Skip to main content

HADH Antibody - BSA Free

Novus Biologicals, part of Bio-Techne | Catalog # NBP2-16777

Novus Biologicals, part of Bio-Techne
Catalog #
Availability
Size / Price
Qty
Loading...
NBP2-16777

Key Product Details

Species Reactivity

Human, Mouse, Rat

Applications

Immunohistochemistry, Immunohistochemistry-Paraffin, Western Blot, Immunocytochemistry/ Immunofluorescence

Label

Unconjugated

Antibody Source

Polyclonal Rabbit IgG

Format

BSA Free

Concentration

Concentrations vary lot to lot. See vial label for concentration. If unlisted please contact technical services.

Product Specifications

Immunogen

Recombinant protein encompassing a sequence within the center region of human HADH. The exact sequence is proprietary.

Localization

Mitochondrion matrix

Clonality

Polyclonal

Host

Rabbit

Isotype

IgG

Theoretical MW

34 kDa.
Disclaimer note: The observed molecular weight of the protein may vary from the listed predicted molecular weight due to post translational modifications, post translation cleavages, relative charges, and other experimental factors.

Description

Novus Biologicals Rabbit HADH Antibody - BSA Free (NBP2-16777) is a polyclonal antibody validated for use in IHC, WB and ICC/IF. All Novus Biologicals antibodies are covered by our 100% guarantee.

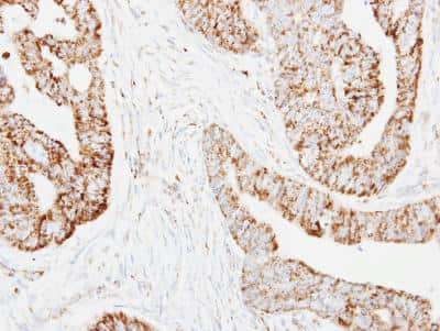
Scientific Data Images for HADH Antibody - BSA Free

Immunohistochemistry-Paraffin: HADH Antibody [NBP2-16777]

Immunohistochemistry-Paraffin: HADH Antibody [NBP2-16777]

Immunohistochemistry-Paraffin: HADH Antibody [NBP2-16777] - Immunohistochemical analysis of paraffin-embedded Colon ca, using antibody at 1:250 dilution.
HADH Antibody - BSA Free

Western Blot: HADH Antibody [NBP2-16777] -

Various whole cell extracts (30 ug) were separated by 12% SDS-PAGE, and the membrane was blotted with HADH antibody (NBP2-16777) diluted at 1:1000. The HRP-conjugated anti-rabbit IgG antibody was used to detect the primary antibody.
HADH Antibody - BSA Free

Western Blot: HADH Antibody [NBP2-16777] -

Rat tissue extract (50 ug) was separated by 12% SDS-PAGE, and the membrane was blotted with HADH antibody (NBP2-16777) diluted at 1:1000. The HRP-conjugated anti-rabbit IgG antibody was used to detect the primary antibody.

Applications for HADH Antibody - BSA Free

Application
Recommended Usage

Immunocytochemistry/ Immunofluorescence

1:100-1:1000

Immunohistochemistry

10 - 1:500

Immunohistochemistry-Paraffin

1:100-1:1000

Western Blot

1:500-1:3000

Formulation, Preparation, and Storage

Purification

Antigen Affinity-purified

Formulation

PBS, 1% BSA, 20% Glycerol

Format

BSA Free

Preservative

0.025% Proclin 300

Concentration

Concentrations vary lot to lot. See vial label for concentration. If unlisted please contact technical services.

Shipping

The product is shipped with polar packs. Upon receipt, store it immediately at the temperature recommended below.

Stability & Storage

Aliquot and store at -20C or -80C. Avoid freeze-thaw cycles.

Background: HADH

This gene is a member of the 3-hydroxyacyl-CoA dehydrogenase gene family. The encoded protein functions in the mitochondrial matrix to catalyze the oxidation of straight-chain 3-hydroxyacyl-CoAs as part of the beta-oxidation pathway. Its enzymatic activity is highest with medium-chain-length fatty acids. Mutations in this gene cause one form of familial hyperinsulinemic hypoglycemia. The human genome contains a related pseudogene. [provided by RefSeq]

Alternate Names

EC 1.1.1, EC 1.1.1.35, HADH1, HADHSChydroxyacyl-Coenzyme A dehydrogenase, HCDH, hydroxyacyl-CoA dehydrogenase, L-3-hydroxyacyl-Coenzyme A dehydrogenase, short chain, Medium and short-chain L-3-hydroxyacyl-coenzyme A dehydrogenase, MGC8392, mitochondrial, MSCHAD, SCHADHHF4

Gene Symbol

HADH

UniProt

Additional HADH Products

Product Documents for HADH Antibody - BSA Free

Certificate of Analysis

To download a Certificate of Analysis, please enter a lot number in the search box below.

Product Specific Notices for HADH Antibody - BSA Free

This product is for research use only and is not approved for use in humans or in clinical diagnosis. Primary Antibodies are guaranteed for 1 year from date of receipt.

Loading...
Loading...
Loading...
Loading...

⚠ WARNING: This product can expose you to chemicals including mercury, which is known to the State of California to cause reproductive toxicity with developmental effects.  For more information go to www.P65Warnings.ca.gov.