Skip to main content

GSK-3 alpha/beta [p Tyr216, p Tyr279] Antibody (SY26-05)

Novus Biologicals, part of Bio-Techne | Catalog # NBP2-67441

Recombinant Monoclonal Antibody.
Novus Biologicals, part of Bio-Techne
Catalog #
Availability
Size / Price
Qty
Loading...
NBP2-67441

Key Product Details

Validated by

Biological Validation

Species Reactivity

Validated:

Human, Mouse, Rat

Cited:

Human

Applications

Validated:

Immunohistochemistry, Immunohistochemistry-Paraffin, Western Blot, Immunocytochemistry/ Immunofluorescence, Immunoprecipitation

Cited:

Immunocytochemistry/ Immunofluorescence

Label

Unconjugated

Antibody Source

Recombinant Monoclonal Rabbit IgG Clone # SY26-05 expressed in HEK293

Concentration

1 mg/ml

Product Specifications

Immunogen

Synthetic phospho-peptide corresponding to residues surrounding Tyr216 and 279 of human GSK-3 alpha/beta (SwissProt: P49840 Human; SwissProt: P49841 Human; SwissProt: Q2NL51 Mouse; SwissProt: Q9WV60 Mouse; SwissProt: P18265 Rat; SwissProt: P18266 Rat)

Modification

p Tyr216, p Tyr279

Localization

Cytoplasm, Nucleus, Cell membrane.

Clonality

Monoclonal

Host

Rabbit

Isotype

IgG

Description

Novus Biologicals Rabbit GSK-3 alpha/beta [p Tyr216, p Tyr279] Antibody (SY26-05) (NBP2-67441) is a recombinant monoclonal antibody validated for use in IHC, WB, ICC/IF and IP. Anti-GSK-3 alpha/beta Antibody: Cited in 1 publication. All Novus Biologicals antibodies are covered by our 100% guarantee.

Scientific Data Images for GSK-3 alpha/beta [p Tyr216, p Tyr279] Antibody (SY26-05)

Western Blot: GSK-3 alpha/beta [p Tyr216, p Tyr279] Antibody (SY26-05) [NBP2-67441] - Analysis of GSK-3 alpha/beta [p Tyr216, p Tyr279] on mouse brain tissue lysates with Rabbit anti-GSK-3 alpha/beta [p Tyr216, p Tyr279] antibody at 1:500 dilution. Lysates/proteins at 20 ug/Lane. Predicted band size: 46/51 kDa Observed band size: 46/51 kDa Exposure time: 2 minutes; 10% SDS-PAGE gel. Proteins were transferred to a PVDF membrane and blocked with 5% NFDM/TBST for 1 hour at room temperature. The primary antibody at 1:500 dilution was used in 5% NFDM/TBST at room temperature for 2 hours. Goat Anti-Rabbit IgG - HRP Secondary Antibody at 1:300,000 dilution was used for 1 hour at room temperature.
Immunocytochemistry/Immunofluorescence: GSK-3 alpha/beta [p Tyr216, p Tyr279] Antibody (SY26-05) [NBP2-67441] - Staining Phospho-GSK3(alpha+beta)(Y216+Y279) in MCF-7 cells (green). The nuclear counter stain is DAPI (blue). Cells were fixed in paraformaldehyde, permeabilised with 0.25% Triton X100/PBS.
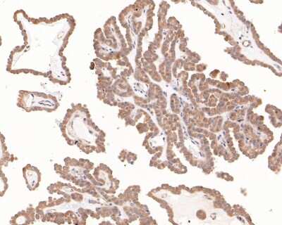
Immunohistochemistry-Paraffin: GSK-3 alpha/beta [p Tyr216, p Tyr279] Antibody (SY26-05) [NBP2-67441] - Analysis of paraffin-embedded human thyroid carcinoma tissue with Rabbit anti-Phospho-GSK3 alpha/beta [p Tyr216, p Tyr279) antibody washed with ddH2O and PBS, and then probed with the primary antibody at 1/800 dilution for 1 hour at room temperature. The detection was performed using an HRP conjugated compact polymer system. DAB was used as the chromogen. Tissues were counterstained with hematoxylin and mounted with DPX.

Applications for GSK-3 alpha/beta [p Tyr216, p Tyr279] Antibody (SY26-05)

Application
Recommended Usage

Immunocytochemistry/ Immunofluorescence

1:100-1:500

Immunohistochemistry-Paraffin

1:200-1:800

Western Blot

1:500-1:1000

Formulation, Preparation, and Storage

Purification

Protein A purified

Formulation

TBS (pH7.4), 0.05% BSA, 40% Glycerol

Preservative

0.05% Sodium Azide

Concentration

1 mg/ml

Shipping

The product is shipped with polar packs. Upon receipt, store it immediately at the temperature recommended below.

Stability & Storage

Store at 4C short term. Aliquot and store at -20C long term. Avoid freeze-thaw cycles.

Background: GSK-3 alpha/beta

Glycogen Synthase Kinase 3beta (GSK-3beta) is a unique serine/threonine kinase that is inactivated by phosphorylation. In response to insulin binding, PKB/AKT phosphorylates GSK-3beta on serine 9, which prevents GSK-3beta from phosphorylating glycogen synthase. Unphosphorylated glycogen synthase is active and able to synthesize glycogen. GSK-3beta is also unique in that it requires a substrate that has been phosphorylated by a distinct kinase before it can phosphorylate the substrate. This phosphate priming mechanism explains why phosphorylation of serine 9 inactivates GSK-3beta. The phosphorylated serine binds to the GSK-3beta priming phosphate position and prevents binding of alternative substrates. In addition to insulin signaling, GSK-3beta participates in the Wnt signaling pathway, where it forms a complex with axin, beta-catenin and adenomatous polyposis coli (APC) protein. In the presence of Wnts, GSK-3beta is unable to phosphorylate beta-catenin, which leads to stabilization of beta-catenin. The Wnt pathway inactivates GSK-3beta via the proteins, Dishevelled and FRAT, which disrupt the interaction of GSK-3beta with axin, beta-catenin, and APC. Clinically, there is considerable interest in GSK-3beta inhibitors because they may mimic the effect of insulin or reduce the hyperphosphorylation of Tau that is observed in Alzheimer's Disease.

Long Name

Glycogen Synthase Kinase 3

Alternate Names

DKFZp686D0638, EC 2.7.11, EC 2.7.11.26, glycogen synthase kinase 3 alpha, glycogen synthase kinase-3 alpha, GSK-3 alpha

Gene Symbol

GSK3A

Additional GSK-3 alpha/beta Products

Product Documents for GSK-3 alpha/beta [p Tyr216, p Tyr279] Antibody (SY26-05)

Certificate of Analysis

To download a Certificate of Analysis, please enter a lot number in the search box below.

Product Specific Notices for GSK-3 alpha/beta [p Tyr216, p Tyr279] Antibody (SY26-05)

This product is for research use only and is not approved for use in humans or in clinical diagnosis. Primary Antibodies are guaranteed for 1 year from date of receipt.

Loading...
Loading...
Loading...
Loading...