Skip to main content

GSK-3 beta Antibody (3D10) - Azide and BSA Free

Novus Biologicals, part of Bio-Techne | Catalog # NBP2-80757

Novus Biologicals, part of Bio-Techne
Catalog #
Availability
Size / Price
Qty
Loading...
NBP2-80757

Key Product Details

Species Reactivity

Human, Mouse, Rat, Primate

Applications

Immunohistochemistry, Immunohistochemistry-Paraffin, Western Blot, ELISA, Flow Cytometry, Immunocytochemistry/ Immunofluorescence, Simple Western, CyTOF-ready

Label

Unconjugated

Antibody Source

Monoclonal Mouse IgG2A Clone # 3D10

Format

Azide and BSA Free

Concentration

1 mg/ml

Product Specifications

Immunogen

Purified recombinant fragment of human GSK3 beta expressed in E. coli. [UniProt# P49841]

Clonality

Monoclonal

Host

Mouse

Isotype

IgG2A

Theoretical MW

46 kDa.
Disclaimer note: The observed molecular weight of the protein may vary from the listed predicted molecular weight due to post translational modifications, post translation cleavages, relative charges, and other experimental factors.

Description

Novus Biologicals Mouse GSK-3 beta Antibody (3D10) - Azide and BSA Free (NBP1-47470) is a monoclonal antibody validated for use in IHC, WB, ELISA, Flow, ICC/IF and Simple Western. All Novus Biologicals antibodies are covered by our 100% guarantee.

Scientific Data Images for GSK-3 beta Antibody (3D10) - Azide and BSA Free

Western Blot: GSK-3 beta Antibody (3D10)Azide and BSA Free [NBP2-80757]

Western Blot: GSK-3 beta Antibody (3D10)Azide and BSA Free [NBP2-80757]

Western Blot: GSK-3 beta Antibody (3D10) - Azide and BSA Free [NBP2-80757] - Analysis using GSK3 beta mouse mAb against A549 (1), K562 (2), PC-12 (3), NIH/3T3 (4), and HEK293 (5) cell lysates. Image from the standard format of this antibody.
Immunocytochemistry/ Immunofluorescence: GSK-3 beta Antibody (3D10) - Azide and BSA Free [NBP2-80757]

Immunocytochemistry/ Immunofluorescence: GSK-3 beta Antibody (3D10) - Azide and BSA Free [NBP2-80757]

Immunocytochemistry/Immunofluorescence: GSK-3 beta Antibody (3D10) - Azide and BSA Free [NBP2-80757] - Analysis of NIH/3T3 (left) and U251 (right) cells using GSK3 beta mouse mAb (green). Blue: DRAQ5 fluorescent DNA dye. Red: Actin filaments have been labeled with Alexa Fluor-555 phalloidin. Image from the standard format of this antibody.
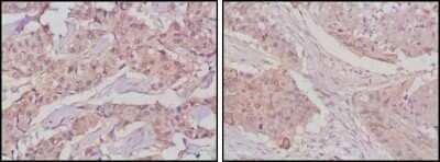
Immunohistochemistry-Paraffin: GSK-3 beta Antibody (3D10) - Azide and BSA Free [NBP2-80757]

Immunohistochemistry-Paraffin: GSK-3 beta Antibody (3D10) - Azide and BSA Free [NBP2-80757]

Immunohistochemistry-Paraffin: GSK-3 beta Antibody (3D10) - Azide and BSA Free [NBP2-80757] - Analysis of paraffin-embedded human lung cancer (left) and breast cancer tissues (right) using GSK3 beta mouse mAb with DAB staining. Image from the standard format of this antibody.

Applications for GSK-3 beta Antibody (3D10) - Azide and BSA Free

Application
Recommended Usage

ELISA

1:10000

Flow Cytometry

1:200-1:400

Immunocytochemistry/ Immunofluorescence

1:200-1:1000

Immunohistochemistry

1:200-1:1000

Simple Western

1:50

Western Blot

1:500-1:2000
Application Notes
This GSK3 beta (3D10) antibody is useful for Western blot, Flow Cytometry, Immunocytochemistry/Immunofluorescence, Immunohistochemistry on paraffin-embedded sections and ELISA.

In Simple Western only 10 - 15 uL of the recommended dilution is used per data point.
See Simple Western Antibody Database for Simple Western validation: antibody dilution of 1:50. Separated by Size-Wes, Sally Sue/Peggy Sue.

Formulation, Preparation, and Storage

Purification

Ammonium sulfate precipitation

Formulation

PBS

Format

Azide and BSA Free

Preservative

No Preservative

Concentration

1 mg/ml

Shipping

The product is shipped with polar packs. Upon receipt, store it immediately at the temperature recommended below.

Stability & Storage

Store at 4C short term. Aliquot and store at -20C long term. Avoid freeze-thaw cycles.

Background: GSK-3 beta

GSK3 (Glycogen synthase kinase 3), a serine-threonine kinase with two isoforms (alpha and beta), was originally discovered as a key enzyme in glycogen metabolism. GSK3 was subsequently shown to function in cell division, proliferation, motility and survival. GSK3 plays a role in a number of pathological conditions including cancer and diabetes and is increasingly seen as an important component of neurological diseases. GSK3 phosphorylates tau and presenilin-1, which are involved in the development of Alzheimer's disease. Both isoforms of GSK3 are ubiquitously expressed, although particularly high levels of GSK 3 beta are found in the brain where it is involved in synaptic plasticity, possibly via regulation of NMDA receptor trafficking. GSK3 phosphorylates over 40 different substrates including signaling proteins, transcription factors and structural proteins, and is part of the signal transduction cascade of a large number of growth factors and cytokines. The activity of GSK is regulated by phosphorylation (Akt: Akt-mediated phosphorylation at Ser21 of GSK3 alpha and Ser9 of GSK3 beta, S6K, RSK, PKA and PKC), dephosphorylation (PP1 and PP2A), and by binding to protein complexes (with beta-catenin, axin, CK1 and the APC complex).

Long Name

Glycogen Synthase Kinase 3 beta

Alternate Names

GSK3 beta, GSK3B

Gene Symbol

GSK3B

Additional GSK-3 beta Products

Product Documents for GSK-3 beta Antibody (3D10) - Azide and BSA Free

Certificate of Analysis

To download a Certificate of Analysis, please enter a lot number in the search box below.

Product Specific Notices for GSK-3 beta Antibody (3D10) - Azide and BSA Free

This product is for research use only and is not approved for use in humans or in clinical diagnosis. Primary Antibodies are guaranteed for 1 year from date of receipt.

Loading...
Loading...
Loading...
Loading...
Loading...