Skip to main content

Hck Antibody (3D12E10)

Novus Biologicals, part of Bio-Techne | Catalog # NBP1-47514

Novus Biologicals, part of Bio-Techne
Catalog #
Availability
Size / Price
Qty
Loading...
NBP1-47514-0.025ml

Key Product Details

Species Reactivity

Human

Applications

ELISA, Immunohistochemistry, Immunohistochemistry-Paraffin, Western Blot

Label

Unconjugated

Antibody Source

Monoclonal Mouse IgG1 Clone # 3D12E10

Concentration

This product is unpurified. The exact concentration of antibody is not quantifiable.

Product Specifications

Immunogen

Purified recombinant fragment of Hck expressed in E. Coli.

Clonality

Monoclonal

Host

Mouse

Isotype

IgG1

Description

Novus Biologicals Mouse Hck Antibody (3D12E10) (NBP1-47514) is a monoclonal antibody validated for use in IHC, WB and ELISA. All Novus Biologicals antibodies are covered by our 100% guarantee.

Scientific Data Images for Hck Antibody (3D12E10)

Western Blot: Hck Antibody (3D12E10)BSA Free [NBP1-47514]

Western Blot: Hck Antibody (3D12E10)BSA Free [NBP1-47514]

Western Blot: Hck Antibody (3D12E10) [NBP1-47514] - Analysis using HCK mouse mAb against truncated HCK recombinant protein (1) and full-length HCK-GFP transfected CHO-K1 cell lysate (2).
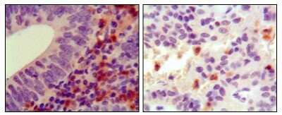
Immunohistochemistry-Paraffin: Hck Antibody (3D12E10) - BSA Free [NBP1-47514]

Immunohistochemistry-Paraffin: Hck Antibody (3D12E10) - BSA Free [NBP1-47514]

Immunohistochemistry-Paraffin: Hck Antibody (3D12E10) [NBP1-47514] - Analysis of human colon cancer (left) and ancreas cancer (right), showing cytoplasmic localization using HCK mouse mAb with DAB staining.

Applications for Hck Antibody (3D12E10)

Application
Recommended Usage

ELISA

1:10000

Immunohistochemistry

1:10 - 1:500

Immunohistochemistry-Paraffin

1:200-1:1000

Western Blot

1:500 - 1:2000

Formulation, Preparation, and Storage

Purification

Unpurified

Formulation

Ascites

Preservative

0.03% Sodium Azide

Concentration

This product is unpurified. The exact concentration of antibody is not quantifiable.

Shipping

The product is shipped with polar packs. Upon receipt, store it immediately at the temperature recommended below.

Stability & Storage

Store at 4C short term. Aliquot and store at -20C long term. Avoid freeze-thaw cycles.

Background: Hck

The 60-kilodalton protein encoded by HCK resembles the product of the proto-oncogene c-src and is therefore likely to be a peripheral membrane protein (1). Protein-tyrosine kinase Hck is primarily expressed in hematopoietic cells, particularly granulocytes. Protein-tyrosine kinases are implicated in the control of cell growth by virtue of their frequent appearance as products of retroviral oncogenes and as components of growth factor receptors (2). Tyrosine kinases of the Src family are regulated via their Src homology 2 (SH2) and SH3 domains. The Nef protein of human immunodeficiency virus-1 (HIV-1) has previously been shown to bind with high affinity and specificity in vitro to the SH3 domain of Hck, a Src family member expressed primarily in myeloid cells. Results provide direct evidence that SH3 engagement is sufficient to activate a Src family kinase in vivo and suggest that Hck may be activated by Nef in HIV-infected macrophages (3).

Long Name

Hemopoietic Cell Kinase

Alternate Names

Bmk, Hctk, JTK9

Entrez Gene IDs

3055 (Human)

Gene Symbol

HCK

Additional Hck Products

Product Documents for Hck Antibody (3D12E10)

Certificate of Analysis

To download a Certificate of Analysis, please enter a lot number in the search box below.

Product Specific Notices for Hck Antibody (3D12E10)

This product is for research use only and is not approved for use in humans or in clinical diagnosis. Primary Antibodies are guaranteed for 1 year from date of receipt.

Loading...
Loading...
Loading...
Loading...