Skip to main content

Growth Hormone Antibody (GH/8215R) - Azide and BSA Free

Novus Biologicals, part of Bio-Techne | Catalog # NBP3-20868

Recombinant Monoclonal Antibody
Novus Biologicals, part of Bio-Techne

Key Product Details

Species Reactivity

Human

Applications

Immunohistochemistry-Paraffin

Label

Unconjugated

Antibody Source

Recombinant Monoclonal Rabbit IgG Kappa Clone # GH/8215R

Format

Azide and BSA Free

Concentration

1 mg/ml

Product Specifications

Immunogen

Recombinant full-length human Growth Hormone protein

Localization

Cytoplasm.

Specificity

Anti-GH is a useful marker in classification of pituitary tumors and the study of pituitary disease (acromegaly)

Clonality

Monoclonal

Host

Rabbit

Isotype

IgG Kappa

Description

Positive Controls: Pituitary cells. Human pituitary tissue (IHC).

Antibody with azide - store at 2 to 8C. Antibody without azide - store at -20 to -80C. Non-hazardous. No MSDS required.

Scientific Data Images for Growth Hormone Antibody (GH/8215R) - Azide and BSA Free

Growth Hormone Antibody (GH/8215R) - Azide and BSA Free

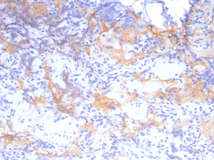
Growth Hormone Antibody (GH/8215R)

Formalin-fixed, paraffin-embedded human pituitary stained with Growth Hormone antibody (GH/8215R). HIER: Tris/EDTA, pH9.0, 45min. Secondary: HRP-polymer, 30min. DAB, 5min.
Growth Hormone Antibody (GH/8215R) - Azide and BSA Free

Growth Hormone Antibody (GH/8215R)

Formalin-fixed, paraffin-embedded human placenta stained with Growth Hormone antibody (GH/8215R). Inset: PBS instead of primary antibody; secondary only negative control.

Applications for Growth Hormone Antibody (GH/8215R) - Azide and BSA Free

Application
Recommended Usage

Immunohistochemistry-Paraffin

1-2 ug/ml
Application Notes
Immunohistochemistry (Formalin-fixed): 1-2ug/ml for 30 minutes. at RT. Staining of formalin-fixed tissues requires heating tissue sections in 10mM Tris with 1mM EDTA, pH 9.0, for 45 min at 95C followed by cooling at RT for 20 minutes.

Optimal dilution for a specific application should be determined.

Formulation, Preparation, and Storage

Purification

Protein A or G purified

Formulation

10mM PBS

Format

Azide and BSA Free

Preservative

No Preservative

Concentration

1 mg/ml

Shipping

The product is shipped with polar packs. Upon receipt, store it immediately at the temperature recommended below.

Stability & Storage

Store at -20 to -70C. Avoid freeze-thaw cycles.

Background: Growth Hormone

Human growth hormone (hGH) plays an important role in growth control. Its major role in stimulating body growth is to stimulate the liver and other tissues to secrete IGF-1. The effects of hGH in the body can be generally described as anabolic. It stimulates amino acid uptake and protein synthesis in muscle and other tissues. Growth Hormone (GH1) is synthesized by acidophilic or somatotropic cells of the anterior pituitary gland. Genes for growth hormone (GH) are found in a gene cluster on 17q, which consists of two growth hormone genes and three CSH genes. The GHN1 gene is transcribed exclusively in the pituitary, whereas the other 4 genes are expressed only in placental tissues. Several isoforms of GH1 exist. Human growth hormone (hGH) is also used as a reporter protein, because it is secreted from mammalian cells it can be assayed by ELISA on culture supernatant using antibodies to determine the level of expression.

Alternate Names

GH-N, GH1, GHB5, GHN, IGHD1A, IGHD2, Somatotropin

Gene Symbol

GH1

Additional Growth Hormone Products

Product Documents for Growth Hormone Antibody (GH/8215R) - Azide and BSA Free

Certificate of Analysis

To download a Certificate of Analysis, please enter a lot number in the search box below.

Product Specific Notices for Growth Hormone Antibody (GH/8215R) - Azide and BSA Free

This product is for research use only and is not approved for use in humans or in clinical diagnosis. Primary Antibodies are guaranteed for 1 year from date of receipt.

Loading...
Loading...
Loading...
Loading...