Skip to main content

gp96/HSP90B1/GRP94 Antibody - BSA Free

Novus Biologicals, part of Bio-Techne | Catalog # NBP1-81803

Novus Biologicals, part of Bio-Techne
Catalog #
Availability
Size / Price
Qty
Loading...
NBP1-81803
NBP1-81803-25ul

Key Product Details

Validated by

Knockout/Knockdown, Orthogonal Validation

Species Reactivity

Validated:

Human

Predicted:

Mouse (90%). Backed by our 100% Guarantee.

Applications

Immunohistochemistry, Immunohistochemistry-Paraffin, Western Blot, Immunocytochemistry/ Immunofluorescence, Knockdown Validated

Label

Unconjugated

Antibody Source

Polyclonal Rabbit IgG

Format

BSA Free

Concentration

Concentrations vary lot to lot. See vial label for concentration. If unlisted please contact technical services.

Product Specifications

Immunogen

This antibody was developed against Recombinant Protein corresponding to amino acids: SGNMERIMKAQAYQTGKDISTNYYASQKKTFEINPRHPLIRDMLRRIKEDEDDKTVLDLAVVLFETATLRSGYLLPDTKAYGDRIERMLRLSLNIDPDAKVEEEPEEEPEETAEDTTEDTEQDEDEEMDVGTDEEEETAKESTA

Reactivity Notes

Immunogen displays the following percentage of sequence identity for non-tested species: Rat (87%).

Marker

ER Stress Marker

Clonality

Polyclonal

Host

Rabbit

Isotype

IgG

Description

Novus Biologicals Rabbit gp96/HSP90B1/GRP94 Antibody - BSA Free (NBP1-81803) is a polyclonal antibody validated for use in IHC, WB and ICC/IF. Anti-gp96/HSP90B1/GRP94 Antibody: Cited in 2 publications. All Novus Biologicals antibodies are covered by our 100% guarantee.

Scientific Data Images for gp96/HSP90B1/GRP94 Antibody - BSA Free

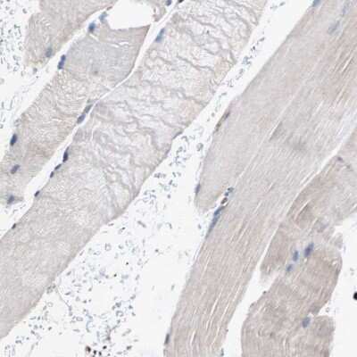
Immunohistochemistry-Paraffin: gp96/HSP90B1/GRP94 Antibody [NBP1-81803]

Immunohistochemistry-Paraffin: gp96/HSP90B1/GRP94 Antibody [NBP1-81803]

Immunohistochemistry-Paraffin: gp96/HSP90B1/GRP94 Antibody [NBP1-81803] - Analysis in human placenta and skeletal muscle tissues. Corresponding gp96/HSP90B1/GRP94 RNA-seq data are presented for the same tissues.
Western Blot: gp96/HSP90B1/GRP94 Antibody [NBP1-81803]

Western Blot: gp96/HSP90B1/GRP94 Antibody [NBP1-81803]

Western Blot: gp96/HSP90B1/GRP94 Antibody [NBP1-81803] - Analysis in U-251MG cells transfected with control siRNA, target specific siRNA probe #1 and #2, using Anti-HSP90B1 antibody. Remaining relative intensity is presented. Loading control: Anti-GAPDH.
Immunocytochemistry/ Immunofluorescence: gp96/HSP90B1/GRP94 Antibody [NBP1-81803]

Immunocytochemistry/ Immunofluorescence: gp96/HSP90B1/GRP94 Antibody [NBP1-81803]

Immunocytochemistry/Immunofluorescence: gp96/HSP90B1/GRP94 Antibody [NBP1-81803] - Staining of human cell line U-2 OS shows localization to endoplasmic reticulum. Antibody staining is shown in green.

Applications for gp96/HSP90B1/GRP94 Antibody - BSA Free

Application
Recommended Usage

Immunocytochemistry/ Immunofluorescence

0.25-2 ug/ml

Immunohistochemistry

1:500 -1:1000

Immunohistochemistry-Paraffin

1:500 - 1:1000

Western Blot

0.04-0.4 ug/ml
Application Notes
For IHC-Paraffin, HIER pH 6 retrieval is recommended. ICC/IF Fixation Permeabilization: Use PFA/Triton X-100.

Reviewed Applications

Read 1 review rated 5 using NBP1-81803 in the following applications:

Formulation, Preparation, and Storage

Purification

Affinity purified

Formulation

PBS (pH 7.2) and 40% Glycerol

Format

BSA Free

Preservative

0.02% Sodium Azide

Concentration

Concentrations vary lot to lot. See vial label for concentration. If unlisted please contact technical services.

Shipping

The product is shipped with polar packs. Upon receipt, store it immediately at the temperature recommended below.

Stability & Storage

Store at 4C short term. Aliquot and store at -20C long term. Avoid freeze-thaw cycles.

Background: gp96/HSP90B1

Glucose-regulated protein 94, also known as Grp94 or gp96, is an abundant resident endoplasmic reticulum (ER) lumenal stress protein which together with cytosolic Hsp90 belongs to the Hsp90 family of molecular chaperones. Grp94 and other resident soluble proteins of the ER such as members of the Ca(2+) binding protein subfamily (CaBP), CaBPI and CaBP2 as well as calreticulin, possess the COOH-terminal tetrapeptide Lys-Asp-Glu-Leu (KDEL) which is a sorting signal that is thought to lead to the retention of these proteins in the pre-Golgi compartments (1). Grp94 expression is upregulated by stress conditions such as lucose starvation and heat shock, which promote protein misfolding or unfolding (2). In addition to a homeostatic role in protein folding and assembly, Grp94 can function in the intracellular trafficking of peptides from the extracellular space to the MHC class I antigen processing pathway of antigen presentation cells (3,4). Grp94 and Hsp90 share high sequence identity and presumably identical adenosine nucleotide-dependent modes of regulation. Earlier data suggests that Hsp90 and Grp94 may differ in their nucleotide binding properties. The N-terminal domain of eukaryotic Hsp90 proteins contains a conserved adenosine nucleotide binding pocket which also serves as the inding site for the Hsp90 inhibitors geldanamycin and radicicol. However, the molecular basis for adenosine nucleotide-dependent regulation of Grp94remains to be established. Recent data has entified a ligand dependent regulation of Grp94 function and suggest a model whereby Grp94 function is regulated through a ligand-dependent conversion of Grp94 from an inactive to an active conformation (5, 6).

Long Name

Heat Shock Protein 90 beta 1

Alternate Names

ECGP, Endoplasmin, Grp94, HSP90B1

Gene Symbol

HSP90B1

Additional gp96/HSP90B1 Products

Product Documents for gp96/HSP90B1/GRP94 Antibody - BSA Free

Certificate of Analysis

To download a Certificate of Analysis, please enter a lot number in the search box below.

Product Specific Notices for gp96/HSP90B1/GRP94 Antibody - BSA Free

This product is for research use only and is not approved for use in humans or in clinical diagnosis. Primary Antibodies are guaranteed for 1 year from date of receipt.

Loading...
Loading...
Loading...
Loading...