Skip to main content

GRP75/HSPA9B/Mortalin Antibody

Novus Biologicals, part of Bio-Techne | Catalog # NBP1-31596

Novus Biologicals, part of Bio-Techne
Catalog #
Availability
Size / Price
Qty
Loading...
NBP1-31596

Key Product Details

Species Reactivity

Validated:

Human, Mouse, Rat, Porcine

Predicted:

Xenopus (94%). Backed by our 100% Guarantee.

Applications

Immunohistochemistry, Immunohistochemistry-Paraffin, Western Blot, Immunocytochemistry/ Immunofluorescence, Immunoprecipitation

Label

Unconjugated

Antibody Source

Polyclonal Rabbit IgG

Concentration

Concentrations vary lot to lot. See vial label for concentration. If unlisted please contact technical services.

Product Specifications

Immunogen

Recombinant protein encompassing a sequence within the center region of human GRP75/HSPA9B/Mortalin. The exact sequence is proprietary.

Reactivity Notes

Immunogen displays the following percentage of sequence identity for non-tested species: Zebrafish (87%).

Localization

Mitochondrion

Marker

Immortalization Marker

Clonality

Polyclonal

Host

Rabbit

Isotype

IgG

Theoretical MW

74 kDa.
Disclaimer note: The observed molecular weight of the protein may vary from the listed predicted molecular weight due to post translational modifications, post translation cleavages, relative charges, and other experimental factors.

Description

Novus Biologicals Rabbit GRP75/HSPA9B/Mortalin Antibody (NBP1-31596) is a polyclonal antibody validated for use in IHC, WB, ICC/IF and IP. All Novus Biologicals antibodies are covered by our 100% guarantee.

Scientific Data Images for GRP75/HSPA9B/Mortalin Antibody

GRP75/HSPA9B/Mortalin Antibody

Western Blot: GRP75/HSPA9B/Mortalin Antibody [NBP1-31596] -

Western Blot: GRP75/HSPA9B/Mortalin Antibody [NBP1-31596] - HepG2 and mitochondria extracts (30 ug) were separated by SDS-PAGE, and the membrane was blotted with GRP75/HSPA9B/Mortalin antibody (NBP1-31596) diluted at 1:3000. The HRP-conjugated anti-rabbit IgG antibody was used to detect the primary antibody.
GRP75/HSPA9B/Mortalin Antibody

Immunohistochemistry-Paraffin: GRP75/HSPA9B/Mortalin Antibody [NBP1-31596] -

Immunohistochemistry-Paraffin: GRP75/HSPA9B/Mortalin Antibody [NBP1-31596] - GRP75/HSPA9B/Mortalin antibody detects GRP75/HSPA9B/Mortalin protein at cytoplasm by immunohistochemical analysis.Sample: Paraffin-embedded rat brain.GRP75/HSPA9B/Mortalin stained by GRP75/HSPA9B/Mortalin antibody (NBP1-31596) diluted at 1:500.Antigen Retrieval: Citrate buffer, pH 6.0, 15 min
GRP75/HSPA9B/Mortalin Antibody

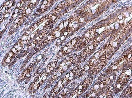
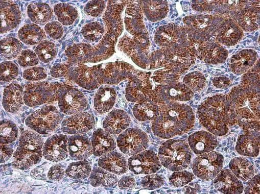
Immunohistochemistry-Paraffin: GRP75/HSPA9B/Mortalin Antibody [NBP1-31596] -

Immunohistochemistry-Paraffin: GRP75/HSPA9B/Mortalin Antibody [NBP1-31596] - GRP75/HSPA9B/Mortalin antibody detects GRP75/HSPA9B/Mortalin protein at cytoplasm by immunohistochemical analysis.Sample: Paraffin-embedded mouse stomach.GRP75/HSPA9B/Mortalin stained by GRP75/HSPA9B/Mortalin antibody (NBP1-31596) diluted at 1:500.Antigen Retrieval: Citrate buffer, pH 6.0, 15 min

Applications for GRP75/HSPA9B/Mortalin Antibody

Application
Recommended Usage

Immunocytochemistry/ Immunofluorescence

1:100-1:1000

Immunohistochemistry-Paraffin

1:100-1:1000

Immunoprecipitation

1:100-1:500

Western Blot

1:500-1:3000

Formulation, Preparation, and Storage

Purification

Antigen Affinity-purified

Formulation

PBS, 1% BSA, 20% Glycerol

Preservative

0.025% Proclin 300

Concentration

Concentrations vary lot to lot. See vial label for concentration. If unlisted please contact technical services.

Shipping

The product is shipped with polar packs. Upon receipt, store it immediately at the temperature recommended below.

Stability & Storage

Aliquot and store at -20C or -80C. Avoid freeze-thaw cycles.

Background: GRP75/HSPA9B

Suitable for use in Western Blot. Other applications not tested. Human and mouse Grp 75

Long Name

75 KD Glucose Regulated Protein

Alternate Names

CSA, HSPA9, HSPA9B, Mortalin-2, MOT2, PBP74

Gene Symbol

HSPA9

Additional GRP75/HSPA9B Products

Product Documents for GRP75/HSPA9B/Mortalin Antibody

Certificate of Analysis

To download a Certificate of Analysis, please enter a lot number in the search box below.

Product Specific Notices for GRP75/HSPA9B/Mortalin Antibody

This product is for research use only and is not approved for use in humans or in clinical diagnosis. Primary Antibodies are guaranteed for 1 year from date of receipt.

Loading...
Loading...
Loading...
Loading...