Skip to main content

GPN3 Antibody - BSA Free

Novus Biologicals, part of Bio-Techne | Catalog # NBP2-30372

Novus Biologicals, part of Bio-Techne
Catalog #
Availability
Size / Price
Qty
Loading...
NBP2-30372
NBP2-30372-25ul

Key Product Details

Species Reactivity

Validated:

Human

Predicted:

Mouse (90%), Rat (91%). Backed by our 100% Guarantee.

Applications

Immunohistochemistry, Immunohistochemistry-Paraffin, Immunocytochemistry/ Immunofluorescence

Label

Unconjugated

Antibody Source

Polyclonal Rabbit IgG

Format

BSA Free

Concentration

Concentrations vary lot to lot. See vial label for concentration. If unlisted please contact technical services.

Product Specifications

Immunogen

This antibody was developed against a recombinant protein corresponding to amino acids: STTDLRSKKFKKLTKAICGLIDDYSMVRFLPYDQSDEESMNIVLQHIDFAIQYGEDLEFKEPKEREDESSSMFDEYFQECQ

Clonality

Polyclonal

Host

Rabbit

Isotype

IgG

Description

Novus Biologicals Rabbit GPN3 Antibody - BSA Free (NBP2-30372) is a polyclonal antibody validated for use in IHC and ICC/IF. All Novus Biologicals antibodies are covered by our 100% guarantee.

Scientific Data Images for GPN3 Antibody - BSA Free

Immunocytochemistry/ Immunofluorescence: GPN3 Antibody [NBP2-30372]

Immunocytochemistry/ Immunofluorescence: GPN3 Antibody [NBP2-30372]

Immunocytochemistry/Immunofluorescence: GPN3 Antibody [NBP2-30372] - Immunofluorescent staining of human cell line U-251 MG shows localization to nuclear speckles & cytosol.
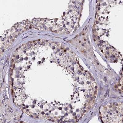
Immunohistochemistry-Paraffin: GPN3 Antibody [NBP2-30372]

Immunohistochemistry-Paraffin: GPN3 Antibody [NBP2-30372]

Immunohistochemistry-Paraffin: GPN3 Antibody [NBP2-30372] - Staining of human testis shows nuclear and cytoplasmic positivity in cells in seminiferous ducts.

Applications for GPN3 Antibody - BSA Free

Application
Recommended Usage

Immunocytochemistry/ Immunofluorescence

0.25-2 ug/ml

Immunohistochemistry

1:200 - 1:500

Immunohistochemistry-Paraffin

1:200 - 1:500
Application Notes
For IHC-Paraffin, HIER pH 6 retrieval is recommended. Immunocytochemistry/Immunofluorescence Fixation Permeabilization: Use PFA/Triton X-100.

Formulation, Preparation, and Storage

Purification

Affinity purified

Formulation

PBS (pH 7.2) and 40% Glycerol

Format

BSA Free

Preservative

0.02% Sodium Azide

Concentration

Concentrations vary lot to lot. See vial label for concentration. If unlisted please contact technical services.

Shipping

The product is shipped with polar packs. Upon receipt, store it immediately at the temperature recommended below.

Stability & Storage

Store at 4C short term. Aliquot and store at -20C long term. Avoid freeze-thaw cycles.

Background: GPN3

Alternate Names

ATP binding domain 1 family, member C, ATPBD1C, ATP-binding domain 1 family member C, GPN-loop GTPase 3, MGC14560, MGC32810, protein x 0004

Gene Symbol

GPN3

UniProt

Additional GPN3 Products

Product Documents for GPN3 Antibody - BSA Free

Certificate of Analysis

To download a Certificate of Analysis, please enter a lot number in the search box below.

Product Specific Notices for GPN3 Antibody - BSA Free

This product is for research use only and is not approved for use in humans or in clinical diagnosis. Primary Antibodies are guaranteed for 1 year from date of receipt.

Loading...
Loading...
Loading...
Loading...