Skip to main content

hHpr1-p84-Thoc1 Antibody

Novus Biologicals, part of Bio-Techne | Catalog # NBP1-47304

Novus Biologicals, part of Bio-Techne
Catalog #
Availability
Size / Price
Qty
Loading...
NBP1-47304

Key Product Details

Validated by

Independent Antibodies, Biological Validation

Species Reactivity

Human

Applications

Immunohistochemistry, Immunohistochemistry-Paraffin, Immunoprecipitation, Western Blot

Label

Unconjugated

Antibody Source

Polyclonal Rabbit IgG

Concentration

0.2 mg/ml

Product Specifications

Immunogen

The immunogen for this product maps to a region between residue 607 and 657 of human THO Complex 1 using the numbering given in entry NP_005122.2 (GeneID 9984).

Clonality

Polyclonal

Host

Rabbit

Isotype

IgG

Description

Novus Biologicals Rabbit hHpr1-p84-Thoc1 Antibody (NBP1-47304) is a polyclonal antibody validated for use in IHC, WB and IP. All Novus Biologicals antibodies are covered by our 100% guarantee.

Scientific Data Images for hHpr1-p84-Thoc1 Antibody

Western Blot: hHpr1-p84-Thoc1 Antibody [NBP1-47304]

Western Blot: hHpr1-p84-Thoc1 Antibody [NBP1-47304]

Western Blot: hHpr1-p84-Thoc1 Antibody [NBP1-47304] - Detection of Human THOC1 by Western Blot. Samples: Whole cell lysate (15 ug) from HeLa, 293T, and Jurkat cells prepared using NETN lysis buffer. Antibody: Affinity purified rabbit anti-THOC1 antibody NBP1-47304 used for WB at 0.04 ug/ml. Detection: Chemiluminescence with an exposure time of 3 minutes.
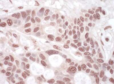
Immunohistochemistry-Paraffin: hHpr1-p84-Thoc1 Antibody [NBP1-47304]

Immunohistochemistry-Paraffin: hHpr1-p84-Thoc1 Antibody [NBP1-47304]

Immunohistochemistry-Paraffin: hHpr1-p84-Thoc1 Antibody [NBP1-47304] - FFPE section of human ovarian carcinoma. Antibody: Affinity purified rabbit anti- THOC1 used at a dilution of 1:200 (1ug/ml). Detection: Vector Laboratories ImmPACT NovaRED Peroxidase Substrate
Immunoprecipitation: hHpr1-p84-Thoc1 Antibody [NBP1-47304]

Immunoprecipitation: hHpr1-p84-Thoc1 Antibody [NBP1-47304]

Immunoprecipitation: hHpr1-p84-Thoc1 Antibody [NBP1-47304] - Detection of human THOC1 by western blot of immunoprecipitates. Samples: Whole cell lysate (0.5 or 1.0 mg per IP reaction; 20% of IP loaded) from HeLa cells prepared using NETN lysis buffer. Antibodies: Affinity purified rabbit anti-THOC1 antibody NBP1-47304 used for IP at 3 ug per reaction. THOC1 was also immunoprecipitated by another rabbit anti-THOC1 antibody. For blotting immunoprecipitated THOC1, NBP1-47304 was used at 0.4 ug/ml. Detection: Chemiluminescence with an exposure time of 3 seconds.

Applications for hHpr1-p84-Thoc1 Antibody

Application
Recommended Usage

Immunohistochemistry

1:100 - 1:500

Immunohistochemistry-Paraffin

1:100 - 1:500

Immunoprecipitation

2-5 ug/mg lysate

Western Blot

1:2000-1:10000
Application Notes
Epitope retrieval with citrate buffer pH6.0 is recommended for FFPE tissue sections.

Formulation, Preparation, and Storage

Purification

Immunogen affinity purified

Formulation

TBS and 0.1% BSA

Preservative

0.09% Sodium Azide

Concentration

0.2 mg/ml

Shipping

The product is shipped with polar packs. Upon receipt, store it immediately at the temperature recommended below.

Stability & Storage

Store at 4C. Do not freeze.

Background: hHpr1-p84-Thoc1

P84/N5-5E10 recognizes an 84kDa nuclear matrix protein. Initially isolated by its interaction with the amino terminal region of the retinoblastoma protein, it has been used extensively as a nuclear-specific marker in both immunofluorescence and cell fractionation studies.

Alternate Names

HPR1THO complex subunit 1, hTREX84, Nuclear matrix protein p84, P84, P84N5, THO complex 1, Tho1

Entrez Gene IDs

9984 (Human)

Gene Symbol

THOC1

Additional hHpr1-p84-Thoc1 Products

Product Documents for hHpr1-p84-Thoc1 Antibody

Certificate of Analysis

To download a Certificate of Analysis, please enter a lot number in the search box below.

Product Specific Notices for hHpr1-p84-Thoc1 Antibody

This product is for research use only and is not approved for use in humans or in clinical diagnosis. Primary Antibodies are guaranteed for 1 year from date of receipt.

Loading...
Loading...
Loading...
Loading...