GTPBP9 Antibody - BSA Free
Novus Biologicals, part of Bio-Techne | Catalog # NBP2-16768
Key Product Details
Species Reactivity
Human, Mouse, Rat
Applications
Immunohistochemistry, Immunohistochemistry-Paraffin, Western Blot, Immunocytochemistry/ Immunofluorescence
Label
Unconjugated
Antibody Source
Polyclonal Rabbit IgG
Format
BSA Free
Concentration
Concentrations vary lot to lot. See vial label for concentration. If unlisted please contact technical services.
Product Specifications
Immunogen
Recombinant protein encompassing a sequence within the center region of human GTPBP9. The exact sequence is proprietary.
Reactivity Notes
Immunogen displays the following percentage of sequence identity for non-tested species: Xenopus laevis (85%), Zebrafish (89%), Xenopus tropicalis (87%).
Clonality
Polyclonal
Host
Rabbit
Isotype
IgG
Theoretical MW
45 kDa.
Disclaimer note: The observed molecular weight of the protein may vary from the listed predicted molecular weight due to post translational modifications, post translation cleavages, relative charges, and other experimental factors.
Disclaimer note: The observed molecular weight of the protein may vary from the listed predicted molecular weight due to post translational modifications, post translation cleavages, relative charges, and other experimental factors.
Description
Novus Biologicals Rabbit GTPBP9 Antibody - BSA Free (NBP2-16768) is a polyclonal antibody validated for use in IHC, WB and ICC/IF. All Novus Biologicals antibodies are covered by our 100% guarantee.
Scientific Data Images for GTPBP9 Antibody - BSA Free
Western Blot: GTPBP9 Antibody [NBP2-16768]
Western Blot: GTPBP9 Antibody [NBP2-16768] - Various whole cell extracts (30 ug) were separated by 10% SDS-PAGE, and the membrane was blotted with GTPBP9 antibody diluted at 1:1000. HRP-conjugated anti-rabbit IgG antibody was used to detect the primary antibody.Immunohistochemistry-Paraffin: GTPBP9 Antibody [NBP2-16768]
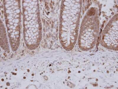
Immunohistochemistry-Paraffin: GTPBP9 Antibody [NBP2-16768] - Immunohistochemical analysis of paraffin-embedded Colon ca, using antibody at 1:250 dilution.Western Blot: GTPBP9 Antibody [NBP2-16768] -
Rat tissue extract (50 ug) was separated by 10% SDS-PAGE, and the membrane was blotted with GTPBP9 antibody [N1C1] (NBP2-16768) diluted at 1:1000. The HRP-conjugated anti-rabbit IgG antibody was used to detect the primary antibody.Applications for GTPBP9 Antibody - BSA Free
Application
Recommended Usage
Immunocytochemistry/ Immunofluorescence
1:100-1:1000
Immunohistochemistry
10 - 1:500
Immunohistochemistry-Paraffin
1:100-1:1000
Western Blot
1:500-1:3000
Formulation, Preparation, and Storage
Purification
Antigen Affinity-purified
Formulation
0.1M Tris, 0.1M Glycine, 20% Glycerol
Format
BSA Free
Preservative
0.01% Thimerosal
Concentration
Concentrations vary lot to lot. See vial label for concentration. If unlisted please contact technical services.
Shipping
The product is shipped with polar packs. Upon receipt, store it immediately at the temperature recommended below.
Stability & Storage
Aliquot and store at -20C or -80C. Avoid freeze-thaw cycles.
Background: GTPBP9
Alternate Names
DKFZp313H1942, DNA damage-regulated overexpressed in cancer 45 protein, DOC45, EC 3.6.3, EC 3.6.3.-, GBP45, GTP-binding protein 9, GTP-binding protein 9 (putative), GTP-binding protein PTD004, GTPBP9, homologous yeast-44.2 protein, Obg-like ATPase 1, PTD004
Gene Symbol
OLA1
UniProt
Additional GTPBP9 Products
Product Documents for GTPBP9 Antibody - BSA Free
Product Specific Notices for GTPBP9 Antibody - BSA Free
This product is for research use only and is not approved for use in humans or in clinical diagnosis. Primary Antibodies are guaranteed for 1 year from date of receipt.
Loading...
Loading...
Loading...
Loading...
⚠ WARNING: This product can expose you to chemicals including mercury, which is known to the State of California to cause reproductive toxicity with developmental effects. For more information go to www.P65Warnings.ca.gov.