Skip to main content

HCC1 Antibody - BSA Free

Novus Biologicals, part of Bio-Techne | Catalog # NBP3-35596

Novus Biologicals, part of Bio-Techne
Catalog #
Availability
Size / Price
Qty
Loading...
NBP3-35596-100ul
NBP3-35596-20ul

Key Product Details

Species Reactivity

Human, Mouse, Rat

Applications

ELISA, Immunocytochemistry/ Immunofluorescence, Immunohistochemistry, Immunohistochemistry-Paraffin, Western Blot

Label

Unconjugated

Antibody Source

Polyclonal Rabbit IgG

Format

BSA Free

Concentration

Please see the vial label for concentration. If unlisted please contact technical services.

Product Specifications

Immunogen

A synthetic peptide corresponding to a sequence within amino acids 400-508 of human HCC1 (NP_001229528.1).

Sequence:
ATQCFQLSNMFNPQTEEEVGWDTEIKDDVIEECNKHGGVIHIYVDKNSAQGNVYVKCPSIAAAIAAVNALHGRWFAGKMITAAYVPLPTYHNLFPDSMTATQLLVPSRR

Clonality

Polyclonal

Host

Rabbit

Isotype

IgG

Theoretical MW

59 kDa.
Disclaimer note: The observed molecular weight of the protein may vary from the listed predicted molecular weight due to post translational modifications, post translation cleavages, relative charges, and other experimental factors.

Description

Novus Biologicals Rabbit HCC1 Antibody - BSA Free (NBP3-35596) is a polyclonal antibody validated for use in IHC, WB, ELISA and ICC/IF. All Novus Biologicals antibodies are covered by our 100% guarantee.

Scientific Data Images for HCC1 Antibody - BSA Free

HCC1 Antibody

Immunohistochemistry: HCC1 Antibody [NBP3-35596] -

Immunohistochemistry: HCC1 Antibody [NBP3-35596] - Immunohistochemistry analysis of paraffin-embedded Mouse spleen using HCC1 Rabbit pAb at dilution of 1:100 (40x lens). Microwave antigen retrieval performed with 0.01M PBS Buffer (pH 7.2) prior to IHC staining.
HCC1 Antibody

Immunocytochemistry/ Immunofluorescence: HCC1 Antibody [NBP3-35596] -

Immunocytochemistry/ Immunofluorescence: HCC1 Antibody [NBP3-35596] - Immunofluorescence analysis of U-2 OS cells using HCC1 Rabbit pAb at dilution of 1:100. Secondary antibody: Cy3-conjugated Goat anti-Rabbit IgG (H+L) at 1:500 dilution. Blue: DAPI for nuclear staining.
HCC1 Antibody

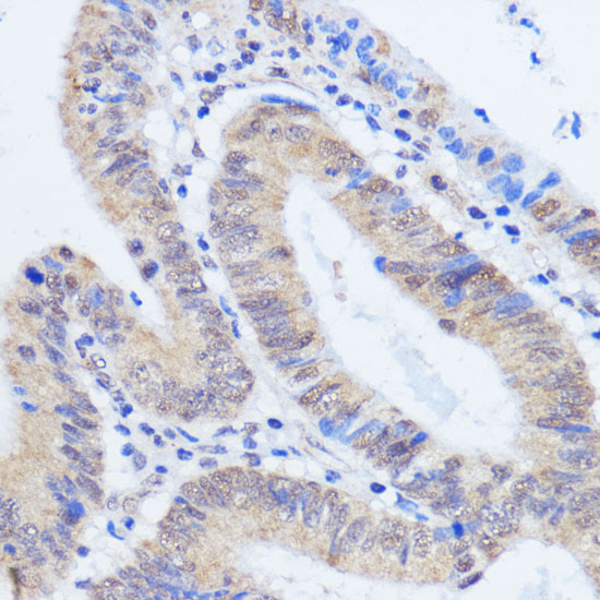
Immunohistochemistry: HCC1 Antibody [NBP3-35596] -

Immunohistochemistry: HCC1 Antibody [NBP3-35596] - Immunohistochemistry analysis of paraffin-embedded Human colon carcinoma using HCC1 Rabbit pAb at dilution of 1:100 (40x lens). Microwave antigen retrieval performed with 0.01M PBS Buffer (pH 7.2) prior to IHC staining.

Applications for HCC1 Antibody - BSA Free

Application
Recommended Usage

ELISA

Recommended starting concentration is 1 μg/mL. Please optimize the concentration based on your specific assay requirements.

Immunocytochemistry/ Immunofluorescence

1:50 - 1:200

Immunohistochemistry-Paraffin

1:50 - 1:200

Western Blot

1:500 - 1:2000

Formulation, Preparation, and Storage

Purification

Affinity purified

Formulation

PBS (pH 7.3), 50% glycerol

Format

BSA Free

Preservative

0.09% Sodium Azide

Concentration

Please see the vial label for concentration. If unlisted please contact technical services.

Shipping

The product is shipped with polar packs. Upon receipt, store it immediately at the temperature recommended below.

Stability & Storage

Store at -20C. Avoid freeze-thaw cycles.

Background: HCC1

HCC1 is encoded by this gene is an RNA binding protein and possible splicing factor. The encoded protein is found in the nucleus, where it colocalizes with core spliceosomal proteins. Studies of a mouse protein with high sequence similarity to this protein suggest that this protein may act as a transcriptional coactivator for JUN/AP-1 and estrogen receptors. Multiple transcript variants encoding different isoforms have been observed for this gene.

Long Name

RNA-binding protein 39

Alternate Names

CAPER alpha, CAPERalpha, RBM39, RNPC2

Gene Symbol

RBM39

Additional HCC1 Products

Product Documents for HCC1 Antibody - BSA Free

Certificate of Analysis

To download a Certificate of Analysis, please enter a lot number in the search box below.

Product Specific Notices for HCC1 Antibody - BSA Free

This product is for research use only and is not approved for use in humans or in clinical diagnosis. Primary Antibodies are guaranteed for 1 year from date of receipt.

Loading...
Loading...
Loading...
Loading...