Skip to main content

Guanylate kinase Antibody - BSA Free

Novus Biologicals, part of Bio-Techne | Catalog # NBP2-14078

Novus Biologicals, part of Bio-Techne
Catalog #
Availability
Size / Price
Qty
Loading...
NBP2-14078
NBP2-14078-25ul

Key Product Details

Validated by

Independent Antibodies

Species Reactivity

Human

Applications

Immunohistochemistry, Immunohistochemistry-Paraffin, Western Blot

Label

Unconjugated

Antibody Source

Polyclonal Rabbit IgG

Format

BSA Free

Concentration

Concentrations vary lot to lot. See vial label for concentration. If unlisted please contact technical services.

Product Specifications

Immunogen

This antibody was developed against a recombinant protein corresponding to the amino acids: LRPIYISVQPPSLHVLEQRLRQRNTETEESLVKRLAAAQADMESSKEPGLFDVVIINDSLDQAYAELKEALSEEIKKAQRTGA

Reactivity Notes

Immunogen displays the following percentage of sequence identity for non-tested species: Mouse (83%)

Clonality

Polyclonal

Host

Rabbit

Isotype

IgG

Description

Novus Biologicals Rabbit Guanylate kinase Antibody - BSA Free (NBP2-14078) is a polyclonal antibody validated for use in IHC and WB. All Novus Biologicals antibodies are covered by our 100% guarantee.

Scientific Data Images for Guanylate kinase Antibody - BSA Free

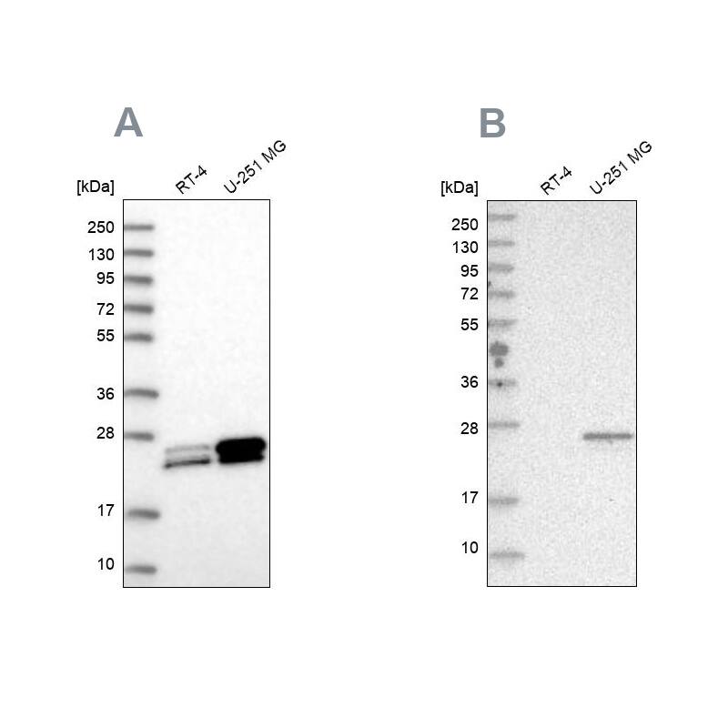
Western Blot: Guanylate kinase Antibody [NBP2-14078]

Western Blot: Guanylate kinase Antibody [NBP2-14078]

Western Blot: Guanylate kinase Antibody [NBP2-14078] - Lane 1: Marker [kDa] 250, 130, 95, 72, 55, 36, 28, 17, 10. Lane 2: Human cell line RT-4. Lane 3: Human cell line U-251MG sp
Immunohistochemistry-Paraffin: Guanylate kinase Antibody [NBP2-14078]

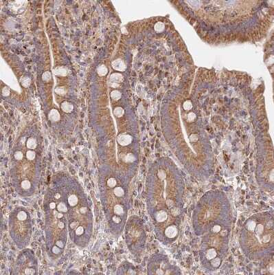
Immunohistochemistry-Paraffin: Guanylate kinase Antibody [NBP2-14078]

Immunohistochemistry-Paraffin: Guanylate kinase Antibody [NBP2-14078] - Staining of human duodenum shows moderate granular cytoplasmic positivity in glandular cells.
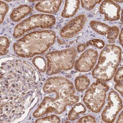
Immunohistochemistry-Paraffin: Guanylate kinase Antibody [NBP2-14078]

Immunohistochemistry-Paraffin: Guanylate kinase Antibody [NBP2-14078]

Immunohistochemistry-Paraffin: Guanylate kinase Antibody [NBP2-14078] - Staining of human kidney shows strong cytoplasmic positivity in cells in tubules.

Applications for Guanylate kinase Antibody - BSA Free

Application
Recommended Usage

Immunohistochemistry

1:1000 - 1:2500

Immunohistochemistry-Paraffin

1:1000-1:2500

Western Blot

0.04-0.4 ug/ml
Application Notes
For IHC-Paraffin, HIER pH 6 retrieval is recommended.

Formulation, Preparation, and Storage

Purification

Immunogen affinity purified

Formulation

PBS (pH 7.2) and 40% Glycerol

Format

BSA Free

Preservative

0.02% Sodium Azide

Concentration

Concentrations vary lot to lot. See vial label for concentration. If unlisted please contact technical services.

Shipping

The product is shipped with polar packs. Upon receipt, store it immediately at the temperature recommended below.

Stability & Storage

Store at 4C short term. Aliquot and store at -20C long term. Avoid freeze-thaw cycles.

Background: Guanylate Kinase

Essential for recycling GMP and indirectly, cGMP

Alternate Names

ATP:GMP Phosphotransferase, Deoxyguanylate Kinase, GMK, GMP Kinase, Guanosine monophosphate Kinase, GUK1

Gene Symbol

GUK1

Additional Guanylate Kinase Products

Product Documents for Guanylate kinase Antibody - BSA Free

Certificate of Analysis

To download a Certificate of Analysis, please enter a lot number in the search box below.

Product Specific Notices for Guanylate kinase Antibody - BSA Free

This product is for research use only and is not approved for use in humans or in clinical diagnosis. Primary Antibodies are guaranteed for 1 year from date of receipt.

Loading...
Loading...
Loading...
Loading...