HIGD2A Antibody - BSA Free
Novus Biologicals, part of Bio-Techne | Catalog # NBP2-14092
Key Product Details
Species Reactivity
Human
Applications
Immunohistochemistry, Immunohistochemistry-Paraffin, Western Blot, Immunocytochemistry/ Immunofluorescence
Label
Unconjugated
Antibody Source
Polyclonal Rabbit IgG
Format
BSA Free
Concentration
Concentrations vary lot to lot. See vial label for concentration. If unlisted please contact technical services.
Product Specifications
Immunogen
This antibody was developed against Recombinant Protein corresponding to amino acids: PFEPSKPPVIEGLSPTVYRNPESFKEKFVRKTREN
Reactivity Notes
Immunogen displays the following percentage of sequence identity for non-tested species: Mouse (86%), Rat (83%)
Clonality
Polyclonal
Host
Rabbit
Isotype
IgG
Description
Novus Biologicals Rabbit HIGD2A Antibody - BSA Free (NBP2-14092) is a polyclonal antibody validated for use in IHC, WB and ICC/IF. All Novus Biologicals antibodies are covered by our 100% guarantee.
Scientific Data Images for HIGD2A Antibody - BSA Free
Western Blot: HIGD2A Antibody [NBP2-14092]
Western Blot: HIGD2A Antibody [NBP2-14092] - Analysis in human cell line HEK 293.Immunocytochemistry/ Immunofluorescence: HIGD2A Antibody [NBP2-14092]
Immunocytochemistry/Immunofluorescence: HIGD2A Antibody [NBP2-14092] - Immunofluorescent staining of human cell line MCF7 shows localization to cytosol & mitochondria.Immunohistochemistry-Paraffin: HIGD2A Antibody [NBP2-14092]
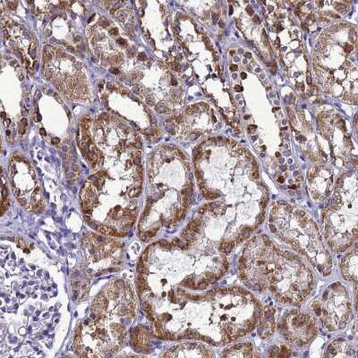
Immunohistochemistry-Paraffin: HIGD2A Antibody [NBP2-14092] - Staining of human kidney shows strong granular cytoplasmic positivity in cells in tubules.Applications for HIGD2A Antibody - BSA Free
Application
Recommended Usage
Immunocytochemistry/ Immunofluorescence
0.25-2 ug/ml
Immunohistochemistry
1:20 - 1:50
Immunohistochemistry-Paraffin
1:20 - 1:50
Western Blot
0.04-0.4 ug/ml
Application Notes
For IHC-Paraffin, HIER pH 6 retrieval is recommended. Immunocytochemistry/Immunofluorescence Fixation Permeabilization: Use PFA/Triton X-100.
Formulation, Preparation, and Storage
Purification
Immunogen affinity purified
Formulation
PBS (pH 7.2) and 40% Glycerol
Format
BSA Free
Preservative
0.02% Sodium Azide
Concentration
Concentrations vary lot to lot. See vial label for concentration. If unlisted please contact technical services.
Shipping
The product is shipped with polar packs. Upon receipt, store it immediately at the temperature recommended below.
Stability & Storage
Store at 4C short term. Aliquot and store at -20C long term. Avoid freeze-thaw cycles.
Background: HIGD2A
Alternate Names
HIG1 domain family member 2A, HIG1 domain family, member 2A, HIG1 hypoxia inducible domain family, member 2A, MGC2198
Gene Symbol
HIGD2A
Additional HIGD2A Products
Product Documents for HIGD2A Antibody - BSA Free
Product Specific Notices for HIGD2A Antibody - BSA Free
This product is for research use only and is not approved for use in humans or in clinical diagnosis. Primary Antibodies are guaranteed for 1 year from date of receipt.
Loading...
Loading...
Loading...
Loading...