Skip to main content

Histone H3 Antibody - BSA Free

Novus Biologicals, part of Bio-Techne | Catalog # NB500-171

Novus Biologicals, part of Bio-Techne

Key Product Details

Validated by

Biological Validation

Species Reactivity

Validated:

Human, Mouse, Rat, Insect, Xenopus, Yeast

Cited:

Human, Mouse, Rat, Frog - Xenopus (African Clawed Frog)

Predicted:

C. elegans (100%), Chicken (100%), Drosophila (100%), Plant (100%). Backed by our 100% Guarantee.

Applications

Validated:

Immunohistochemistry, Immunohistochemistry-Paraffin, Western Blot, Immunoblotting, Immunocytochemistry/ Immunofluorescence, Chromatin Immunoprecipitation (ChIP), Single Cell Western

Cited:

Western Blot, Immunocytochemistry/ Immunofluorescence, Chemotaxis, IF/IHC, Knockdown Validated

Label

Unconjugated

Antibody Source

Polyclonal Rabbit IgG

Format

BSA Free

Concentration

1.0 mg/ml

Product Specifications

Immunogen

This Histone H3 antibody was raised against a synthetic peptide made to an C-terminal portion of the human Histone H3 protein (between residues 100-136) [UniProt P68431]

Reactivity Notes

Predicted to react with many species based on 100% sequence homology including C. elegans, chicken, drosophila, and plant. Xenopus reactivity reported in scientific literature (PMID: 24048589). Insect (Aedes aegypti) reactivity reported from a verified customer review.

Localization

Nuclear

Clonality

Polyclonal

Host

Rabbit

Isotype

IgG

Theoretical MW

15 kDa.
Disclaimer note: The observed molecular weight of the protein may vary from the listed predicted molecular weight due to post translational modifications, post translation cleavages, relative charges, and other experimental factors.

Description

Novus Biologicals Rabbit Histone H3 Antibody - BSA Free (NB500-171) is a polyclonal antibody validated for use in IHC, WB, ICC/IF and ChIP. Anti-Histone H3 Antibody: Cited in 34 publications. All Novus Biologicals antibodies are covered by our 100% guarantee.

Scientific Data Images for Histone H3 Antibody - BSA Free

Western Blot: Histone H3 AntibodyBSA Free [NB500-171]

Western Blot: Histone H3 AntibodyBSA Free [NB500-171]

Western Blot: Histone H3 Antibody [NB500-171] - Analysis of HeLa, COS, C6, and K562 cell lysate using histone H3 antibody [NB500-171] antibody at 1:100. Observed molecular weight is ~17 kDa.
Chromatin Immunoprecipitation: Histone H3 Antibody [NB500-171] - Chromatin from one million formaldehyde cross-linked HeLa cells was precipitated using 2 ug of NB500-171 and 25 uL of magnetic IgG beads, using standard ChIP methods. A similar sample containing no antibody (No Ab) was included as a negative control. Immunoprecipitated DNA was quantified using quantitative real-time PCR and SYBR green dye, then normalized to the non-precipitated input chromatin. Representative target genes from active, inactive, and heterochromatic regions of the genome show amplification, indicative of the presence of Histone H3.
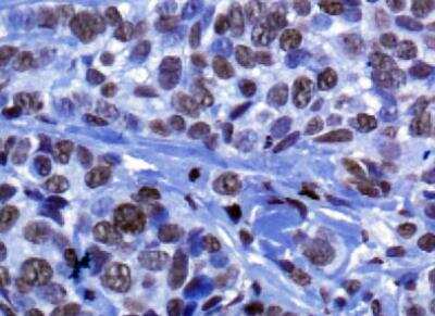
Immunohistochemistry-Paraffin: Histone H3 Antibody - BSA Free [NB500-171]

Immunohistochemistry-Paraffin: Histone H3 Antibody - BSA Free [NB500-171]

Immunohistochemistry-Paraffin: Histone H3 Antibody [NB500-171] - Immunoperoxidase staining of Anti-Histone H3 in FFPE mouse testis.

Applications for Histone H3 Antibody - BSA Free

Application
Recommended Usage

Immunoblotting

reported in scientific literature (PMID 24048589)

Immunocytochemistry/ Immunofluorescence

reported in scientific literature (PMID 24048589)

Immunohistochemistry

1:100-1:300

Immunohistochemistry-Paraffin

1:100-1:300

Western Blot

1:1000-1:4000
Application Notes
In Western Blot, a band is seen ~15 kDa. In IHC-P, nuclear staining was observed in human, mouse, and rat tissues. Prior to immunostaining paraffin tissues, antigen retrieval with sodium citrate buffer (pH 6.0) is recommended.

Reviewed Applications

Read 9 reviews rated 4.9 using NB500-171 in the following applications:

Formulation, Preparation, and Storage

Purification

Immunogen affinity purified

Formulation

PBS

Format

BSA Free

Preservative

0.01% Sodium Azide

Concentration

1.0 mg/ml

Shipping

The product is shipped with polar packs. Upon receipt, store it immediately at the temperature recommended below.

Stability & Storage

Aliquot and store at -20C or -80C. Avoid freeze-thaw cycles.

Background: Histone H3

Chromatin is an arrangement of DNA and proteins which form chromosomes. Chromatin is formed from nucleosomes, which are comprised of a set of four histone proteins (H2A, H2B, H3, H4) wrapped with DNA. Chromatin is very dynamic, where post-translational modifications can regulate DNA to be copied, transcribed, or repaired.

Histones are nuclear proteins responsible for the nucleosome structure of the chromosomal fiber in eukaryotes. Changes in chromatin structure play a large role in the regulation of transcription. The chromatin fibers are compacted through the interaction of a linker histone, H1, with the DNA between the nucleosomes to form higher order chromatin structures.

Common histone modifications include methylation of lysine and arginine, acetylation of lysine, phosphorylation of threonine and serine, and sumoylation, biotinylation, and ubiquitylation of lysine. Posttranslational modifications such as acetylation of core histones regulates gene expression, thus altering protein function and regulation (1). Histone H3 is primarily acetylated at lysines 9, 14, 18, and 23 and have a theoretical molecular weight of 15 kDa. Acetylation at lysine 9 and 14 appears to control histone deposition, chromatin assembly and active transcription. Methylation of arginine residues within histone H3 has also been linked to transcription regulation. Histone H3 has been linked to various types of cancer as a biomarker through the aberrant expression of histone deacetylase (HDAC) enzymes and changes to chromatins (2-4).

References

1. Zhang, Y. X., Akumuo, R. C., Espana, R. A., Yan, C. X., Gao, W. J., & Li, Y. C. (2018). The histone demethylase KDM6B in the medial prefrontal cortex epigenetically regulates cocaine reward memory. Neuropharmacology, 141, 113-125. doi:10.1016/j.neuropharm.2018.08.030

2. Nandakumar, V., Hansen, N., Glenn, H. L., Han, J. H., Helland, S., Hernandez, K, ...Meldrum, D. R. (2016). Vorinostat differentially alters 3D nuclear structure of cancer and non-cancerous esophageal cells. Sci Rep, 6, 30593. doi:10.1038/srep30593

3. Zhou, M., Li, Y., Lin, S., Chen, Y., Qian, Y., Zhao, Z., & Fan, H. (2019). H3K9me3, H3K36me3, and H4K20me3 Expression Correlates with Patient Outcome in Esophageal Squamous Cell Carcinoma as Epigenetic Markers. Dig Dis Sci, 64(8), 2147-2157. doi:10.1007/s10620-019-05529-2

4. Li, Y., Guo, D., Sun, R., Chen, P., Qian, Q., & Fan, H. (2019). Methylation Patterns of Lys9 and Lys27 on Histone H3 Correlate with Patient Outcome in Gastric Cancer. Dig Dis Sci, 64(2), 439-446. doi:10.1007/s10620-018-5341-8

Alternate Names

H3F3A

Entrez Gene IDs

8968 (Human)

Gene Symbol

H3C14

UniProt

Additional Histone H3 Products

Product Documents for Histone H3 Antibody - BSA Free

Certificate of Analysis

To download a Certificate of Analysis, please enter a lot number in the search box below.

Product Specific Notices for Histone H3 Antibody - BSA Free

This product is for research use only and is not approved for use in humans or in clinical diagnosis. Primary Antibodies are guaranteed for 1 year from date of receipt.

Loading...
Loading...
Loading...
Loading...