Skip to main content

Histone Deacetylase 4/HDAC4 Antibody (5E4A5) - BSA Free

Novus Biologicals, part of Bio-Techne | Catalog # NBP2-52480

Novus Biologicals, part of Bio-Techne
Catalog #
Availability
Size / Price
Qty
Loading...
NBP2-52480-0.025mg
NBP2-52480

Key Product Details

Species Reactivity

Human

Applications

Immunohistochemistry, Immunohistochemistry-Paraffin, Western Blot, ELISA, Flow Cytometry, CyTOF-ready

Label

Unconjugated

Antibody Source

Monoclonal Mouse IgG1 Clone # 5E4A5

Format

BSA Free

Concentration

1 mg/ml

Product Specifications

Immunogen

Purified recombinant fragment of human Histone Deacetylase 4/HDAC4 (AA: 456-592) expressed in E. Coli.

Clonality

Monoclonal

Host

Mouse

Isotype

IgG1

Theoretical MW

119 kDa.
Disclaimer note: The observed molecular weight of the protein may vary from the listed predicted molecular weight due to post translational modifications, post translation cleavages, relative charges, and other experimental factors.

Description

Novus Biologicals Mouse Histone Deacetylase 4/HDAC4 Antibody (5E4A5) - BSA Free (NBP2-52480) is a monoclonal antibody validated for use in IHC, WB, ELISA and Flow. All Novus Biologicals antibodies are covered by our 100% guarantee.

Scientific Data Images for Histone Deacetylase 4/HDAC4 Antibody (5E4A5) - BSA Free

Western Blot: Histone Deacetylase 4/HDAC4 Antibody (5E4A5)BSA Free [NBP2-52480]

Western Blot: Histone Deacetylase 4/HDAC4 Antibody (5E4A5)BSA Free [NBP2-52480]

Western Blot: Histone Deacetylase 4/HDAC4 Antibody (5E4A5) [NBP2-52480] - Western blot analysis using HDAC4 mAb against human HDAC4 (AA: 456-592) recombinant protein. (Expected MW is 42 kDa)
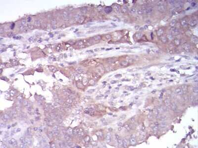
Immunohistochemistry: Histone Deacetylase 4/HDAC4 Antibody (5E4A5) - BSA Free [NBP2-52480]

Immunohistochemistry: Histone Deacetylase 4/HDAC4 Antibody (5E4A5) - BSA Free [NBP2-52480]

Immunohistochemistry: Histone Deacetylase 4/HDAC4 Antibody (5E4A5) [NBP2-52480] - Analysis of paraffin-embedded endometrial cancer tissues using HDAC4 mouse mAb with DAB staining.
Flow Cytometry: Histone Deacetylase 4/HDAC4 Antibody (5E4A5) - BSA Free [NBP2-52480]

Flow Cytometry: Histone Deacetylase 4/HDAC4 Antibody (5E4A5) - BSA Free [NBP2-52480]

Flow Cytometry: Histone Deacetylase 4/HDAC4 Antibody (5E4A5) [NBP2-52480] - Analysis of HeLa cells using HDAC4 mouse mAb (green) and negative control (red).

Applications for Histone Deacetylase 4/HDAC4 Antibody (5E4A5) - BSA Free

Application
Recommended Usage

ELISA

1:10000

Flow Cytometry

1:200-1:400

Immunohistochemistry

1:200-1:1000

Immunohistochemistry-Paraffin

1:200-1:000

Western Blot

1:500-1:2000
Application Notes
This antibody is Cytof ready.

Formulation, Preparation, and Storage

Purification

Protein G purified

Formulation

PBS

Format

BSA Free

Preservative

0.05% Sodium Azide

Concentration

1 mg/ml

Shipping

The product is shipped with polar packs. Upon receipt, store it immediately at the temperature recommended below.

Stability & Storage

Store at 4C short term. Aliquot and store at -20C long term. Avoid freeze-thaw cycles.

Background: Histone Deacetylase 4/HDAC4

Chromatin is a highly specialized structure composed of tightly compacted chromosomal DNA. Gene expression within the nucleus is controlled, in part, by a host of protein complexes which continuously pack and unpack the chromosomal DNA. One of the known mechanisms of this packing and unpacking process involves the acetylation and deacetylation of the histone proteins comprising the nucleosomal core. Acetylated histone proteins confer accessibility of the DNA template to the transcriptional machinery for expression. Histone deacetylases (HDACs) are chromatin remodeling factors that deacetylate histone proteins and thus, may act as transcriptional repressors. HDACs are classified by their sequence homology to the yeast HDACs and there are currently 2 classes. Class I proteins are related to Rpd3 and members of class II resemble Hda1p.

Long Name

Histone Deacetylase 4

Alternate Names

HDAC4

Gene Symbol

HDAC4

Additional Histone Deacetylase 4/HDAC4 Products

Product Documents for Histone Deacetylase 4/HDAC4 Antibody (5E4A5) - BSA Free

Certificate of Analysis

To download a Certificate of Analysis, please enter a lot number in the search box below.

Product Specific Notices for Histone Deacetylase 4/HDAC4 Antibody (5E4A5) - BSA Free

This product is for research use only and is not approved for use in humans or in clinical diagnosis. Primary Antibodies are guaranteed for 1 year from date of receipt.

Loading...
Loading...
Loading...
Loading...
Loading...