Skip to main content

Hck Antibody (HL1673) - Azide and BSA Free

Novus Biologicals, part of Bio-Techne | Catalog # NBP3-25496

Recombinant Monoclonal Antibody
Novus Biologicals, part of Bio-Techne
Catalog #
Availability
Size / Price
Qty
Loading...
NBP3-25496

Key Product Details

Species Reactivity

Human, Mouse

Applications

Immunohistochemistry, Immunohistochemistry-Paraffin, Western Blot

Label

Unconjugated

Antibody Source

Recombinant Monoclonal Rabbit IgG Clone # HL1673 expressed in HEK293

Format

Azide and BSA Free

Concentration

Concentrations vary lot to lot. See vial label for concentration. If unlisted please contact technical services.

Product Specifications

Immunogen

Carrier-protein conjugated synthetic peptide encompassing a sequence within the center region of human Hck. The exact sequence is proprietary.

Clonality

Monoclonal

Host

Rabbit

Isotype

IgG

Description

Novus Biologicals Rabbit Hck Antibody (HL1673) - Azide and BSA Free (NBP3-25496) is a recombinant monoclonal antibody validated for use in IHC and WB. All Novus Biologicals antibodies are covered by our 100% guarantee.

Scientific Data Images for Hck Antibody (HL1673) - Azide and BSA Free

Hck Antibody (HL1673) - Azide and BSA Free

Western Blot: Hck Antibody (HL1673) - Azide and BSA Free [NBP3-25496] -

Western Blot: Hck Antibody (HL1673) - Azide and BSA Free [NBP3-25496] - Various whole cell extracts (30 ug) were separated by 10% SDS-PAGE, and the membrane was blotted with HCK antibody [HL1673] (NBP3-25496) diluted at 1:1000. The HRP-conjugated anti-rabbit IgG antibody was used to detect the primary antibody.
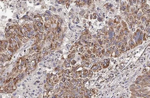
Hck Antibody (HL1673) - Azide and BSA Free

Immunohistochemistry-Paraffin: Hck Antibody (HL1673) - Azide and BSA Free [NBP3-25496] -

Immunohistochemistry-Paraffin: Hck Antibody (HL1673) - Azide and BSA Free [NBP3-25496] - HCK antibody [HL1673] detects HCK protein at cell membrane and cytoplasm by immunohistochemical analysis. Sample: Paraffin-embedded mouse tissues. HCK stained by HCK antibody [HL1673] (NBP3-25496) diluted at 1:100. Antigen Retrieval: Citrate buffer, pH 6.0, 15 min
Hck Antibody (HL1673) - Azide and BSA Free

Western Blot: Hck Antibody (HL1673) - Azide and BSA Free [NBP3-25496] -

Western Blot: Hck Antibody (HL1673) - Azide and BSA Free [NBP3-25496] - Various tissue extracts (50 ug) were separated by 10% SDS-PAGE, and the membrane was blotted with HCK antibody [HL1673] (NBP3-25496) diluted at 1:1000. The HRP-conjugated anti-rabbit IgG antibody was used to detect the primary antibody.

Applications for Hck Antibody (HL1673) - Azide and BSA Free

Application
Recommended Usage

Western Blot

1:500-1:3000

Formulation, Preparation, and Storage

Purification

Protein A purified

Formulation

PBS

Format

Azide and BSA Free

Preservative

No Preservative

Concentration

Concentrations vary lot to lot. See vial label for concentration. If unlisted please contact technical services.

Shipping

The product is shipped with polar packs. Upon receipt, store it immediately at the temperature recommended below.

Stability & Storage

Store at 4C short term. Aliquot and store at -20C long term. Avoid freeze-thaw cycles.

Background: Hck

The 60-kilodalton protein encoded by HCK resembles the product of the proto-oncogene c-src and is therefore likely to be a peripheral membrane protein (1). Protein-tyrosine kinase Hck is primarily expressed in hematopoietic cells, particularly granulocytes. Protein-tyrosine kinases are implicated in the control of cell growth by virtue of their frequent appearance as products of retroviral oncogenes and as components of growth factor receptors (2). Tyrosine kinases of the Src family are regulated via their Src homology 2 (SH2) and SH3 domains. The Nef protein of human immunodeficiency virus-1 (HIV-1) has previously been shown to bind with high affinity and specificity in vitro to the SH3 domain of Hck, a Src family member expressed primarily in myeloid cells. Results provide direct evidence that SH3 engagement is sufficient to activate a Src family kinase in vivo and suggest that Hck may be activated by Nef in HIV-infected macrophages (3).

Long Name

Hemopoietic Cell Kinase

Alternate Names

Bmk, Hctk, JTK9

Gene Symbol

HCK

Additional Hck Products

Product Documents for Hck Antibody (HL1673) - Azide and BSA Free

Certificate of Analysis

To download a Certificate of Analysis, please enter a lot number in the search box below.

Product Specific Notices for Hck Antibody (HL1673) - Azide and BSA Free

This product is for research use only and is not approved for use in humans or in clinical diagnosis. Primary Antibodies are guaranteed for 1 year from date of receipt.

Loading...
Loading...
Loading...
Loading...