Skip to main content

HIF-1 alpha Antibody (HA111) - Azide and BSA Free

Novus Biologicals, part of Bio-Techne | Catalog # NBP2-80763

Novus Biologicals, part of Bio-Techne

Key Product Details

Species Reactivity

Human, Mouse, Rabbit

Applications

Immunohistochemistry, Immunohistochemistry-Paraffin, Western Blot, Immunoprecipitation

Label

Unconjugated

Antibody Source

Monoclonal Mouse IgG2 Alpha Clone # HA111

Format

Azide and BSA Free

Concentration

1 mg/ml

Product Specifications

Immunogen

This HIF-1 alpha Antibody (HA111) was developed against Human HIF-1 alpha, corresponding to amino acids 329 - 530 [Uniprot# Q16665].

Reactivity Notes

Mouse reactivity reported in literature (PMID: 16738327). Rabbit reactivity reported in scientific literature (PMID: 16738327).

Localization

Cytoplasmic in normoxia, nuclear translocation in response to hypoxia.

Clonality

Monoclonal

Host

Mouse

Isotype

IgG2 Alpha

Theoretical MW

93 kDa.
Disclaimer note: The observed molecular weight of the protein may vary from the listed predicted molecular weight due to post translational modifications, post translation cleavages, relative charges, and other experimental factors.

Description

Novus Biologicals Mouse HIF-1 alpha Antibody (HA111) - Azide and BSA Free (NB100-296) is a monoclonal antibody validated for use in IHC, WB and IP. All Novus Biologicals antibodies are covered by our 100% guarantee.

Scientific Data Images for HIF-1 alpha Antibody (HA111) - Azide and BSA Free

Western Blot: HIF-1 alpha Antibody (HA111)Azide and BSA Free [NBP2-80763]

Western Blot: HIF-1 alpha Antibody (HA111)Azide and BSA Free [NBP2-80763]

Western Blot: HIF-1 alpha Antibody (HA111) - Azide and BSA Free [NBP2-80763] - Detection of HIF-1 alpha (125-130 kDa) from human placental villous explant total protein. Image from the standard format of this antibody.
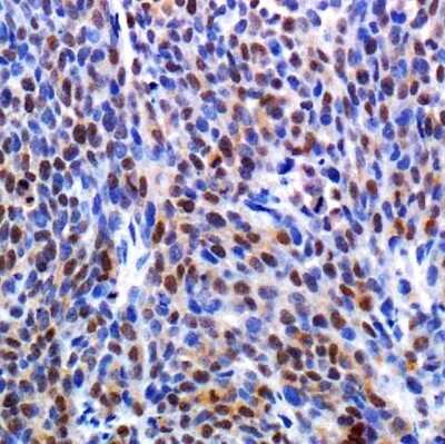
Immunohistochemistry: HIF-1 alpha Antibody (HA111) - Azide and BSA Free [NBP2-80763]

Immunohistochemistry: HIF-1 alpha Antibody (HA111) - Azide and BSA Free [NBP2-80763]

Immunohistochemistry: HIF-1 alpha Antibody (HA111) - Azide and BSA Free [NBP2-80763] - HIF-1 antibody was tested in human ovarian cancer tumor xenograft using DAB with hematoxylin counterstain. Image from the standard format of this antibody.

Applications for HIF-1 alpha Antibody (HA111) - Azide and BSA Free

Application
Recommended Usage

Immunohistochemistry

1:100

Immunohistochemistry-Paraffin

1:100

Immunoprecipitation

1:10 - 1:500. Use reported in scientific literature (PMID 18222538)

Western Blot

0.5 - 1.0 mg/ml
Application Notes
In IHC-P, staining was observed in the nucleus of human ovarian cancer tumor. Prior to immunostaining paraffin tissues, antigen retrieval with sodium citrate buffer (pH 6.0) is recommended. Nuclear extracts should be used for Western blot analysis.

Formulation, Preparation, and Storage

Purification

Protein G purified

Formulation

PBS

Format

Azide and BSA Free

Preservative

No Preservative

Concentration

1 mg/ml

Shipping

The product is shipped with polar packs. Upon receipt, store it immediately at the temperature recommended below.

Stability & Storage

Store at 4C short term. Aliquot and store at -20C long term. Avoid freeze-thaw cycles.

Background: HIF-1 alpha/HIF1A

Hypoxia contributes to the pathophysiology of human disease, including myocardial and cerebral ischemia, cancer, pulmonary hypertension, congenital heart disease and chronic obstructive pulmonary disease (1). In cancer and particularly solid tumors, hypoxia plays a critical role in the regulation of genes involved in stem cell renewal, epithelial to mesenchymal transition (EMT), metastasis and angiogenesis. In the tumor microenvironment (TME), hypoxia influences the properties and function of stromal cells (e.g., fibroblasts, endothelial and immune cells) and is a strong determinant of tumor progression (2,3).

HIF-1 or hypoxia inducible factor 1 (predicted molecular weight 93kDa), is a transcription factor commonly referred to as a "master regulator of the hypoxic response" for its central role in the regulation of cellular adaptations to hypoxia. In its active form under hypoxic conditions, HIF-1 is stabilized by the formation of a heterodimer of HIF-1 alpha and ARNT/HIF-1 beta subunits. Nuclear HIF-1 engages p300/CBP for binding to hypoxic response elements (HREs). This process induces transcription and regulation of genes including EPO, VEGF, iNOS2, ANGPT1 and OCT4 (4,5).

Under normoxic conditions, the HIF-1 alpha subunit is rapidly targeted and degraded by the ubiquitin proteasome system. This process is mediated by prolyl hydroxylase domain enzymes (PHDs), which catalyze the hydroxylation of key proline residues (Pro-402 and Pro-564) within the oxygen-dependent degradation domain of HIF-1 alpha. Once hydroxylated, HIF-1 alpha binds the von Hippel-Lindau tumor suppressor protein (pVHL) for subsequent ubiquitination and proteasomal degradation (4). pVHL dependent regulation of HIF-1 alpha plays a role in normal physiology and disease states. Regulation of HIF-1 alpha by pVHL is critical for the suppressive function of FoxP3+ regulatory Tcells (6). Repression of pVHL expression in chronic lymphocytic leukemia (CLL) B cells leads to HIF-1 alpha stabilization and increased VEGF secretion (7).

References

1. Semenza, G. L., Agani, F., Feldser, D., Iyer, N., Kotch, L., Laughner, E., & Yu, A. (2000). Hypoxia, HIF-1, and the pathophysiology of common human diseases. Advances in Experimental Medicine and Biology.

2. Muz, B., de la Puente, P., Azab, F., & Azab, A. K. (2015). The role of hypoxia in cancer progression, angiogenesis, metastasis, and resistance to therapy. Hypoxia. https://doi.org/10.2147/hp.s93413

3. Huang, Y., Lin, D., & Taniguchi, C. M. (2017). Hypoxia inducible factor (HIF) in the tumor microenvironment: friend or foe? Science China Life Sciences. https://doi.org/10.1007/s11427-017-9178-y

4. Koyasu, S., Kobayashi, M., Goto, Y., Hiraoka, M., & Harada, H. (2018). Regulatory mechanisms of hypoxia-inducible factor 1 activity: Two decades of knowledge. Cancer Science. https://doi.org/10.1111/cas.13483

5. Dengler, V. L., Galbraith, M. D., & Espinosa, J. M. (2014). Transcriptional regulation by hypoxia inducible factors. Critical Reviews in Biochemistry and Molecular Biology. https://doi.org/10.3109/10409238.2013.838205

6. Lee, J. H., Elly, C., Park, Y., & Liu, Y. C. (2015). E3Ubiquitin Ligase VHL Regulates Hypoxia-Inducible Factor-1 alpha to Maintain Regulatory T Cell Stability and Suppressive Capacity. Immunity. https://doi.org/10.1016/j.immuni.2015.05.016

7. Ghosh, A. K., Shanafelt, T. D., Cimmino, A., Taccioli, C., Volinia, S., Liu, C. G., ... Kay, N. E. (2009). Aberrant regulation of pVHL levels by microRNA promotes the HIF/VEGF axis in CLL B cells. Blood. https://doi.org/10.1182/blood-2008-10-185686

Long Name

Hypoxia Inducible Factor 1 Subunit Alpha

Alternate Names

BHLHE78, HIF 1A, HIF-1a, HIF1 alpha, HIF1A, MOP1, PASD8

Gene Symbol

HIF1A

Additional HIF-1 alpha/HIF1A Products

Product Documents for HIF-1 alpha Antibody (HA111) - Azide and BSA Free

Certificate of Analysis

To download a Certificate of Analysis, please enter a lot number in the search box below.

Product Specific Notices for HIF-1 alpha Antibody (HA111) - Azide and BSA Free

This product is for research use only and is not approved for use in humans or in clinical diagnosis. Primary Antibodies are guaranteed for 1 year from date of receipt.

Loading...
Loading...
Loading...
Loading...
Loading...