Skip to main content

GPIP137 Antibody - BSA Free

Novus Biologicals, part of Bio-Techne | Catalog # NBP2-57388

Novus Biologicals, part of Bio-Techne
Catalog #
Availability
Size / Price
Qty
Loading...
NBP2-57388
NBP2-57388-25ul

Key Product Details

Validated by

Independent Antibodies

Species Reactivity

Validated:

Human

Predicted:

Mouse (97%), Rat (97%). Backed by our 100% Guarantee.

Applications

Immunohistochemistry, Immunohistochemistry-Paraffin, Western Blot

Label

Unconjugated

Antibody Source

Polyclonal Rabbit IgG

Format

BSA Free

Concentration

Concentrations vary lot to lot. See vial label for concentration. If unlisted please contact technical services.

Product Specifications

Immunogen

This antibody was developed against a recombinant protein corresponding to the following amino acid sequence: TIKKTARREQLMREEAEQKRLKTVLELQYVLDKLGDDEVRTDLKQGLNGVPILSEEELSLLDEFYKLVDPERDM

Clonality

Polyclonal

Host

Rabbit

Isotype

IgG

Description

Novus Biologicals Rabbit GPIP137 Antibody - BSA Free (NBP2-57388) is a polyclonal antibody validated for use in IHC and WB. All Novus Biologicals antibodies are covered by our 100% guarantee.

Scientific Data Images for GPIP137 Antibody - BSA Free

Immunohistochemistry-Paraffin: GPIP137 Antibody [NBP2-57388]

Immunohistochemistry-Paraffin: GPIP137 Antibody [NBP2-57388]

Immunohistochemistry-Paraffin: GPIP137 Antibody [NBP2-57388] - Immunohistochemical staining of human duodenum shows strong positivity in glandular cells.
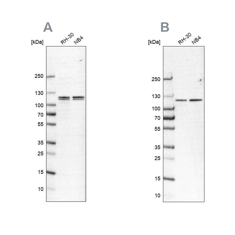
GPIP137 Antibody Western Blot: GPIP137 Antibody Antibody [NBP2-57388]

Western Blot: GPIP137 Antibody Antibody [NBP2-57388]

Analysis using NBP2-57388 (A) shows similar pattern to independent antibody NBP1-88195 (B).

Applications for GPIP137 Antibody - BSA Free

Application
Recommended Usage

Immunohistochemistry

1:500 - 1:1000

Immunohistochemistry-Paraffin

1:500 - 1:1000

Western Blot

0.04-0.4 ug/ml
Application Notes
For IHC-Paraffin, HIER pH 6 retrieval is recommended.

Formulation, Preparation, and Storage

Purification

Affinity purified

Formulation

PBS (pH 7.2) and 40% Glycerol

Format

BSA Free

Preservative

0.02% Sodium Azide

Concentration

Concentrations vary lot to lot. See vial label for concentration. If unlisted please contact technical services.

Shipping

The product is shipped with polar packs. Upon receipt, store it immediately at the temperature recommended below.

Stability & Storage

Store at 4C short term. Aliquot and store at -20C long term. Avoid freeze-thaw cycles.

Background: GPIP137

GPIP137 may regulate the transport and translation of mRNAs of proteins involved in synaptic plasticity in neurons and cell proliferation and migration in multiple cell types

Alternate Names

activation/proliferation-associated protein 1, caprin 1, caprin-1, cell cycle associated protein 1, Cell cycle-associated protein 1, Cytoplasmic activation- and proliferation-associated protein 1, cytoplasmic activation/proliferation-associated protein-1, GPI-anchored membrane protein 1GPIP137, GPI-p137, M11S1GPI-anchored protein p137, Membrane component chromosome 11 surface marker 1, membrane component, chromosome 11, surface marker 1, p137GPI, RNA granule protein 105, RNG105GPIAP1

Gene Symbol

CAPRIN1

Additional GPIP137 Products

Product Documents for GPIP137 Antibody - BSA Free

Certificate of Analysis

To download a Certificate of Analysis, please enter a lot number in the search box below.

Product Specific Notices for GPIP137 Antibody - BSA Free

This product is for research use only and is not approved for use in humans or in clinical diagnosis. Primary Antibodies are guaranteed for 1 year from date of receipt.

Loading...
Loading...
Loading...
Loading...