Ser20, p Ser24] Antibody - BSA Free

Western Blot: HMGN1/HMG14 [p Ser20, p Ser24] Antibody [NBP1-78102]

Western Blot: HMGN1/HMG14 [p Ser20, p Ser24] Antibody [NBP1-78102]

Western Blot: HMGN1/HMG14 [p Ser20, p Ser24] Antibody [NBP1-78102] - HMGN1, non-phosphorylated, 2 - HMGN1, phosphorylated, 3 - HMGN1 delta20E, delta24E, non-phosphorylated, 4 - HMGN1, delta20E, delta24E, phosphorylated, 5 - HMGN2, non-phosphorylated, and 6 - HMGN2, phosphorylated. Molecular weight markers (not shown) confirm the size of each recombinant protein. The primary antibody was diluted 1:1,000 for this experiment. The blot was processed using a 5 sec exposure time.
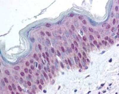
Immunohistochemistry: HMGN1/HMG14 [p Ser20, p Ser24] Antibody [NBP1-78102]

Immunohistochemistry: HMGN1/HMG14 [p Ser20, p Ser24] Antibody [NBP1-78102]

Immunohistochemistry: HMGN1/HMG14 [p Ser20, p Ser24] Antibody [NBP1-78102] - Used at 20 ug/ml to detect signal in a variety of tissues including multi-human, multi-brain and multi-cancer slides. This image shows moderate nuclear and faint cytoplasmic positive staining of epidermal keratinocytes at 40X. Tissue was formalin-fixed and paraffin embedded. The image shows localization of the antibody as the precipitated red signal, with a hematoxylin purple nuclear counterstain.
HMGN1/HMG14 [p Ser20, p Ser24] Antibody

HMGN1/HMG14 [p Ser20, p Ser24] Antibody

affinity purified anti-HMGN pS20/pS24 antibody was used at 20 ug/ml to detect signal in a variety of tissues including multi-human, multi-brain and multi-cancer slides. This image shows moderate nuclear and faint cytoplasmic positive staining of epidermal keratinocytes at 40X. Tissue was formalin-fixed and paraffin embedded. The image shows localization of the antibody as the precipitated red signal, with a hematoxylin purple nuclear counterstain. Personal Communication, Tina Roush, LifeSpanBiosciences, Seattle, WA.

Applications for HMGN1/HMG14 [p Ser20, p Ser24] Antibody - BSA Free

Application
Recommended Usage

ELISA

1:5000-1:25000

Immunohistochemistry

20 ug/ml

Immunohistochemistry-Paraffin

20 ug/ml

Western Blot

1:500-1:2000
Application Notes
This product has been tested for use in ELISA, immunohistochemistry, and western blot. Specific conditions for reactivity should be optimized by the end user. Expect a band approximately 17 kDa in size corresponding to phosphorylated HMGN proteins by western blotting in the appropriate cell lysate or extract. Less than 0.5% reactivity is observed against the non-phosphorylated form of the immunizing peptide. This antibody is phospho specific for pS20 and pS24 of HMGN proteins. The antibody was tested against HMGN1 by performing a standard phosphorylation in vitro assay using HMGN1 as a substrate and Msk1 as a kinase (known as a main effector kinase of MAPK signaling pathway and in vivo kinase for HMGN1). This kinase specifically phosphorylates S20 and S24 of HMGN1 (S24 and S28 of HMGN2). The reaction was resolved on SDS PAGE and immunoblot, using antibody diluted at 1:1,000 and 1:5,000. The antibody shows strong positive signal for Msk-phosphorylated HMGN1 and no cross-reaction for non-treated HMGN1.

Formulation, Preparation, and Storage

Purification

Immunogen affinity purified

Formulation

0.02 M Potassium Phosphate, 0.15 M Sodium Chloride, pH 7.2

Format

BSA Free

Preservative

0.01% Sodium Azide

Concentration

Please see the vial label for concentration. If unlisted please contact technical services.

Shipping

The product is shipped with polar packs. Upon receipt, store it immediately at the temperature recommended below.

Stability & Storage

Store at -20C short term. Aliquot and store at -80C long term. Avoid freeze-thaw cycles.

Background: HMGN1

HMGNs are proteins that bind chromatin effectively reducing the compaction of the chromatin fiber and enhancing access to DNA regulatory sequences. Members of this family have a conserved chromatin binding domain which is phosphorylated during mitosis. The sequence immunized is conserved in several species.? As such, this reagent is designed as a "universal" reagent for the detection of all phosphorylated HMGN proteins. The High Mobility Group (HMG) proteins were originally isolated from mammalian cells and were named according to their electrophoretic mobility in polyacrylamide gels. HMGs were arbitrarily classed as a specific type of nonhistone proteins based on the observation that they are ubiquitous to mammalian cells, that they share certain physical properties, and that they are associated with isolated chromatin. HMG proteins and are now subdivided into 3 families: the HMGB (formerly HMG-1/-2) family, the HMGN (formerly HMG-14/-17) family, and the HMGA (formerly HMG-I/Y/C) family.? Each HMG family has a characteristic functional sequence motif. The functional motif of the HMGB family is called the "HMG-box;" that of the HMGN family, the "nucleosomal binding domain;" and that of the HMGA family, the "AT-hook." The functional motifs characteristic of these canonical HMGs are widespread among nuclear proteins in a variety of organisms. Proteins containing any of these functional motifs embedded in their sequence are known as "HMG motif proteins."

Long Name

High Mobility Group Nucleosome Binding Domain 1

Alternate Names

HMG14

Gene Symbol

HMGN1

UniProt

Additional HMGN1 Products

Product Documents for HMGN1/HMG14 [p Ser20, p Ser24] Antibody - BSA Free

Certificate of Analysis

To download a Certificate of Analysis, please enter a lot number in the search box below.

Product Specific Notices for HMGN1/HMG14 [p Ser20, p Ser24] Antibody - BSA Free

This product is for research use only and is not approved for use in humans or in clinical diagnosis. Primary Antibodies are guaranteed for 1 year from date of receipt.

Loading...
Loading...
Loading...
Loading...